Suppr超能文献

用于介入放射学的急性肠系膜缺血的计算机断层扫描成像

Computed Tomography Imaging of Acute Mesenteric Ischemia for Interventional Radiology.

作者信息

Inoue Akitoshi, Chatani Shohei, Uemura Ryo, Imai Yugo, Tomozawa Yuki, Murakami Yoko, Sonoda Akinaga, Roberts Neil, Watanabe Yoshiyuki

机构信息

Department of Radiology, Shiga University of Medical Science, Japan.

出版信息

Interv Radiol (Higashimatsuyama). 2024 Dec 13;10:e20240013. doi: 10.22575/interventionalradiology.2024-0013. eCollection 2025 Mar 28.

Abstract

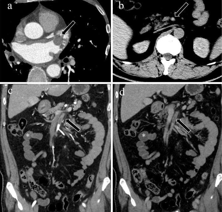
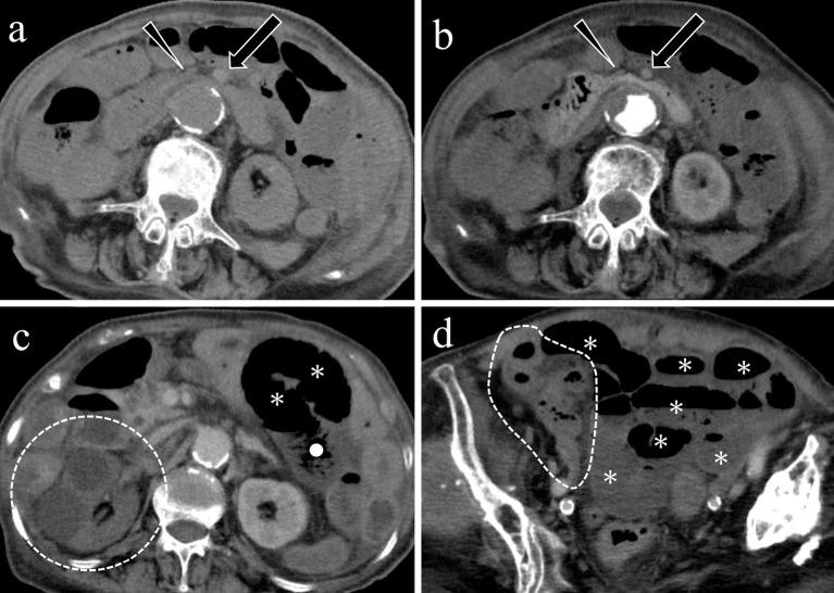
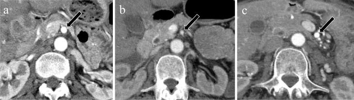
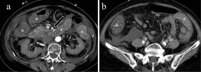
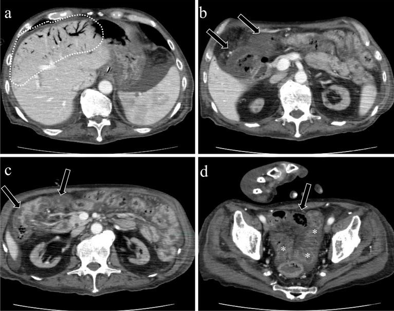
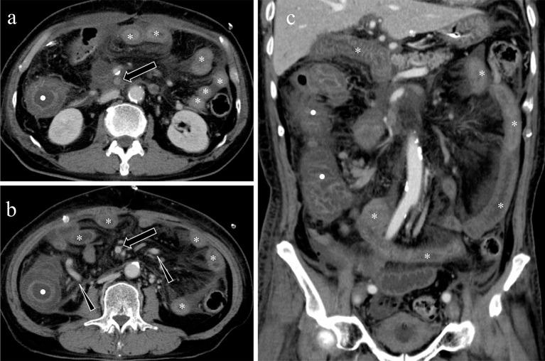
Acute mesenteric ischemia is a life-threatening condition. A comprehensive approach involving a multidisciplinary team to review patient background, clinical history, physical examination, laboratory data, and imaging examination for respective diagnosis of superior mesenteric arterial occlusion, nonocclusive mesenteric ischemia, and superior mesenteric venous occlusion is essential. The most important imaging modality is computed tomography, which is used for diagnosis and for directing therapeutic strategy (e.g., endovascular revascularization, surgical bowel resection, or conservative management). Computed tomography image findings can support triaging of irreversible transmural bowel necrosis compared with reversible ischemic change with reperfusion. In this review article, the computed tomography imaging findings specifically associated with the pathophysiology of superior mesenteric arterial occlusion, nonocclusive mesenteric ischemia, and superior mesenteric venous occlusion are reviewed.

摘要

急性肠系膜缺血是一种危及生命的疾病。采用多学科团队的综合方法来审查患者背景、临床病史、体格检查、实验室数据以及影像学检查,以分别诊断肠系膜上动脉闭塞、非闭塞性肠系膜缺血和肠系膜上静脉闭塞至关重要。最重要的影像学检查方法是计算机断层扫描,它用于诊断并指导治疗策略(如血管内血运重建、手术肠切除或保守治疗)。计算机断层扫描图像结果有助于区分不可逆的透壁性肠坏死与可通过再灌注逆转的缺血性改变。在这篇综述文章中,将对与肠系膜上动脉闭塞、非闭塞性肠系膜缺血和肠系膜上静脉闭塞的病理生理学具体相关的计算机断层扫描影像学结果进行综述。

https://cdn.ncbi.nlm.nih.gov/pmc/blobs/a320/12078030/55ed195b7a1c/2432-0935-10-e2024-0013-g001.jpg

文献AI研究员

20分钟写一篇综述,助力文献阅读效率提升50倍。

立即体验

用中文搜PubMed

大模型驱动的PubMed中文搜索引擎

马上搜索

文档翻译

学术文献翻译模型,支持多种主流文档格式。

立即体验