Suppr超能文献

去甲二氢愈创木酸通过增加泛素结合酶UBE2L6的表达来诱导FLT3-ITD急性髓性白血病细胞凋亡。

Decursin induces FLT3-ITD acute myeloid leukemia cell apoptosis by increasing the expression of the ubiquitin-conjugase UBE2L6.

作者信息

Zhang Tianxin, Li Yuchen, Liao Wenhao, Mou Yu, Zhan Xue, Hu Qiongying, Zhao Ziyi, Xiong Daqian

机构信息

Department of Laboratory Medicine, Hospital of Chengdu University of Traditional Chinese Medicine, Chengdu, 610072, China.

College of Medical Technology, Chengdu University of Traditional Chinese Medicine, Chengdu, 611137, China.

出版信息

Cell Commun Signal. 2025 Apr 2;23(1):162. doi: 10.1186/s12964-025-02157-4.

Abstract

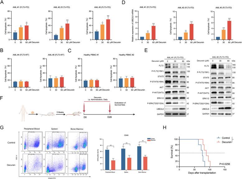
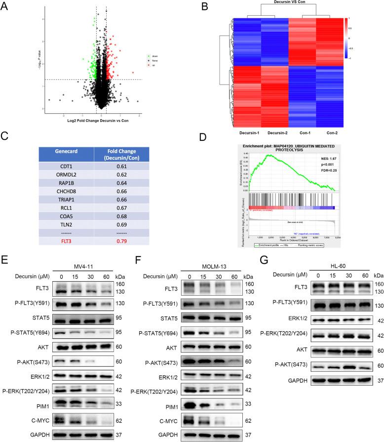
Mutation in the internal tandem duplication sequence of the FLT3 gene (FLT3-ITD) is linked to a poor clinical prognosis in acute myeloid leukemia (AML) patients. FLT3 inhibitors have demonstrated efficacy in improving the prognosis of AML patients with FLT3-ITD. However, the efficacy of FLT3 inhibitors is short-lived, and is often limited by secondary drug resistance when used alone. Recent investigations have provided an innovative approach for treating FLT3-ITD AML by targeting FLT3 protein degradation. Our study revealed that decursin selectively impaired the viability of FLT3-ITD-positive AML cells. Subsequent analysis revealed that decursin preferentially induced cell cycle arrest and apoptosis in FLT3-ITD-positive AML cells through proteasome-mediated FLT3-ITD degradation. Further research revealed that decursin significantly increased the expression of UBE2L6, an e2-conjugating enzyme that degrades FLT3-ITD. Downregulation of UBE2L6 by small hairpin RNA (shRNA) reduced decursin-induced FLT3-ITD-linked apoptosis and degradation. The anti-FLT3-ITD AML effect of decursin was also validated in cell lines and patient-derived mouse models. Moreover, decursin synergistically enhanced venetoclax-induced apoptosis.

摘要

FLT3基因内部串联重复序列(FLT3-ITD)的突变与急性髓系白血病(AML)患者的不良临床预后相关。FLT3抑制剂已证明在改善FLT3-ITD阳性AML患者的预后方面具有疗效。然而,FLT3抑制剂的疗效是短暂的,单独使用时常常受到继发性耐药的限制。最近的研究提供了一种通过靶向FLT3蛋白降解来治疗FLT3-ITD AML的创新方法。我们的研究表明,去甲二氢愈创木酸选择性地损害FLT3-ITD阳性AML细胞的活力。随后的分析表明,去甲二氢愈创木酸通过蛋白酶体介导的FLT3-ITD降解,优先诱导FLT3-ITD阳性AML细胞的细胞周期停滞和凋亡。进一步的研究表明,去甲二氢愈创木酸显著增加了UBE2L6的表达,UBE2L6是一种降解FLT3-ITD的E2缀合酶。通过小发夹RNA(shRNA)下调UBE2L6可减少去甲二氢愈创木酸诱导的FLT3-ITD相关凋亡和降解。去甲二氢愈创木酸对FLT3-ITD AML的抗作用在细胞系和患者来源的小鼠模型中也得到了验证。此外,去甲二氢愈创木酸协同增强了维奈托克诱导的凋亡。

https://cdn.ncbi.nlm.nih.gov/pmc/blobs/9fb9/11966808/38db85b2b67b/12964_2025_2157_Fig1_HTML.jpg

文献AI研究员

20分钟写一篇综述,助力文献阅读效率提升50倍。

立即体验

用中文搜PubMed

大模型驱动的PubMed中文搜索引擎

马上搜索

文档翻译

学术文献翻译模型,支持多种主流文档格式。

立即体验