Suppr超能文献

7aaRGD——一种新型的SPP1/整合素信号阻断肽可逆转免疫抑制并改善实验性胶质瘤中抗PD-1免疫治疗的效果。

7aaRGD - a novel SPP1/integrin signaling-blocking peptide reverses immunosuppression and improves anti-PD-1 immunotherapy outcomes in experimental gliomas.

作者信息

Ellert-Miklaszewska Aleksandra, Pilanc Paulina, Poleszak Katarzyna, Roura Adria-Jaume, Cyranowski Salwador, Ghosh Mitrajit, Baluszek Szymon, Pasierbinska Maria, Gielniewski Bartłomiej, Swatler Julian, Hovorova Yuliana, Wojnicki Kamil, Kaminska Bozena

机构信息

Laboratory of Molecular Neurobiology, Nencki Institute of Experimental Biology, Warsaw, Poland.

Laboratory of Cytometry, Nencki Institute of Experimental Biology, Warsaw, Poland.

出版信息

J Exp Clin Cancer Res. 2025 Apr 25;44(1):132. doi: 10.1186/s13046-025-03393-9.

Abstract

BACKGROUND

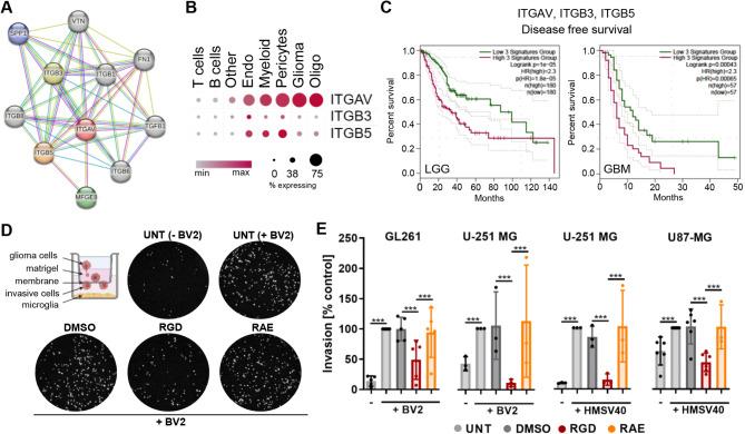
Immune checkpoint inhibitors (ICIs) present clinical benefits in many cancer patients but invariably fail in glioblastoma (GBM), the most common and deadly primary brain tumor. The lack of ICIs efficacy in GBM is attributed to the accumulation of tumor-reprogrammed glioma-associated myeloid cells (GAMs) that create a "cold" immunosuppressive tumor microenvironment (TME), impeding the infiltration and activation of effector T cells. GBM-derived αvβ3/αvβ5-integrin ligands, including SPP1, were shown to mediate the emergence of GAMs. We hypothesized that a combination strategy aiming to block the reprogramming of GAMs using a synthetic 7aaRGD peptide that targets SPP1/integrin signaling might overcome resistance to ICIs and reinvigorate anti-tumor immunity.

METHODS

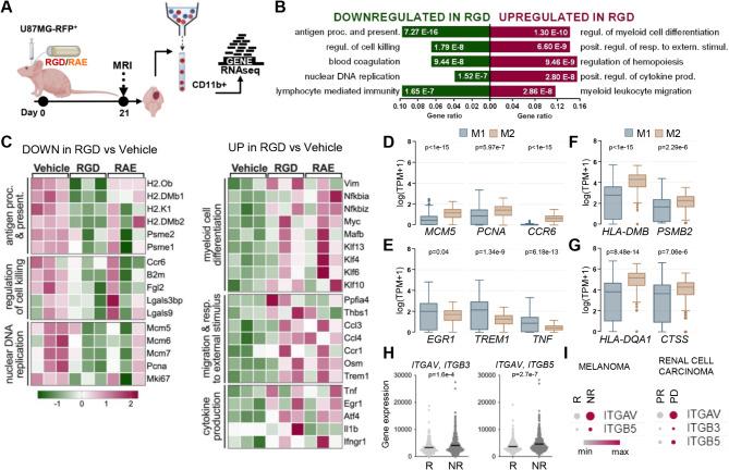
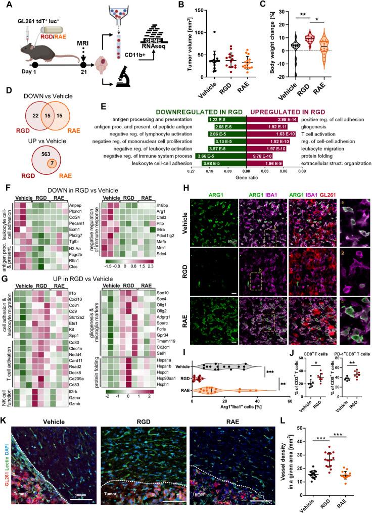
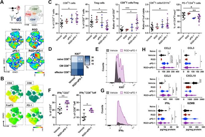
Matrigel invasion assay was used to test the efficacy of 7aaRGD in glioma-microglia co-cultures. We determined the impact of 7aaRGD, administered as a monotherapy or combined with PD-1 blockade, on tumor growth, GAMs accumulation and phenotypes, arginase-1 levels and neovasculature in experimental gliomas. The effects of treatments on the tumor immune landscape were dissected using multiparameter flow cytometry, immunocytochemistry, cytokine profiling and RNA-seq analysis of sorted GAMs followed by CITE-seq based data deconvolution.

RESULTS

7aaRGD efficiently blocked microglia-dependent invasion of human and mouse glioma cells in vitro. Intratumorally delivered 7aaRGD alone did not reduce tumor growth in orthotopic gliomas but prevented the emergence of immunosuppressive GAMs and led to normalization of peritumoral blood vessels. Combining 7aaRGD with anti-PD-1 antibody resulted in reduced tumor growth, with an increase in the number of proliferating, interferon-ɣ producing CD8T cells and depletion of regulatory T cells. Transcriptomic profiles of myeloid cells were altered by the combined treatment, reflecting the restored "hot" inflammatory TME and boosted immunotherapy responses. Intratumoral administration of 7aaRGD similarly modified the phenotypes of GAMs in human U87-MG gliomas in immunocompromised mice. Exploration of transcriptomic datasets revealed that high expression of integrin receptor coding genes in pre-treatment biopsies was associated with a poorer response to immune check-point blockade in patients with several types of cancers.

CONCLUSIONS

We demonstrate that combining the blockade of SPP1/integrin signaling with ICIs modifies innate immunity and reinvigorates adaptive antitumor responses, which paves the way to improve immunotherapy outcomes in GBM.

摘要

背景

免疫检查点抑制剂(ICIs)在许多癌症患者中显示出临床益处,但在最常见且致命的原发性脑肿瘤胶质母细胞瘤(GBM)中总是无效。GBM中ICIs疗效不佳归因于肿瘤重编程的胶质瘤相关髓样细胞(GAMs)的积累,这些细胞形成了一个“冷”的免疫抑制肿瘤微环境(TME),阻碍了效应T细胞的浸润和激活。已证明GBM衍生的αvβ3/αvβ5整合素配体,包括SPP1,介导了GAMs的出现。我们假设,使用靶向SPP1/整合素信号的合成7aaRGD肽来阻断GAMs重编程的联合策略可能克服对ICIs的耐药性并重振抗肿瘤免疫力。

方法

使用基质胶侵袭试验来测试7aaRGD在胶质瘤-小胶质细胞共培养中的疗效。我们确定了单独使用7aaRGD或与PD-1阻断联合使用时,其对实验性胶质瘤的肿瘤生长、GAMs积累和表型、精氨酸酶-1水平和新血管形成的影响。使用多参数流式细胞术、免疫细胞化学、细胞因子谱分析以及对分选的GAMs进行RNA测序分析,随后基于细胞索引转录组和表位测序(CITE-seq)的数据反卷积来剖析治疗对肿瘤免疫格局的影响。

结果

7aaRGD在体外有效阻断了小胶质细胞依赖性的人和小鼠胶质瘤细胞侵袭。瘤内单独递送7aaRGD并不能降低原位胶质瘤的肿瘤生长,但可防止免疫抑制性GAMs的出现,并导致瘤周血管正常化。将7aaRGD与抗PD-1抗体联合使用可导致肿瘤生长减少,增殖的、产生干扰素-γ的CD8T细胞数量增加,调节性T细胞减少。联合治疗改变了髓样细胞的转录组谱,反映了恢复的“热”炎症TME和增强的免疫治疗反应。在免疫受损小鼠的人U87-MG胶质瘤中,瘤内注射7aaRGD同样改变了GAMs的表型。对转录组数据集的探索表明,预处理活检中整合素受体编码基因的高表达与几种癌症患者对免疫检查点阻断的较差反应相关。

结论

我们证明,将SPP1/整合素信号阻断与ICIs联合使用可改变固有免疫并重振适应性抗肿瘤反应,这为改善GBM的免疫治疗结果铺平了道路。

https://cdn.ncbi.nlm.nih.gov/pmc/blobs/1bfa/12032770/6c1bd7f3d1ca/13046_2025_3393_Fig1_HTML.jpg

文献AI研究员

20分钟写一篇综述,助力文献阅读效率提升50倍。

立即体验

用中文搜PubMed

大模型驱动的PubMed中文搜索引擎

马上搜索

文档翻译

学术文献翻译模型,支持多种主流文档格式。

立即体验