Suppr超能文献

赖氨酸特异性去甲基化酶1缺失重塑肿瘤微环境以克服肝癌中对程序性死亡1疗法的获得性耐药。

Lysine-specific demethylase 1 deletion reshapes tumour microenvironment to overcome acquired resistance to anti-programmed death 1 therapy in liver cancer.

作者信息

Liang Chen, Ye Mu, Yu Lei, Zhang Peng-Fei, Guo Xiao-Jun, Meng Xian-Long, Zeng Hai-Ying, Hu Shu-Yang, Zhang Dao-Han, Sun Qi-Man, Shen Ying-Hao, Cai Jia-Bin, Li Shuang-Qi, Chen Zhen, Shi Ying-Hong, Ke Ai-Wu, Shi Yujiang G, Zhou Jian, Fan Jia, Wu Fei-Zhen, Huang Xiao-Yong, Shi Guo-Ming, Tang Zheng, Lu Jia-Cheng

机构信息

Department of Liver Surgery and Transplantation, Zhongshan Hospital, Fudan University, Shanghai, China.

Shanghai Institute of Infectious Disease and Biosecurity, Fudan University, Shanghai, China.

出版信息

Clin Transl Med. 2025 May;15(5):e70335. doi: 10.1002/ctm2.70335.

Abstract

BACKGROUND

Immune checkpoint blockade, particularly targeting programmed death 1 (PD-1) and programmed death ligand 1 (PD-L1), shows promise in treating hepatocellular carcinoma (HCC). However, acquired resistance, especially in patients with 'hot tumours', limits sustained benefits. Lysine-specific demethylase 1 (LSD1) plays a role in converting 'cold tumours' to 'hot tumours', but its involvement in PD-1 inhibitor resistance in HCC is unclear.

METHODS

LSD1 and PD-L1 expression, along with CD8 T cell infiltration, were assessed using immunohistochemistry in HCC tissues, correlating these markers with patient prognosis. The impact of LSD1 deletion on tumour cell proliferation and CD8 T cell interactions was examined in vitro. Mouse models were used to study the combined effects of LSD1 inhibition and anti-PD-1 therapy on tumour growth and the tumour microenvironment (TME). The clinical relevance of LSD1, CD74 and effector CD8 T cells was validated in advanced HCC patients treated with PD-1 blockade.

RESULTS

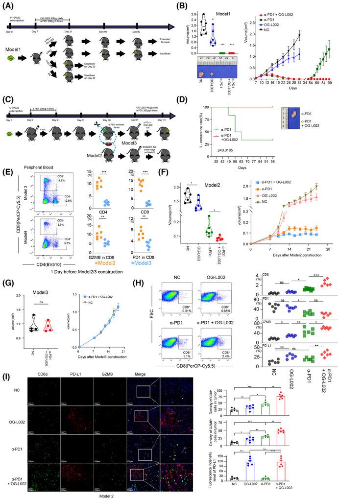
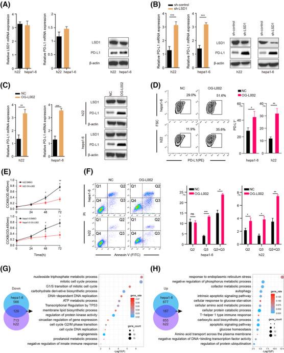
LSD1 overexpression in HCC patients correlated with reduced PD-L1 expression, less CD8 T cell infiltration and poorer prognosis. LSD1 deletion increased PD-L1 expression, boosted effector CD8 T cells in vitro and inhibited tumour growth in vivo. While anti-PD-1 monotherapy initially suppressed tumour growth, it led to relapse upon antibody withdrawal. In contrast, combining LSD1 inhibition with anti-PD-1 therapy effectively halted tumour growth and prevented relapse, likely through TME remodelling, enhanced CD8 T cell activity and improved CD74-mediated antigen presentation. Clinically, low LSD1 expression was associated with better response to anti-PD-1 therapy.

CONCLUSION

LSD1 deletion reshapes the TME, enhances CD8 T cell function and prevents acquired resistance to anti-PD-1 therapy in HCC. The combination of LSD1 inhibitors and PD-1 blockade offers a promising strategy for overcoming resistance in advanced HCC.

KEY POINTS

Uncovering the synthetic lethality resulting from LSD1 deletion and PD1 inhibitor co-administration, evaluating their combined effects on tumour growth and TME remodelling. Elucidating the mechanism underlying the combined therapy of LSD1 deletion with PD1 inhibition for HCC. Exploring the implications of LSD1, CD74 and effector CD8 T cell expression levels in advanced HCC patients undergoing anti-PD1 treatment.

摘要

背景

免疫检查点阻断,特别是针对程序性死亡蛋白 1(PD-1)和程序性死亡配体 1(PD-L1),在治疗肝细胞癌(HCC)方面显示出前景。然而,获得性耐药,尤其是在“热肿瘤”患者中,限制了持续获益。赖氨酸特异性去甲基化酶 1(LSD1)在将“冷肿瘤”转变为“热肿瘤”中起作用,但其在 HCC 中对 PD-1 抑制剂耐药性的影响尚不清楚。

方法

使用免疫组织化学评估 HCC 组织中 LSD1 和 PD-L1 的表达以及 CD8 T 细胞浸润情况,并将这些标志物与患者预后相关联。在体外研究 LSD1 缺失对肿瘤细胞增殖和 CD8 T 细胞相互作用的影响。使用小鼠模型研究 LSD1 抑制和抗 PD-1 治疗对肿瘤生长和肿瘤微环境(TME)的联合作用。在接受 PD-1 阻断治疗的晚期 HCC 患者中验证 LSD1、CD74 和效应性 CD8 T 细胞的临床相关性。

结果

HCC 患者中 LSD1 过表达与 PD-L1 表达降低、CD8 T 细胞浸润减少及预后较差相关。LSD1 缺失增加 PD-L1 表达,在体外增强效应性 CD8 T 细胞并在体内抑制肿瘤生长。虽然抗 PD-1 单药治疗最初抑制肿瘤生长,但停药后会导致复发。相比之下,将 LSD1 抑制与抗 PD-1 治疗相结合可有效阻止肿瘤生长并预防复发,可能是通过 TME 重塑、增强 CD8 T 细胞活性和改善 CD74 介导的抗原呈递。临床上,低 LSD1 表达与对抗 PD-1 治疗的更好反应相关。

结论

LSD1 缺失重塑 TME,增强 CD8 T 细胞功能并预防 HCC 对抗 PD-1 治疗的获得性耐药。LSD1 抑制剂与 PD-1 阻断的联合使用为克服晚期 HCC 的耐药性提供了一种有前景的策略。

关键点

揭示 LSD1 缺失与 PD1 抑制剂联合给药产生的合成致死性,评估它们对肿瘤生长和 TME 重塑的联合作用。阐明 LSD1 缺失与 PD1 抑制联合治疗 HCC 的潜在机制。探索 LSD1、CD74 和效应性 CD8 T 细胞表达水平在接受抗 PD1 治疗的晚期 HCC 患者中的意义。

https://cdn.ncbi.nlm.nih.gov/pmc/blobs/124c/12069797/ea07bdf82e3c/CTM2-15-e70335-g006.jpg

文献AI研究员

20分钟写一篇综述,助力文献阅读效率提升50倍。

立即体验

用中文搜PubMed

大模型驱动的PubMed中文搜索引擎

马上搜索

文档翻译

学术文献翻译模型,支持多种主流文档格式。

立即体验