Suppr超能文献

双香豆素使肝癌细胞对咪唑酮埃拉斯汀诱导的铁死亡敏感。

Dicoumarol sensitizes hepatocellular carcinoma cells to ferroptosis induced by imidazole ketone erastin.

作者信息

Yang Ziwei, Han Tixin, Yang Ruibin, Zhang Yinuo, Qin Yifei, Hou Jialu, Huo Fei, Feng Zhuan, Ding Yaxin, Yang Jiali, Zhou Gang, Wang Shijie, Xie Xiaohang, Lin Peng, Chen Zhi-Nan, Wu Jiao

机构信息

Department of Cell Biology, National Translational Science Center for Molecular Medicine, Fourth Military Medical University, Xi'an, Shaanxi, China.

State Key Laboratory of New Targets Discovery and Drug Development for Major Diseases, Department of Cell Biology, Fourth Military Medical University, Xi'an, China.

出版信息

Front Immunol. 2025 Feb 11;16:1531874. doi: 10.3389/fimmu.2025.1531874. eCollection 2025.

Abstract

INTRODUCTION

Ferroptosis, an iron-dependent form of regulated cell death, is characterized by the lethal accumulation of lipid peroxides on cellular membranes. It not only inhibits tumor growth but also enhances immunotherapy responses and overcomes drug resistance in cancer therapy. The inhibition of the cystine-glutamate antiporter, system Xc-, induces ferroptosis. Imidazole ketone erastin (IKE), an inhibitor of the system Xc- functional subunit solute carrier family 7 member 11 (SLC7A11), is an effective and metabolically stable inducer of ferroptosis with potential in vivo applications. However, tumor cells exhibited differential sensitivity to IKE-induced ferroptosis. The intrinsic factors determining sensitivity to IKE-induced ferroptosis remain to be explored to improve its efficacy.

METHODS

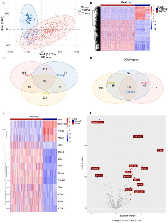
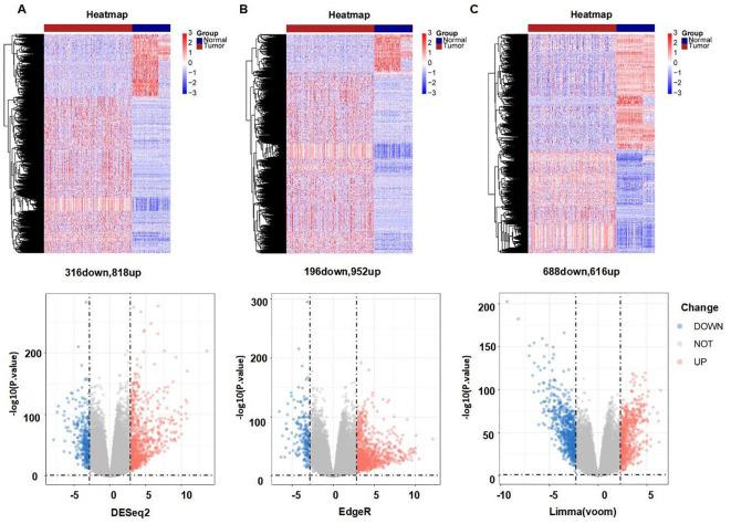
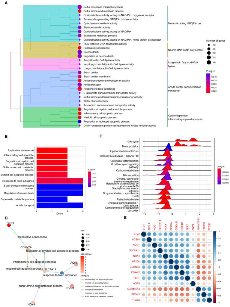
Bulk RNA-sequencing data from hepatocellular carcinoma (HCC) and normal liver tissues were collected from The Cancer Genome Atlas (TCGA) and the Genotype-Tissue Expression (GTEx) databases. Differentially expressed genes were identified and intersected with the ferroptosis-related genes (FRGs) listed in the FerrDb database, yielding the identification of 13 distinct FRGs.

RESULTS

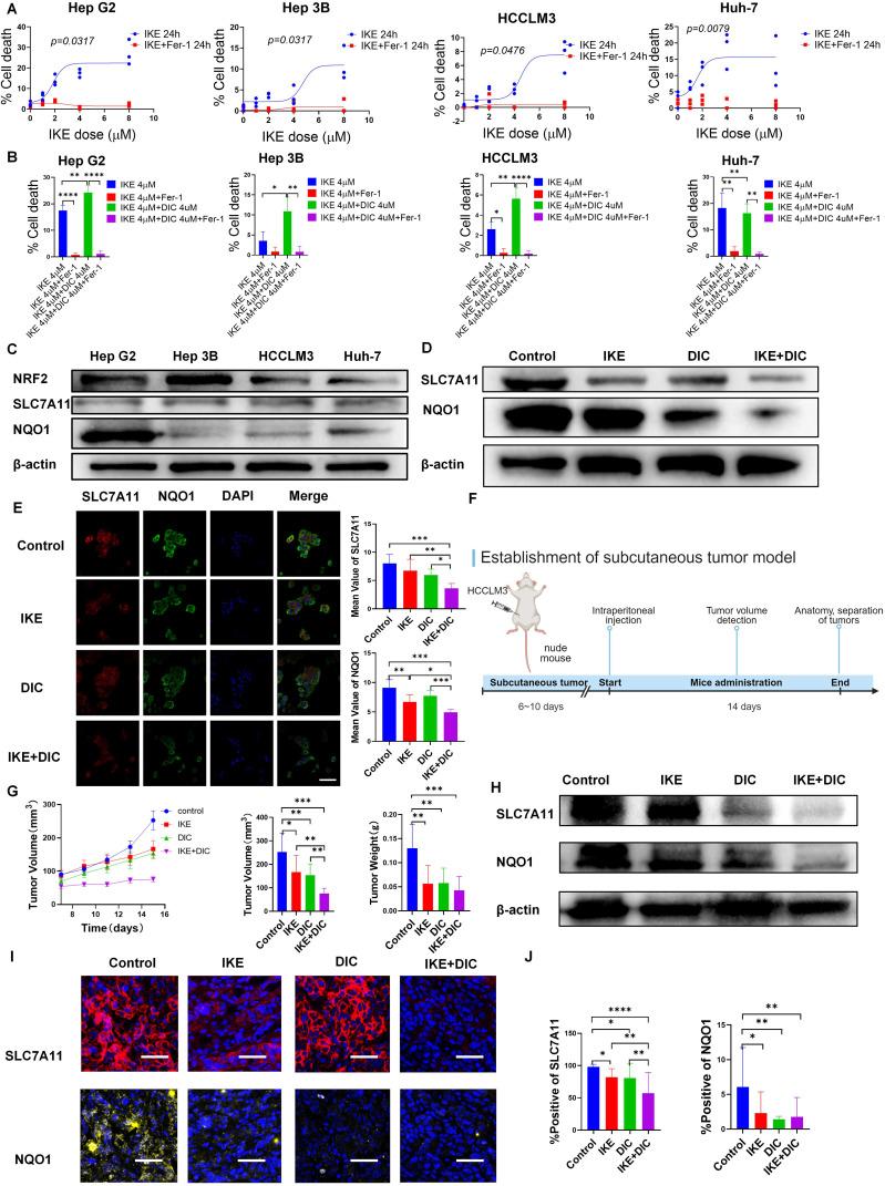
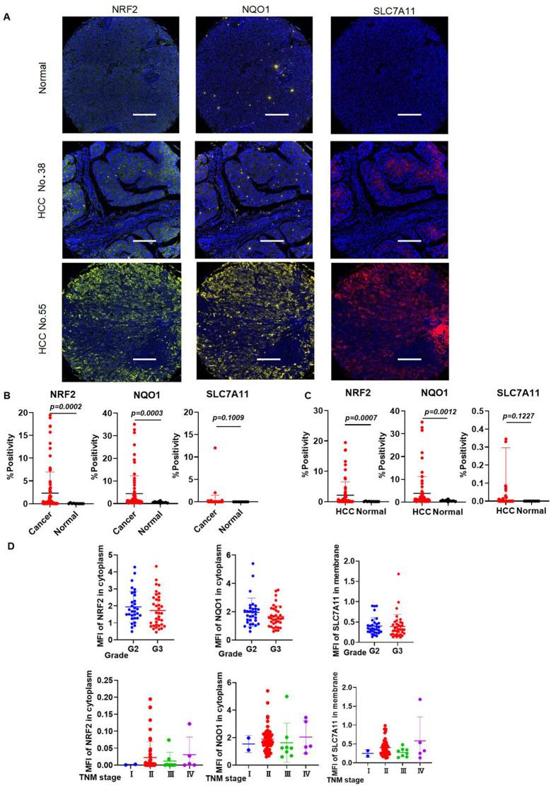
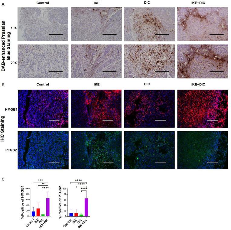
A ferroptosis signature index model (Risk Score) was developed to predict HCC prognosis. And SLC7A11 and NAD(P)H quinone dehydrogenase 1 (NQO1) were identified as candidate FRGs indicating poor prognosis of HCC. Dicoumarol (DIC), an inhibitor of NQO1, was subsequently employed to assess its sensitizing effects on IKE in HCC treatment. In HCC cell lines and the subcutaneous xenograft model, the combined suppression of SLC7A11 and NQO1 significantly enhanced the inhibitory effect on tumor growth by inducing ferroptosis.

DISCUSSION

In conclusion, our findings demonstrate that DIC sensitized HCC cells to IKE-induced ferroptosis in HCC. Moreover, the identification of potential drugs that enhance the susceptibility of HCC cells to ferroptosis could provide novel therapeutic strategies for the treatment of HCC.

摘要

引言

铁死亡是一种铁依赖性的程序性细胞死亡形式,其特征是细胞膜上脂质过氧化物的致命性积累。它不仅能抑制肿瘤生长,还能增强免疫治疗反应并克服癌症治疗中的耐药性。胱氨酸-谷氨酸反向转运体(系统Xc-)的抑制可诱导铁死亡。咪唑酮厄拉司丁(IKE)是系统Xc-功能亚基溶质载体家族7成员11(SLC7A11)的抑制剂,是一种有效且代谢稳定的铁死亡诱导剂,具有体内应用潜力。然而,肿瘤细胞对IKE诱导的铁死亡表现出不同的敏感性。决定对IKE诱导铁死亡敏感性的内在因素仍有待探索,以提高其疗效。

方法

从癌症基因组图谱(TCGA)和基因型-组织表达(GTEx)数据库收集肝细胞癌(HCC)和正常肝组织的批量RNA测序数据。鉴定差异表达基因,并与FerrDb数据库中列出的铁死亡相关基因(FRGs)进行交叉分析,确定了13个不同的FRGs。

结果

建立了铁死亡特征指数模型(风险评分)来预测HCC预后。并确定SLC7A11和NAD(P)H醌脱氢酶1(NQO1)为提示HCC预后不良的候选FRGs。随后使用NQO1抑制剂双香豆素(DIC)评估其在HCC治疗中对IKE的增敏作用。在HCC细胞系和皮下异种移植模型中,联合抑制SLC7A11和NQO1通过诱导铁死亡显著增强了对肿瘤生长的抑制作用。

讨论

总之,我们的研究结果表明,DIC使HCC细胞对IKE诱导的铁死亡敏感。此外,鉴定增强HCC细胞对铁死亡敏感性的潜在药物可为HCC治疗提供新的治疗策略。

https://cdn.ncbi.nlm.nih.gov/pmc/blobs/ed12/11852437/daf299a64b4d/fimmu-16-1531874-g001.jpg

文献AI研究员

20分钟写一篇综述,助力文献阅读效率提升50倍。

立即体验

用中文搜PubMed

大模型驱动的PubMed中文搜索引擎

马上搜索

文档翻译

学术文献翻译模型,支持多种主流文档格式。

立即体验