Suppr超能文献

上皮性GREMLIN1通过基质重塑破坏肠上皮-间充质串扰,以诱导依赖Wnt的异位干细胞龛。

Epithelial GREMLIN1 disrupts intestinal epithelial-mesenchymal crosstalk to induce a wnt-dependent ectopic stem cell niche through stromal remodelling.

作者信息

Mulholland Eoghan J, Belnoue-Davis Hayley L, Valbuena Gabriel N, Gunduz Nuray, Ligeza Amelia, Lin Muyang, Biswas Sujata, Gil Vasquez Ester, Omwenga Sulochana, Nasreddin Nadia, Hodder Michael C, Wang Lai Mun, Ng Aik Seng, Jennings Elizabeth, Midwood Kim S, Dedi Neesha, Irshad Shazia, Ridgway Rachel A, Phesse Toby J, East James, Tomlinson Ian Pm, Davies Gareth Cg, Sansom Owen J, Leedham Simon J

机构信息

Centre for Human Genetics, Roosevelt Drive, University of Oxford, Oxford, UK.

Cancer Research UK Scotland Centre, Glasgow, UK.

出版信息

Nat Commun. 2025 Jun 4;16(1):5167. doi: 10.1038/s41467-025-60364-6.

Abstract

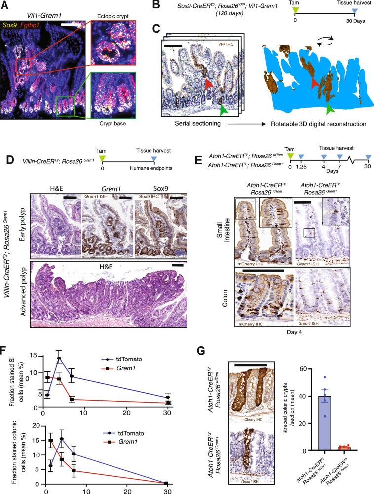
In homeostasis, counterbalanced morphogen signalling gradients along the vertical axis of the intestinal mucosa regulate the fate and function of epithelial and stromal cell compartments. Here, we use a disease-positioned mouse and human tissue to explore the consequences of pathological BMP signalling dysregulation on epithelial-mesenchymal interaction. Aberrant pan-epithelial expression of the secreted BMP antagonist Grem1 results in ectopic crypt formation, with lineage tracing demonstrating the presence of Lgr5(-) stem/progenitor cells. Isolated epithelial cell Grem1 expression has no effect on individual cell fate, indicating an intercompartmental impact of mucosal-wide BMP antagonism. Treatment with an anti-Grem1 antibody abrogates the polyposis phenotype, and triangulation of specific pathway inhibitors defines a pathological sequence of events, with Wnt-ligand-dependent ectopic stem cell niches forming through stromal remodelling following BMP disruption. These data support an emerging co-evolutionary model of intestinal cell compartmentalisation based on bidirectional regulation of epithelial-mesenchymal cell fate and function.

摘要

在稳态下,沿肠黏膜垂直轴的形态发生素信号梯度相互平衡,调节上皮和基质细胞区室的命运和功能。在此,我们使用疾病定位的小鼠和人类组织来探究病理性骨形态发生蛋白(BMP)信号失调对上皮-间充质相互作用的影响。分泌型BMP拮抗剂Gremlin1(Grem1)的异常全上皮表达导致异位隐窝形成,谱系追踪显示存在富含亮氨酸重复序列的G蛋白偶联受体5(Lgr5)阴性干/祖细胞。分离的上皮细胞Grem1表达对单个细胞命运没有影响,表明全黏膜BMP拮抗作用具有区室间影响。用抗Grem1抗体治疗可消除息肉病表型,特定信号通路抑制剂的三角测量确定了一系列病理事件,即BMP破坏后通过基质重塑形成依赖于Wnt配体的异位干细胞龛。这些数据支持了一种基于上皮-间充质细胞命运和功能双向调节的肠细胞区室化共同进化模型。

https://cdn.ncbi.nlm.nih.gov/pmc/blobs/1944/12137559/683b15187629/41467_2025_60364_Fig1_HTML.jpg

文献AI研究员

20分钟写一篇综述,助力文献阅读效率提升50倍。

立即体验

用中文搜PubMed

大模型驱动的PubMed中文搜索引擎

马上搜索

文档翻译

学术文献翻译模型,支持多种主流文档格式。

立即体验