Suppr超能文献

波莫利酸诱导非小细胞肺癌中由铁死亡介导的细胞死亡。

Pomolic acid induces ferroptosis-mediated cell death in non-small cell lung cancer.

作者信息

Ji Wenbin, Zhang Yanbin, Ji Wenhao, Zhang Hui, Qin Biao, Xing Xiao-Liang, Zhang Zaiqi

机构信息

The First Clinical Medical College, Ningxia Medical University, Yinchuan, Ningxia, China.

School of Medicine and School of Public Health and Emergency Management, Hunan University of Medicine, Huaihua, Hunan, China.

出版信息

Front Pharmacol. 2025 Jun 4;16:1567942. doi: 10.3389/fphar.2025.1567942. eCollection 2025.

Abstract

INTRODUCTION

Pomolic acid (PA), a bioactive compound derived from Potentilla freyniana Bornm., is used palliatively for non-small cell lung cancer (NSCLC) in China's Dongzu region, with some reports of clinical efficacy. However, the specific underlying molecular mechanisms remain unclear. This study aimed to identify the core targets of PA and explore its function and potential mechanisms in NSCLC.

METHODS

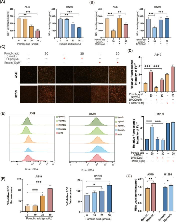
Network pharmacological analysis was utilized to identify the core targets of PA. In vitro functional studies were performed using NSCLC cells to investigate PA's effects on cell death and proliferation. Assays were conducted to measure hallmarks of ferroptosis, including glutathione (GSH) depletion, iron (Fe)-dependent lipid peroxidation, and elevated reactive oxygen species (ROS) levels. Protein expression levels of key anti-ferroptotic factors (SLC40A1, SLC7A11, GPX4) and pro-ferroptotic proteins (ACSL4, HO-1) were assessed. Quantitative PCR (qPCR) was used to determine mRNA expression levels of genes negatively regulating ferroptosis (GPX4, SLC7A11, NRF2).

RESULTS

PA effectively induced cell death and inhibited proliferation in NSCLC cells. Characteristic hallmarks of ferroptosis were observed, including GSH depletion, Fe-dependent lipid peroxidation, and increased ROS levels. Protein expression levels of SLC40A1, SLC7A11, and GPX4 were significantly downregulated, while ACSL4 and HO-1 were markedly upregulated. mRNA expression levels of GPX4, SLC7A11, and NRF2 were also significantly reduced.

DISCUSSION

These findings suggest that PA exerts its anticancer effects primarily through ferroptosis induction. The observed modulation of key ferroptosis-related proteins and genes supports this mechanism. Therefore, PA may serve as a promising therapeutic agent for NSCLC treatment.

摘要

引言

委陵菜酸(PA)是一种从翻白草中提取的生物活性化合物,在中国侗族地区被用于非小细胞肺癌(NSCLC)的姑息治疗,有一些关于其临床疗效的报道。然而,其具体的潜在分子机制仍不清楚。本研究旨在确定PA的核心靶点,并探讨其在NSCLC中的作用及潜在机制。

方法

利用网络药理学分析确定PA的核心靶点。使用NSCLC细胞进行体外功能研究,以研究PA对细胞死亡和增殖的影响。进行实验以测量铁死亡的特征,包括谷胱甘肽(GSH)耗竭、铁(Fe)依赖性脂质过氧化和活性氧(ROS)水平升高。评估关键抗铁死亡因子(SLC40A1、SLC7A11、GPX4)和促铁死亡蛋白(ACSL4、HO-1)的蛋白表达水平。采用定量聚合酶链反应(qPCR)确定负调控铁死亡的基因(GPX4、SLC7A11、NRF2)的mRNA表达水平。

结果

PA有效诱导NSCLC细胞死亡并抑制其增殖。观察到铁死亡的特征,包括GSH耗竭、Fe依赖性脂质过氧化和ROS水平升高。SLC40A1、SLC7A11和GPX4的蛋白表达水平显著下调,而ACSL4和HO-1明显上调。GPX4、SLC7A11和NRF2的mRNA表达水平也显著降低。

讨论

这些发现表明,PA主要通过诱导铁死亡发挥其抗癌作用。观察到的关键铁死亡相关蛋白和基因的调节支持了这一机制。因此,PA可能是一种有前途的NSCLC治疗药物。

https://cdn.ncbi.nlm.nih.gov/pmc/blobs/0a59/12174985/aa209b6fd8ab/fphar-16-1567942-g001.jpg

文献AI研究员

20分钟写一篇综述,助力文献阅读效率提升50倍。

立即体验

用中文搜PubMed

大模型驱动的PubMed中文搜索引擎

马上搜索

文档翻译

学术文献翻译模型,支持多种主流文档格式。

立即体验