Suppr超能文献

SIRT1通过调节p66Shc预防年龄相关性白内障期间晶状体上皮细胞衰老。

SIRT1 Prevents Lens Epithelial Cell Senescence During Age-Related Cataract via Regulating p66Shc.

作者信息

Liu Huirui, Sun Liyao, Mi Yu, Gao Yi, Luo Jialin, Kang Fengchun, Bai Yujing, Yu Xiaohan, Ge Hongyan

机构信息

Eye Hospital, The First Affiliated Hospital of Harbin Medical University, Harbin, China.

NHC Key Laboratory of Cell Transplantation, Heilongjiang, China.

出版信息

Aging Cell. 2025 Sep;24(9):e70155. doi: 10.1111/acel.70155. Epub 2025 Jun 26.

Abstract

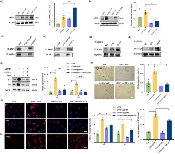
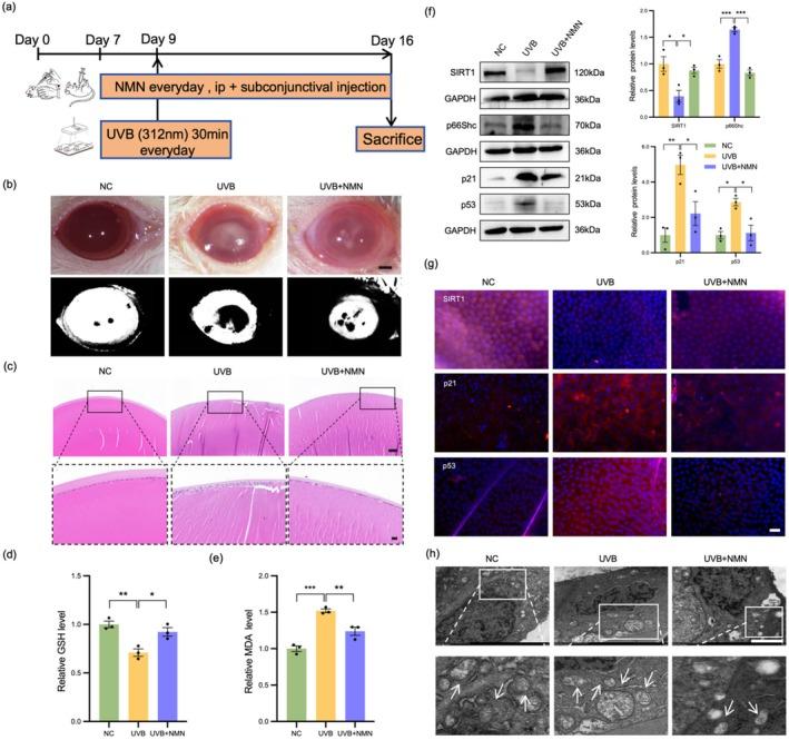
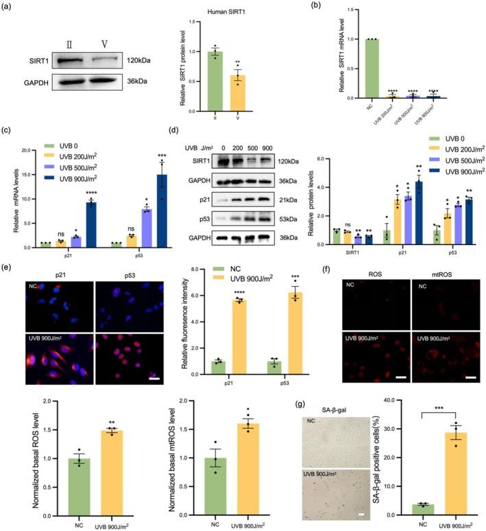
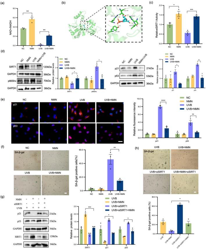
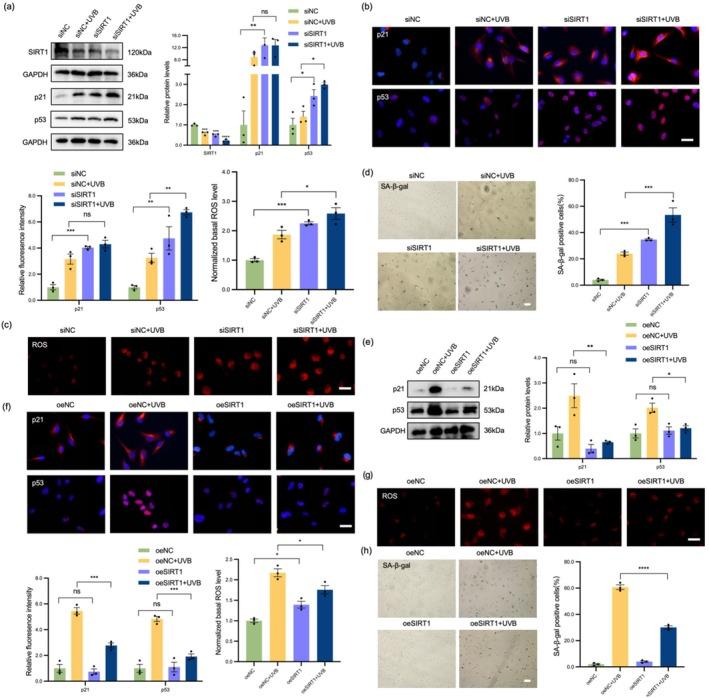
Lens epithelial cell (LEC) senescence is one of the key pathological processes of age-related cataract (ARC) and is associated with oxidative stress, mitochondrial dysfunction, and protein aggregation. This study aimed to elucidate the pathogenesis of LEC senescence in ARC. The protein expression level of silencing regulatory protein 1 (SIRT1) and aptamer protein (p66Shc) was quantified. Reactive oxygen species (ROS) and mitochondrial superoxide levels were measured to evaluate cellular oxidative stress. Senescence-associated protein expression (p21 and p53) and SA-β-galactosidase staining were employed to assess the aging status of LEC. Targeted metabolic analysis was conducted to explore energy changes during LEC senescence, and mitochondrial morphology and function were assessed in the cell models. The aging and damage conditions of the lens in ARC rats were evaluated through histological staining, transmission electron microscopy, expression of senescence-related proteins, and oxidative stress markers. We comprehensively investigated the downregulation of SIRT1 expression and the upregulation of p66Shc expression in human cataract samples, UVB-induced rat cataract models, and UVB-treated LEC. SIRT1 could alleviate UVB-induced oxidative stress, as well as mitochondrial dysfunction, inhibiting p66Shc expression in LEC. Nicotinamide mononucleotide (NMN) effectively alleviated the abnormal expression of aging-related proteins and inhibited mitochondrial morphological and functional disorders by activating SIRT1. In conclusion, NMN activated SIRT1, inhibiting mitochondrial dysfunction, oxidative stress, and senescence in LEC, delaying lens opacity. This mechanism could be associated with the onset and progression of ARC, providing a new strategy for its prevention and treatment.

摘要

晶状体上皮细胞(LEC)衰老 是年龄相关性白内障(ARC)的关键病理过程之一,与氧化应激、线粒体功能障碍和蛋白质聚集有关。本研究旨在阐明ARC中LEC衰老的发病机制。对沉默调节蛋白1(SIRT1)和适配蛋白(p66Shc)的蛋白表达水平进行了定量分析。测量活性氧(ROS)和线粒体超氧化物水平以评估细胞氧化应激。采用衰老相关蛋白表达(p21和p53)和SA-β-半乳糖苷酶染色来评估LEC的衰老状态。进行靶向代谢分析以探索LEC衰老过程中的能量变化,并在细胞模型中评估线粒体形态和功能。通过组织学染色、透射电子显微镜、衰老相关蛋白表达和氧化应激标志物评估ARC大鼠晶状体的衰老和损伤情况。我们全面研究了人类白内障样本、紫外线B(UVB)诱导的大鼠白内障模型和UVB处理的LEC中SIRT1表达下调和p66Shc表达上调的情况。SIRT1可以减轻UVB诱导的氧化应激以及线粒体功能障碍,抑制LEC中p66Shc的表达。烟酰胺单核苷酸(NMN)通过激活SIRT1有效减轻衰老相关蛋白的异常表达,并抑制线粒体形态和功能紊乱。总之,NMN激活SIRT1,抑制LEC中的线粒体功能障碍、氧化应激和衰老,延缓晶状体混浊。这一机制可能与ARC的发生和发展有关,为其预防和治疗提供了新策略。

https://cdn.ncbi.nlm.nih.gov/pmc/blobs/2a3f/12419841/ecf52799bb20/ACEL-24-e70155-g002.jpg

文献AI研究员

20分钟写一篇综述,助力文献阅读效率提升50倍。

立即体验

用中文搜PubMed

大模型驱动的PubMed中文搜索引擎

马上搜索

文档翻译

学术文献翻译模型,支持多种主流文档格式。

立即体验