Suppr超能文献

胰腺癌细胞来源的细胞外囊泡包裹的Linc-ZNF25-1促进胰腺星状细胞摄取天冬酰胺以增强化疗耐药性。

Extracellular Vesicle-Packaged Linc-ZNF25-1 from Pancreatic Cancer Cell Promotes Pancreatic Stellate Cell Uptake of Asparagine to Advance Chemoresistance.

作者信息

Yu Miao, Su Mingxin, Tian Zhenfeng, Pan Lele, Li Zongmeng, Huang Enlai, Chen Yinting

机构信息

Guangdong Provincial Key Laboratory of Malignant Tumor Epigenetics and Gene Regulation, Department of Gastroenterology, Sun Yat-Sen Memorial Hospital, Sun Yat-Sen University, Guangzhou, 510120, P. R. China.

出版信息

Adv Sci (Weinh). 2025 Apr;12(16):e2413439. doi: 10.1002/advs.202413439. Epub 2025 Mar 5.

Abstract

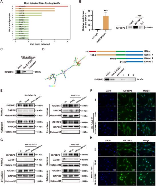
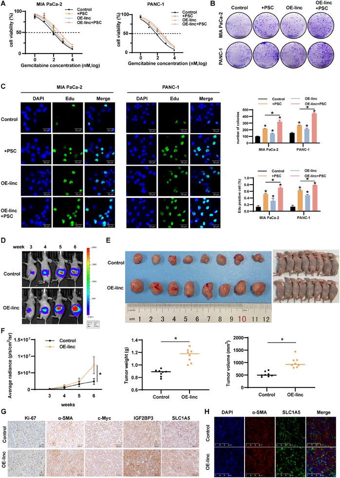
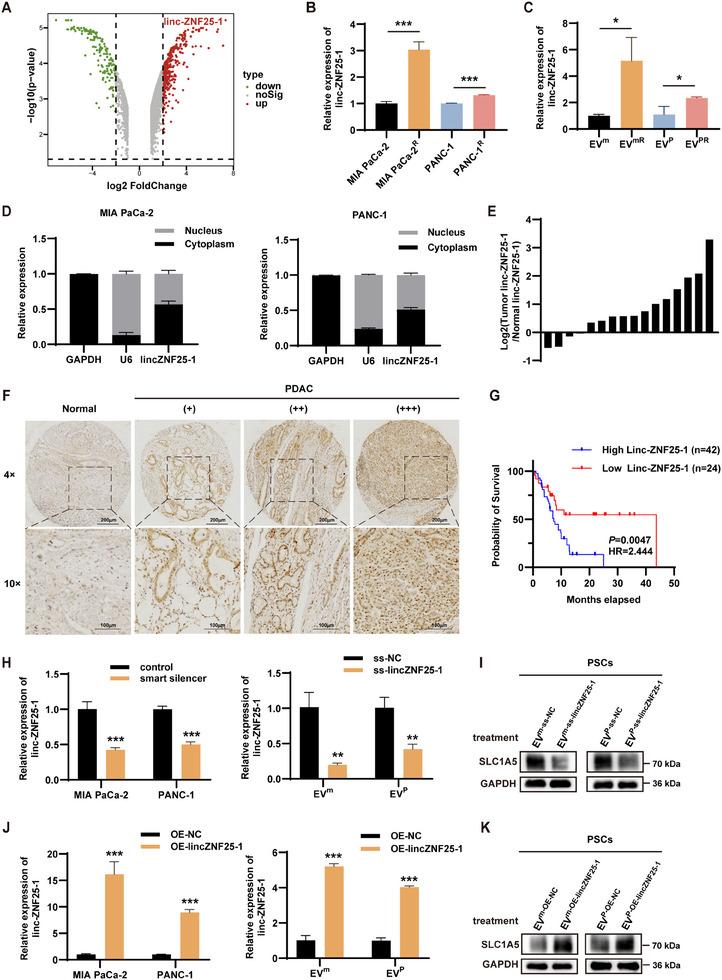
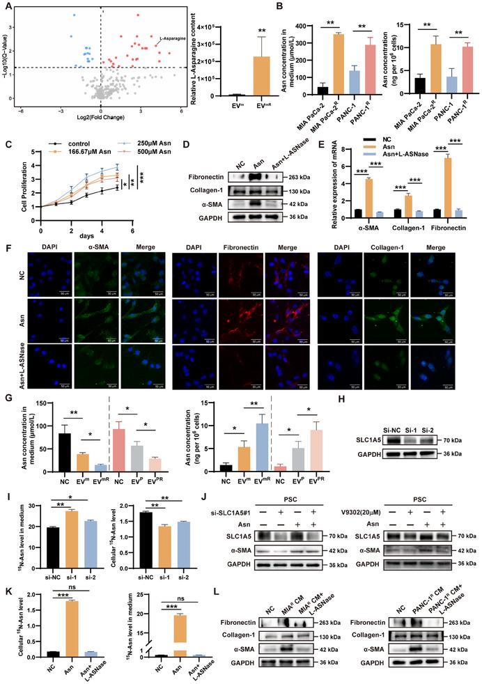
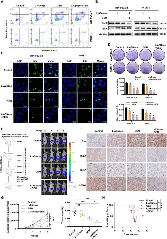
Extensive fibrous stroma plays an important role in gemcitabine (GEM) resistance. However, the mechanism by which pancreatic cancer cells interact with pancreatic stellate cells (PSCs) to promote GEM resistance remains unclear. This study investigates the role of metabolic crosstalk between these two cells in inducing GEM resistance. Extracellular vesicles (EVs) of parental and GEM-resistant pancreatic cancer cells are extracted and performed metabolic assays and long noncoding RNA (lncRNA) sequencing. Pancreatic cancer cell-derived EVs promote PSCs activation and extracellular matrix formation, and GEM-resistant pancreatic cancer cells produce more asparagine (Asn), favoring PSCs activation. Mechanistically, pancreatic cancer cell-derived EVs mediate linc-ZNF25-1 to promote Asn uptake via the IGF2BP3/c-Myc/SLC1A5 pathway in PSCs. In addition, mouse models elucidate the oncogenic function of linc-ZNF25-1 and the enhanced therapeutic effect of asparaginase (L-ASNase) in combination with GEM in pancreatic cancer. This study demonstrates that pancreatic cancer cell-derived EVs promote the uptake of Asn released from pancreatic cancer cells through the upregulation of SLC1A5 in PSCs, facilitating PSCs activation and pancreatic cancer resistance to GEM. L-ASNase in combination with GEM is a potential therapeutic strategy for targeting stromal cells to enhance the efficacy of chemotherapeutic agents against pancreatic cancer.

摘要

广泛的纤维性基质在吉西他滨(GEM)耐药中起重要作用。然而,胰腺癌细胞与胰腺星状细胞(PSC)相互作用以促进GEM耐药的机制仍不清楚。本研究调查了这两种细胞之间的代谢串扰在诱导GEM耐药中的作用。提取亲本和GEM耐药胰腺癌细胞的细胞外囊泡(EV),并进行代谢分析和长链非编码RNA(lncRNA)测序。胰腺癌细胞衍生的EV促进PSC活化和细胞外基质形成,且GEM耐药胰腺癌细胞产生更多天冬酰胺(Asn),有利于PSC活化。机制上,胰腺癌细胞衍生的EV介导linc-ZNF25-1通过IGF2BP3/c-Myc/SLC1A5途径促进PSC摄取Asn。此外,小鼠模型阐明了linc-ZNF25-1的致癌功能以及天冬酰胺酶(L-ASNase)与GEM联合应用于胰腺癌时增强的治疗效果。本研究表明,胰腺癌细胞衍生的EV通过上调PSC中的SLC1A5促进胰腺癌细胞释放的Asn摄取,促进PSC活化和胰腺癌对GEM的耐药。L-ASNase与GEM联合应用是一种潜在的治疗策略,可靶向基质细胞以增强化疗药物对胰腺癌的疗效。

https://cdn.ncbi.nlm.nih.gov/pmc/blobs/a33b/12021039/7448b970c0f1/ADVS-12-2413439-g003.jpg

文献AI研究员

20分钟写一篇综述,助力文献阅读效率提升50倍。

立即体验

用中文搜PubMed

大模型驱动的PubMed中文搜索引擎

马上搜索

文档翻译

学术文献翻译模型,支持多种主流文档格式。

立即体验