Suppr超能文献

鉴定和验证一种与KRAS-巨噬细胞相关的基因特征作为黑色素瘤的预后生物标志物和潜在治疗靶点。

Identification and validation of a KRAS-macrophage-associated gene signature as prognostic biomarkers and potential therapeutic targets in melanoma.

作者信息

Cai Beichen, Lin Qian, Ke Ruonan, Yu Jiaqi, Chen Lu, Ni Xuejun, Liu Hekun, Shan Xiuying, Wang Biao

机构信息

Department of Plastic Surgery, the First Affiliated Hospital of Fujian Medical University, Fuzhou, China.

Department of Plastic Surgery, National Regional Medical Center, Binhai Campus of the First Affiliated Hospital, Fujian Medical University, Fuzhou, China.

出版信息

Front Immunol. 2025 Jun 18;16:1566432. doi: 10.3389/fimmu.2025.1566432. eCollection 2025.

Abstract

INTRODUCTION

Skin cutaneous melanoma (SKCM) is a highly aggressive form of cancer with poor prognosis, characterized by significant molecular and immune heterogeneity. The activation of KRAS signaling pathways is implicated in melanoma progression, yet its role in shaping the tumor microenvironment, particularly in macrophage infiltration, remains poorly understood.

METHODS

A comprehensive multi-platform approach was employed, analyzing gene expression data from the Gene Expression Omnibus (GEO) and The Cancer Genome Atlas (TCGA) databases. Gene set enrichment analysis (GSEA) was utilized to characterize the molecular pathways associated with KRAS signaling. Single-cell RNA sequencing (scRNA-seq) was leveraged to investigate the cellular heterogeneity within the SKCM tumor microenvironment, and macrophage populations were categorized using the Monocle2 algorithm. A KRAS-Macrophage Prognostic Associated Gene (KMPAG) signature was developed by integrating these findings, followed by validation using a least absolute shrinkage and selection operator (LASSO) regression model. The prognostic value of the KMPAG signature was assessed through its correlation with clinical outcomes, immune cell infiltration patterns, response to therapy, drug sensitivity, and miRNA-gene regulatory interactions. Cell-cell communication within the SKCM microenvironment was explored using the "CellChat" tool. Experimental validation of gene expression was performed via immunohistochemistry (IHC) and functional assays in gene-modified melanoma cell lines.

RESULTS

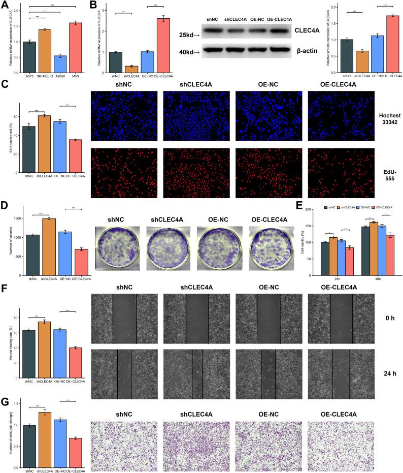
Twenty-two genes involved in KRAS signaling were identified as critical for patient survival. Single-cell analysis revealed nine distinct cell populations within the SKCM microenvironment, leading to the construction of the KMPAG risk model, which incorporated three key genes-CLEC4A, CXCL10, and LAT2. This signature effectively reclassified macrophage subsets, offering improved diagnostic and prognostic capabilities. Furthermore, the KMPAG signature correlated with a range of clinical parameters, including immune infiltration levels, tumor stage, and therapy response. The model also provided insights into the immune landscape of SKCM, facilitating the prediction of responses to immunotherapy. Functional assays demonstrated that downregulation of CLEC4A significantly promoted melanoma cell proliferation, migration, and invasion.

CONCLUSION

This study highlights the importance of KRAS signaling and macrophage infiltration in melanoma prognosis. The KMPAG gene signature presents a novel prognostic tool, offering insights into personalized treatment strategies and predictive biomarkers for immunotherapy in SKCM. Further exploration of CLEC4A's role in melanoma progression may provide new therapeutic avenues for targeted intervention.

摘要

引言

皮肤黑色素瘤(SKCM)是一种侵袭性很强的癌症,预后较差,其特点是存在显著的分子和免疫异质性。KRAS信号通路的激活与黑色素瘤进展有关,但其在塑造肿瘤微环境,特别是在巨噬细胞浸润方面的作用仍知之甚少。

方法

采用综合多平台方法,分析来自基因表达综合数据库(GEO)和癌症基因组图谱(TCGA)数据库的基因表达数据。基因集富集分析(GSEA)用于表征与KRAS信号相关的分子途径。利用单细胞RNA测序(scRNA-seq)研究SKCM肿瘤微环境内的细胞异质性,并使用Monocle2算法对巨噬细胞群体进行分类。通过整合这些发现开发了KRAS-巨噬细胞预后相关基因(KMPAG)特征,随后使用最小绝对收缩和选择算子(LASSO)回归模型进行验证。通过将KMPAG特征与临床结果、免疫细胞浸润模式、治疗反应、药物敏感性和miRNA-基因调控相互作用的相关性来评估其预后价值。使用“CellChat”工具探索SKCM微环境内的细胞间通讯。通过免疫组织化学(IHC)和基因修饰黑色素瘤细胞系中的功能测定对基因表达进行实验验证。

结果

确定了22个参与KRAS信号传导的基因对患者生存至关重要。单细胞分析揭示了SKCM微环境内的9个不同细胞群体,从而构建了包含三个关键基因——CLEC4A、CXCL10和LAT2的KMPAG风险模型。该特征有效地重新分类了巨噬细胞亚群,提高了诊断和预后能力。此外,KMPAG特征与一系列临床参数相关,包括免疫浸润水平、肿瘤分期和治疗反应。该模型还提供了对SKCM免疫格局的见解,有助于预测免疫治疗反应。功能测定表明,CLEC4A的下调显著促进黑色素瘤细胞的增殖、迁移和侵袭。

结论

本研究强调了KRAS信号传导和巨噬细胞浸润在黑色素瘤预后中的重要性。KMPAG基因特征提供了一种新的预后工具,为SKCM的个性化治疗策略和免疫治疗预测生物标志物提供了见解。进一步探索CLEC4A在黑色素瘤进展中的作用可能为靶向干预提供新的治疗途径。

https://cdn.ncbi.nlm.nih.gov/pmc/blobs/2081/12213886/db4700cb6036/fimmu-16-1566432-g001.jpg

文献AI研究员

20分钟写一篇综述,助力文献阅读效率提升50倍。

立即体验

用中文搜PubMed

大模型驱动的PubMed中文搜索引擎

马上搜索

文档翻译

学术文献翻译模型,支持多种主流文档格式。

立即体验