Suppr超能文献

用于实时确定胰腺癌中肿瘤细胞异质性的无标记单细胞表型分析。

Label-free single-cell phenotyping to determine tumor cell heterogeneity in pancreatic cancer in real time.

作者信息

Wittenzellner Katja, Lengl Manuel, Röhrl Stefan, Maurer Carlo, Klenk Christian, Papargyriou Aristeidis, Schmidleitner Laura, Kabella Nicole, Shastri Akul, Fresacher David E, Harb Farid, Hafez Nawal, Bärthel Stefanie, Lucarelli Daniele, Escorial-Iriarte Carmen, Orben Felix, Öllinger Rupert, Emken Ellen, Fricke Lisa, Madej Joanna, Wustrow Patrick, Demir I Ekin, Friess Helmut, Lahmer Tobias, Schmid Roland M, Rad Roland, Schneider Günter, Kuster Bernhard, Saur Dieter, Hayden Oliver, Diepold Klaus, Reichert Maximilian

机构信息

Translational Pancreatic Cancer Research Center and.

Technical University Munich (TUM) School of Medicine and Health, Department of Clinical Medicine - Clinical Department for Internal Medicine II, University Medical Center, TUM, Munich, Germany.

出版信息

JCI Insight. 2025 May 27;10(13). doi: 10.1172/jci.insight.169105. eCollection 2025 Jul 8.

Abstract

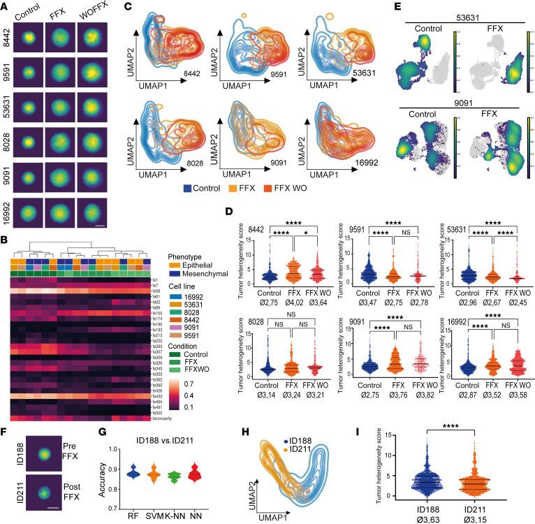
Resistance to chemotherapy of pancreatic ductal adenocarcinoma (PDAC) is largely driven by intratumoral heterogeneity (ITH) due to tumor cell plasticity and clonal diversity. To develop alternative strategies to overcome this defined mechanism of resistance, tools to monitor and quantify ITH in a rapid and scalable fashion are needed urgently. Here, we employed label-free digital holographic microscopy (DHM) to characterize ITH in PDAC. We established a robust experimental and machine learning analysis pipeline to perform single-cell phenotyping based on DHM-derived phase images of PDAC cells in suspension. Importantly, we were able to detect dynamic changes in tumor cell differentiation and heterogeneity of distinct PDAC subtypes upon induction of epithelial-mesenchymal transition and under treatment-imposed pressure in murine and patient-derived model systems. This platform allowed us to assess phenotypic ITH in PDAC on a single-cell level in real time. Implementing this technology into the clinical workflow has the potential to fundamentally increase our understanding of tumor heterogeneity during evolution and treatment response.

摘要

胰腺导管腺癌(PDAC)对化疗的耐药性很大程度上是由肿瘤内异质性(ITH)驱动的,这是由于肿瘤细胞的可塑性和克隆多样性所致。为了开发替代策略来克服这种明确的耐药机制,迫切需要能够快速且可扩展地监测和量化ITH的工具。在此,我们采用无标记数字全息显微镜(DHM)来表征PDAC中的ITH。我们建立了一个强大的实验和机器学习分析流程,以基于悬浮的PDAC细胞的DHM衍生相位图像进行单细胞表型分析。重要的是,在小鼠和患者来源的模型系统中,我们能够检测到上皮-间质转化诱导后以及治疗施加压力下,肿瘤细胞分化的动态变化和不同PDAC亚型的异质性。该平台使我们能够实时在单细胞水平评估PDAC中的表型ITH。将该技术应用于临床工作流程有可能从根本上增进我们对肿瘤在进化和治疗反应过程中异质性的理解。

https://cdn.ncbi.nlm.nih.gov/pmc/blobs/7cdf/12288891/89aab0a8851f/jciinsight-10-169105-g056.jpg

文献AI研究员

20分钟写一篇综述,助力文献阅读效率提升50倍。

立即体验

用中文搜PubMed

大模型驱动的PubMed中文搜索引擎

马上搜索

文档翻译

学术文献翻译模型,支持多种主流文档格式。

立即体验