Suppr超能文献

紫苏醛与铁死亡诱导剂协同作用,促进胃癌细胞的铁死亡。

Perillaldehyde synergizes with ferroptosis inducers to promote ferroptotic cell death in gastric cancer.

作者信息

Wang Rui, Cui Jin-Feng, Lv Jing, Song Jia-Lin, Lu Yang-Yang, Huang Xiao-Juan, Lin Zhong-Kun, Zhang Si-Yi, Wang Sha-Sha, Qiu Wen-Sheng

机构信息

Department of Oncology, The Affiliated Hospital of Qingdao University, Qingdao, China.

Department of Oncology, Shandong Provincial Third Hospital, Jinan, Shandong, China.

出版信息

Front Cell Dev Biol. 2025 Jun 3;13:1598520. doi: 10.3389/fcell.2025.1598520. eCollection 2025.

Abstract

INTRODUCTION

As a traditional medicine and food homologous plant, Perilla frutescens is widely cultivated in China, Japan, and Korea. According to the , the leaves, stems, and seeds of perilla can all be used as medicine. Perilla essential oil has been used in traditional Chinese medicine since ancient times. It has been demonstrated that perillaldehyde (PAH), a primary composition of the essential oil extracted from perilla, can inhibit tumor growth through multiple mechanisms. However, the specific mechanisms by which PAH suppresses gastric cancer remain incompletely understood.

METHODS

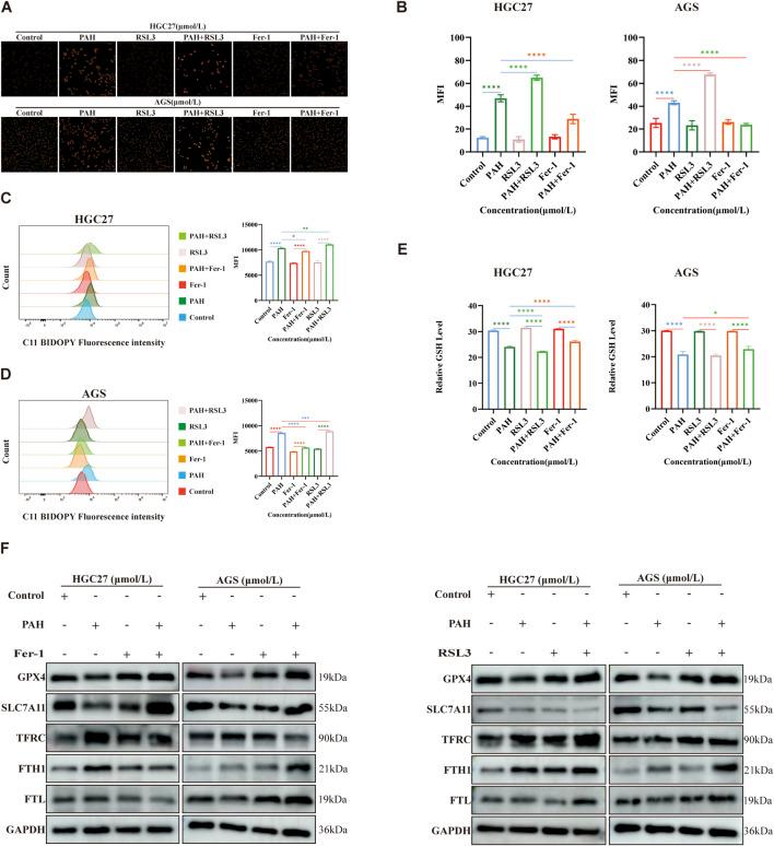
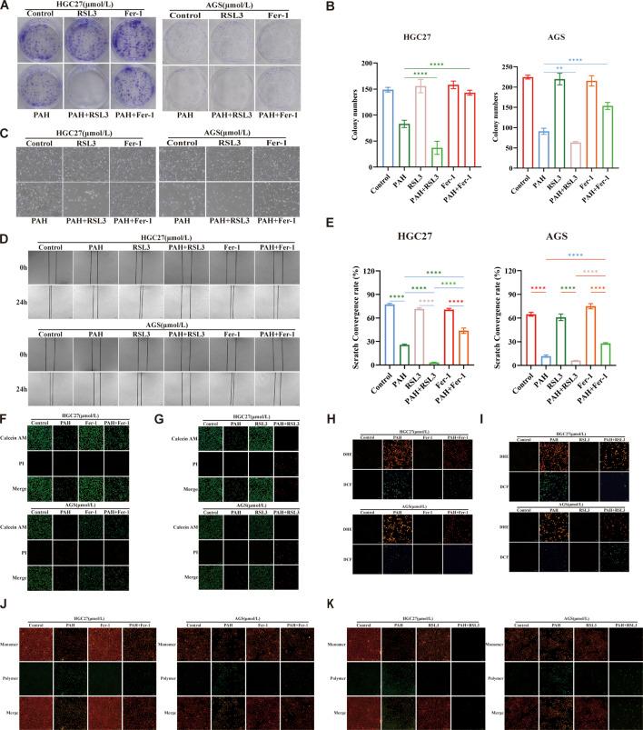
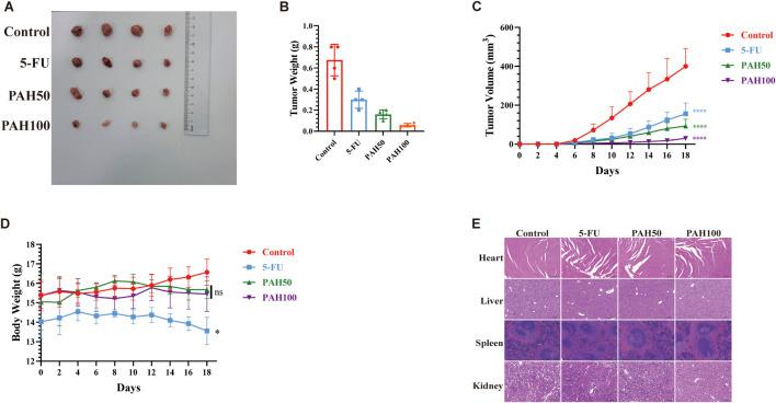
We performed experiments using three cell lines (AGS, HGC27, and MFC) to assess the effects of PAH on cell viability, proliferation, and migration of gastric cancer cells. Concurrently, we established a subcutaneous gastric tumor model in BALB/c nude mice for animal studies. Subsequently, oxidative stress was measured via fluorescence staining techniques (HDCFDA, DHE, and JC-1). We then evaluated whether PAH induced ferroptosis in gastric cancer cells through FerroOrange staining, quantification of intracellular glutathione (GSH) and lipid peroxidation levels, and Western blotting. Finally, PAH was co-administered with the ferroptosis inhibitor Ferrostatin-1 (Fer-1) or the ferroptosis inducer RSL3, and relevant experiments were re-evaluated.

RESULTS

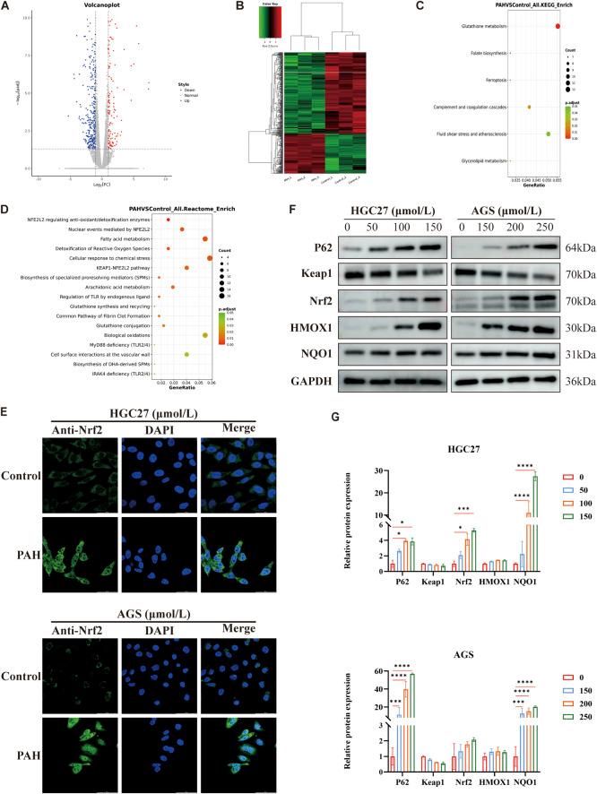
In this study, PAH was proven to inhibit the growth of gastric cancer both and . It led to a reduction in mitochondrial membrane potential (MMP), an augmentation of the accumulation of reactive oxygen species (ROS), and an elevation of oxidative stress levels. Moreover, PAH decreased intracellular GSH levels while increasing intracellular lipid peroxidation and Fe levels. These effects indicate that PAH induces ferroptosis via inhibiting the system Xc (-)/GSH/GPX4 axis. Furthermore, PAH influenced the expression of proteins related to iron transport and storage and regulated ferroptosis via the P62-Keap1-Nrf2 pathway. When combined with the ferroptosis inducer RSL3, PAH could promote ferroptosis in gastric cancer.

DISCUSSION

Our research suggests a potential therapeutic strategy in which PAH could be used to synergize with ferroptosis inducers for treating gastric cancer.

摘要

引言

紫苏作为一种药食同源的传统植物,在中国、日本和韩国广泛种植。据记载,紫苏的叶、茎和种子均可入药。紫苏精油自古以来就在中药中使用。已证明,紫苏醛(PAH)作为从紫苏中提取的精油的主要成分,可通过多种机制抑制肿瘤生长。然而,PAH抑制胃癌的具体机制仍不完全清楚。

方法

我们使用三种细胞系(AGS、HGC27和MFC)进行实验,以评估PAH对胃癌细胞活力、增殖和迁移的影响。同时,我们在BALB/c裸鼠中建立了皮下胃癌肿瘤模型用于动物研究。随后,通过荧光染色技术(HDCFDA、DHE和JC-1)测量氧化应激。然后,我们通过FerroOrange染色、细胞内谷胱甘肽(GSH)和脂质过氧化水平的定量以及蛋白质印迹法评估PAH是否诱导胃癌细胞发生铁死亡。最后,将PAH与铁死亡抑制剂Ferrostatin-1(Fer-1)或铁死亡诱导剂RSL3联合使用,并重新评估相关实验。

结果

在本研究中,PAH被证明在体内和体外均能抑制胃癌的生长。它导致线粒体膜电位(MMP)降低、活性氧(ROS)积累增加以及氧化应激水平升高。此外,PAH降低细胞内GSH水平,同时增加细胞内脂质过氧化和铁水平。这些效应表明PAH通过抑制系统Xc(-)/GSH/GPX4轴诱导铁死亡。此外,PAH影响与铁转运和储存相关的蛋白质表达,并通过P62-Keap1-Nrf2途径调节铁死亡。当与铁死亡诱导剂RSL3联合使用时,PAH可促进胃癌中的铁死亡。

讨论

我们的研究提出了一种潜在的治疗策略,即PAH可与铁死亡诱导剂协同用于治疗胃癌。

https://cdn.ncbi.nlm.nih.gov/pmc/blobs/5790/12170665/a40ab731fc18/fcell-13-1598520-g001.jpg

文献AI研究员

20分钟写一篇综述,助力文献阅读效率提升50倍。

立即体验

用中文搜PubMed

大模型驱动的PubMed中文搜索引擎

马上搜索

文档翻译

学术文献翻译模型,支持多种主流文档格式。

立即体验