Suppr超能文献

半胱天冬酶3和半胱天冬酶7在人乳腺癌细胞的非致死性应激条件下促进细胞保护性自噬和DNA损伤反应。

Caspase 3 and caspase 7 promote cytoprotective autophagy and the DNA damage response during non-lethal stress conditions in human breast cancer cells.

作者信息

Samarasekera Gayathri, Go Nancy E, Choutka Courtney, Xu Jing, Takemon Yuka, Chan Jennifer, Chan Michelle, Perera Shivani, Aparicio Samuel, Morin Gregg B, Marra Marco A, Chittaranjan Suganthi, Gorski Sharon M

机构信息

Canada's Michael Smith Genome Sciences Centre, BC Cancer, Vancouver, British Columbia, Canada.

Department of Medical Genetics, University of British Columbia, Vancouver, British Columbia, Canada.

出版信息

PLoS Biol. 2025 Feb 21;23(2):e3003034. doi: 10.1371/journal.pbio.3003034. eCollection 2025 Feb.

Abstract

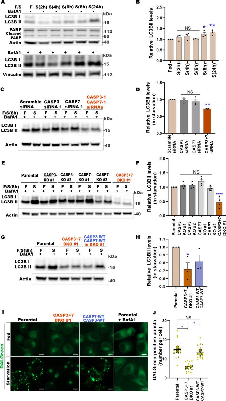
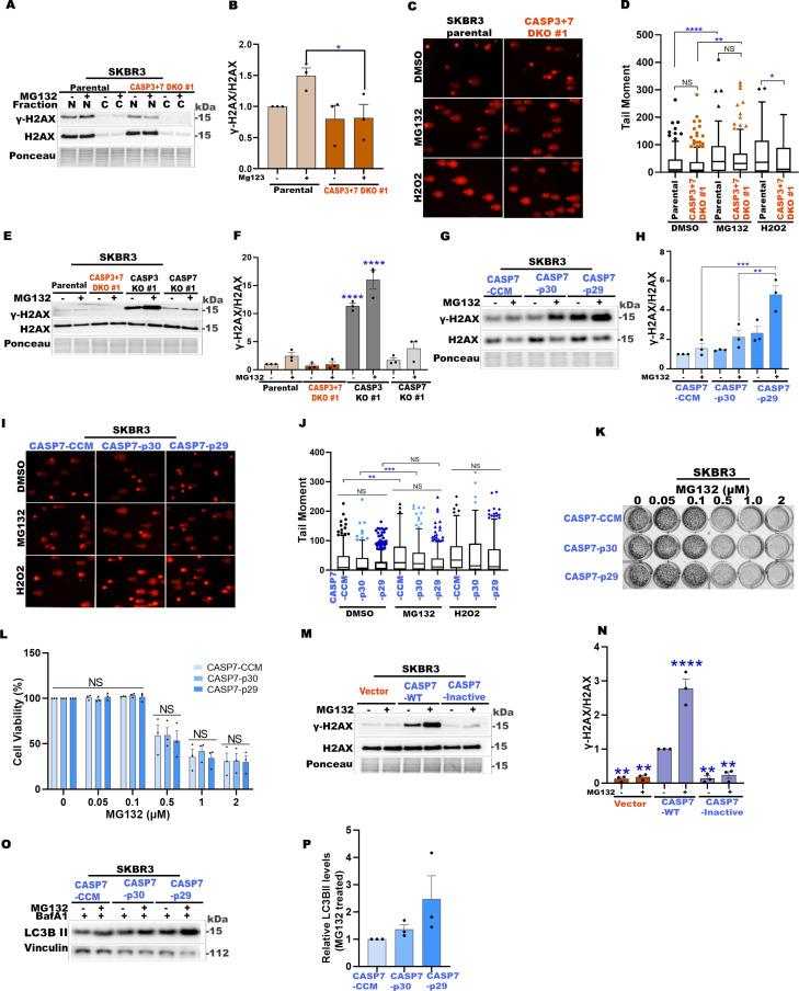
Cell stress adaptation plays a key role in normal development and in various diseases including cancer. Caspases are activated in response to cell stress, and growing evidence supports their function in non-apoptotic cellular processes. A role for effector caspases in promoting stress-induced cytoprotective autophagy was demonstrated in Drosophila, but has not been explored in the context of human cells. We found a functionally conserved role for effector caspase 3 (CASP3) and caspase 7 (CASP7) in promoting starvation or proteasome inhibition-induced cytoprotective autophagy in human breast cancer cells. The loss of CASP3 and CASP7 resulted in an increase in PARP1 cleavage, reduction in LC3B and ATG7 transcript levels, and a reduction in H2AX phosphorylation, consistent with a block in autophagy and DNA damage-induced stress response pathways. Surprisingly, in non-lethal cell stress conditions, CASP7 underwent non-canonical processing at two calpain cleavage sites flanking a PARP1 exosite, resulting in stable CASP7-p29/p30 fragments. Expression of CASP7-p29/p30 fragment(s) could rescue H2AX phosphorylation in the CASP3 and CASP7 double knockout background. Strikingly, yet consistent with these phenotypes, the loss of CASP3 and CASP7 exhibited synthetic lethality with BRCA1 loss. These findings support a role for human caspases in stress adaptation through PARP1 modulation and reveal new therapeutic avenues for investigation.

摘要

细胞应激适应在正常发育以及包括癌症在内的多种疾病中起着关键作用。半胱天冬酶会响应细胞应激而被激活,越来越多的证据支持它们在非凋亡细胞过程中的功能。在果蝇中已证明效应半胱天冬酶在促进应激诱导的细胞保护性自噬中发挥作用,但在人类细胞的背景下尚未进行探索。我们发现效应半胱天冬酶3(CASP3)和半胱天冬酶7(CASP7)在促进人乳腺癌细胞饥饿或蛋白酶体抑制诱导的细胞保护性自噬中具有功能保守作用。CASP3和CASP7的缺失导致PARP1切割增加、LC3B和ATG7转录水平降低以及H2AX磷酸化减少,这与自噬和DNA损伤诱导的应激反应途径受阻一致。令人惊讶的是,在非致死性细胞应激条件下,CASP7在PARP1外位点两侧的两个钙蛋白酶切割位点进行非经典加工,产生稳定的CASP7-p29/p30片段。CASP7-p29/p30片段的表达可以在CASP3和CASP7双敲除背景下挽救H2AX磷酸化。引人注目的是,与这些表型一致,CASP3和CASP7的缺失与BRCA1缺失表现出合成致死性。这些发现支持人类半胱天冬酶通过PARP1调节在应激适应中的作用,并揭示了新的治疗研究途径。

https://cdn.ncbi.nlm.nih.gov/pmc/blobs/6e9f/11882052/23af3b4bc3e2/pbio.3003034.g001.jpg

文献AI研究员

20分钟写一篇综述,助力文献阅读效率提升50倍。

立即体验

用中文搜PubMed

大模型驱动的PubMed中文搜索引擎

马上搜索

文档翻译

学术文献翻译模型,支持多种主流文档格式。

立即体验