Suppr超能文献

去棕榈酰化酶ABHD16A负向调节IFITM1的抗乙型肝炎病毒活性。

Depalmitoylase ABHD16A negatively regulates the anti-hepatitis B virus activity of IFITM1.

作者信息

Wen Xin, Liu Mingyang, Fan Yali, Xu Junfei, Wang Zhaoyan, Mao Lin, Gu Weizhen, Shi Xuemeng, Xu Jun

机构信息

College of Life Science, Zhengdong New District Longzi Lake Campus, Henan Agricultural University, Zhengzhou, Henan, China.

出版信息

Microbiol Spectr. 2025 Jul;13(7):e0309524. doi: 10.1128/spectrum.03095-24. Epub 2025 May 28.

Abstract

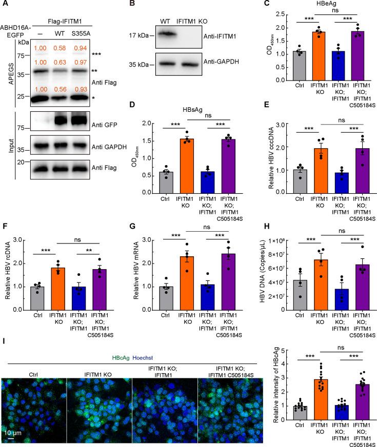
Interferon-inducible transmembrane (IFITM) proteins have been widely reported as antiviral factors against various viral pathogens. However, the mechanisms of IFITM regulation on hepatitis B virus (HBV), which induces chronic infection resulting in cirrhosis as well as liver cancer, remain poorly characterized. In the present study, we identified that HBV infection significantly increased the expression of IFITM1. To dissect the role of IFITM1 in HBV infection, we overexpressed IFITM1 in HepG2.215 cells and revealed that the replication of HBV was restricted by IFITM1. Recently, we demonstrated that the anti-RNA virus activity of IFITM proteins depends on palmitoylation modification, and the depalmitoylase α/β-hydrolase domain-containing 16A (ABHD16A) negatively regulates IFITM1 against RNA virus infection in human and porcine cells. However, whether ABHD16A-IFITM1 regulates DNA virus infection has not been researched. Here, by using co-immunoprecipitation (Co-IP) and acyl-PEGyl exchange gel-shift assay, ABHD16A-catalyzed depalmitoylation of IFITM1 was verified in HepG2.215 cells. In addition, we respectively knocked out IFITM1 and ABHD16A via CRISPR/Cas9 and showed that the anti-HBV activity of IFITM1 was negatively regulated by ABHD16A through depalmitoylation. Collectively, our findings demonstrated for the first time that ABHD16A catalyzes the depalmitoylation of IFITM1 to regulate its antiviral activity against HBV, which expands the biological functions of ABHD16A in immune regulation and provides potential targets for HBV infection-related disease therapy.IMPORTANCENowadays, hepatitis B virus (HBV) infection remains a major global public health problem, with over 375 million people worldwide having been infected. Chronic HBV infection leads to serious liver diseases, such as liver cirrhosis and hepatocellular carcinoma. Therefore, it is urgent to reveal the mechanism of HBV infection and uncover novel drug targets. Interferon and interferon-stimulated genes are responsible for the inhibition of HBV infection. Interferon-inducible transmembrane (IFITM) is distributed on plasma membrane, restricting various virus invasions. Nevertheless, whether and how IFITM regulates HBV infection remains unclear. Here, we show that IFITM1 inhibited the replication of HBV, which depended on palmitoylation modification. In addition, the depalmitoylase α/β-hydrolase domain-containing 16A (ABHD16A) negatively regulates the anti-HBV activity of IFITM1. Overall, our findings provided ABHD16A as a potential target for interfering with HBV replication.

摘要

干扰素诱导跨膜(IFITM)蛋白作为针对多种病毒病原体的抗病毒因子已被广泛报道。然而,IFITM对乙型肝炎病毒(HBV)的调控机制仍不清楚,HBV可导致慢性感染,进而引发肝硬化和肝癌。在本研究中,我们发现HBV感染显著增加了IFITM1的表达。为了剖析IFITM1在HBV感染中的作用,我们在HepG2.215细胞中过表达IFITM1,发现HBV的复制受到IFITM1的限制。最近,我们证明IFITM蛋白的抗RNA病毒活性依赖于棕榈酰化修饰,去棕榈酰化酶α/β水解酶结构域包含蛋白16A(ABHD16A)在人和猪细胞中对IFITM1抗RNA病毒感染起负调控作用。然而,ABHD16A-IFITM1是否调控DNA病毒感染尚未见研究报道。在此,通过免疫共沉淀(Co-IP)和酰基-聚乙二醇交换凝胶迁移试验,在HepG2.215细胞中证实了ABHD16A催化IFITM1的去棕榈酰化。此外,我们通过CRISPR/Cas9分别敲除IFITM1和ABHD16A,发现ABHD16A通过去棕榈酰化对IFITM1的抗HBV活性起负调控作用。总之,我们的研究首次证明ABHD16A催化IFITM1的去棕榈酰化以调节其对HBV的抗病毒活性,这扩展了ABHD16A在免疫调节中的生物学功能,并为HBV感染相关疾病的治疗提供了潜在靶点。

重要性

目前,乙型肝炎病毒(HBV)感染仍然是一个主要的全球公共卫生问题,全球有超过3.75亿人受到感染。慢性HBV感染会导致严重的肝脏疾病,如肝硬化和肝细胞癌。因此,迫切需要揭示HBV感染的机制并发现新的药物靶点。干扰素和干扰素刺激基因负责抑制HBV感染。干扰素诱导跨膜(IFITM)分布于质膜上,可限制多种病毒的入侵。然而,IFITM是否以及如何调控HBV感染仍不清楚。在此,我们表明IFITM1抑制HBV的复制,这依赖于棕榈酰化修饰。此外,去棕榈酰化酶α/β水解酶结构域包含蛋白16A(ABHD16A)对IFITM1的抗HBV活性起负调控作用。总体而言,我们的研究结果表明ABHD16A是干扰HBV复制的潜在靶点。

https://cdn.ncbi.nlm.nih.gov/pmc/blobs/e67e/12210952/1f89f7c852a9/spectrum.03095-24.f001.jpg

文献AI研究员

20分钟写一篇综述,助力文献阅读效率提升50倍。

立即体验

用中文搜PubMed

大模型驱动的PubMed中文搜索引擎

马上搜索

文档翻译

学术文献翻译模型,支持多种主流文档格式。

立即体验