Suppr超能文献

小细胞外囊泡衍生的烟酰胺磷酸核糖基转移酶(NAMPT)诱导酰基辅酶A合成酶SLC27A4介导的糖酵解以促进肝细胞癌。

Small Extracellular Vesicle-Derived Nicotinamide Phosphoribosyltransferase (NAMPT) Induces Acyl-Coenzyme A Synthetase SLC27A4-Mediated Glycolysis to Promote Hepatocellular Carcinoma.

作者信息

Yeung Cherlie Lot Sum, Ng Tung Him, Lai Charlotte Jiaqi, Xue Tingmao, Mao Xiaowen, Tey Sze Keong, Lo Regina Cheuk Lam, Sin Chun-Fung, Ng Kwan Ming, Wong Danny Ka Ho, Mak Lung-Yi, Yuen Man-Fung, Ng Irene Oi-Lin, Cao Peihua, Gao Yi, Yun Jing Ping, Yam Judy Wai Ping

机构信息

Department of Pathology, Li Ka Shing Faculty of Medicine, The University of Hong Kong, Hong Kong.

Department of Hepatobiliary Surgery II, Zhujiang Hospital, Southern Medical University, Guangzhou, Guangdong, China.

出版信息

J Extracell Vesicles. 2025 Apr;14(4):e70071. doi: 10.1002/jev2.70071.

Abstract

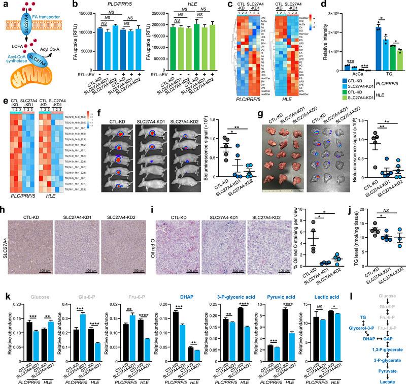
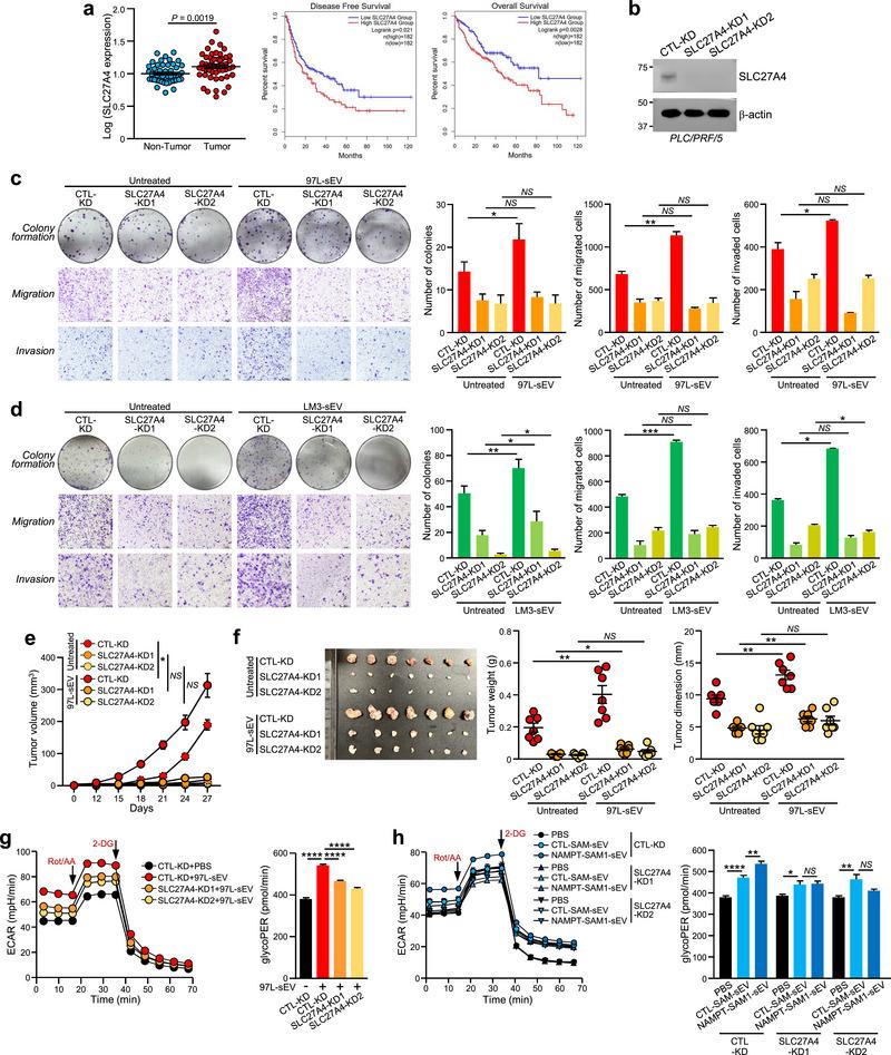
Tumour-derived small extracellular vesicles (sEV) are critical mediators within the tumour microenvironment (TME) and are known to regulate various metabolic pathways. In metastatic hepatocellular carcinoma (HCC), mass spectrometry protein analysis of HCC-derived sEV (HCC-sEV) identified an upregulation of nicotinamide phosphoribosyltransferase (NAMPT), a key enzyme in maintaining cellular nicotinamide adenine dinucleotide (NAD+) levels. Our study demonstrates that sEV-NAMPT enhances glycolysis, tumorigenesis, and metastasis in HCC. Specifically, sEV-NAMPT activates the NF-κB transcription factor through toll-like receptor 4 (TLR4), leading to elevated SLC27A4 expression. SLC27A4 functions primarily as a long-chain fatty acid transporter and acyl-CoA synthetase. Lipidomic and metabolomic analyses revealed a positive correlation between SLC27A4 and intracellular levels of triacylglycerol (TG) and dihydroxyacetone phosphate (DHAP). Increased TG levels enhance lipolysis via hepatic lipase and facilitate the conversion of glycerol-3-P to DHAP, an intermediate that bridges lipid metabolism and glycolysis. This study uncovers a novel regulatory axis involving sEV-NAMPT and SLC27A4 in glycolysis, independent of traditional fatty acid metabolism pathways. Clinically, targeting sEV-NAMPT with the inhibitor FK866 significantly inhibited tumour growth in various HCC in vivo models, highlighting the potential of sEV-NAMPT as both a biomarker and therapeutic target in HCC.

摘要

肿瘤衍生的小细胞外囊泡(sEV)是肿瘤微环境(TME)中的关键介质,已知其可调节多种代谢途径。在转移性肝细胞癌(HCC)中,对源自HCC的sEV(HCC-sEV)进行的质谱蛋白质分析发现,烟酰胺磷酸核糖基转移酶(NAMPT)上调,NAMPT是维持细胞烟酰胺腺嘌呤二核苷酸(NAD +)水平的关键酶。我们的研究表明,sEV-NAMPT可增强HCC中的糖酵解、肿瘤发生和转移。具体而言,sEV-NAMPT通过Toll样受体4(TLR4)激活NF-κB转录因子,导致SLC27A4表达升高。SLC27A4主要作为长链脂肪酸转运体和酰基辅酶A合成酶发挥作用。脂质组学和代谢组学分析显示,SLC27A4与细胞内甘油三酯(TG)和磷酸二羟丙酮(DHAP)水平呈正相关。TG水平升高通过肝脂肪酶增强脂肪分解,并促进甘油-3-磷酸转化为DHAP,DHAP是连接脂质代谢和糖酵解的中间体。本研究揭示了一条涉及sEV-NAMPT和SLC27A4的糖酵解新调控轴,该轴独立于传统脂肪酸代谢途径。在临床上,用抑制剂FK866靶向sEV-NAMPT可显著抑制多种HCC体内模型中的肿瘤生长,突出了sEV-NAMPT作为HCC生物标志物和治疗靶点的潜力。

https://cdn.ncbi.nlm.nih.gov/pmc/blobs/2a83/12000932/4b071b58aec1/JEV2-14-e70071-g009.jpg

文献AI研究员

20分钟写一篇综述,助力文献阅读效率提升50倍。

立即体验

用中文搜PubMed

大模型驱动的PubMed中文搜索引擎

马上搜索

文档翻译

学术文献翻译模型,支持多种主流文档格式。

立即体验