Suppr超能文献

用于检测肉类及肉制品中四种主要食源性病原体的环介导等温扩增技术

Loop-Mediated Isothermal Amplification for Detecting Four Major Foodborne Pathogens in Meat and Meat Products.

作者信息

Li Xin, Zhu Mingxue, Wang Siyuan, Li Weijia, Ren Baohong, Qu Lingbo, Zhang Xiaoling

机构信息

School of Pharmaceutical Sciences, Zhengzhou University, Zhengzhou 450001, China.

Key Laboratory of Food Safety Quick Testing and Smart Supervision Technology for State Market Regulation, Henan Province Food Inspection Research Institute, Zhengzhou 450003, China.

出版信息

Foods. 2025 Jun 30;14(13):2321. doi: 10.3390/foods14132321.

Abstract

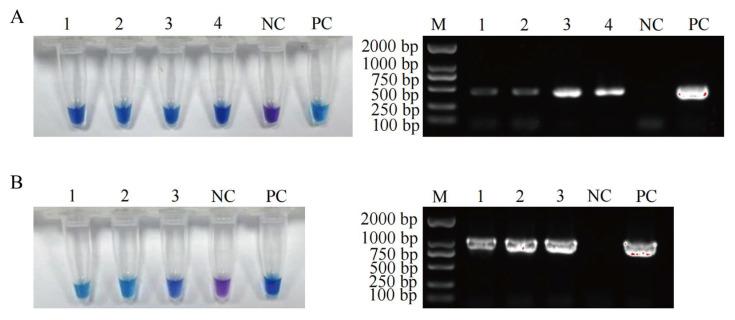
, , , and O157:H7 are four major foodborne pathogenic bacteria found in meat and meat products, which pose significant threats to human health. In this study, we developed specific loop-mediated isothermal amplification (LAMP) primers targeting these four pathogenic bacteria. Following the optimization of system components and reaction parameters, four rapid and simplified LAMP-based detection assays were established, which enabled the visual detection of these four pathogenic bacteria within 40-50 min. The three established LAMP assays targeting , , and O157:H7 achieved species-level discrimination, whereas the LAMP method for exhibited genus-level specificity. The detection limits of the LAMP assays were determined as follows: 1.8 × 10 colony forming units (CFU)/mL for , 5.1 × 10 CFU/mL for , 1.2 × 10 CFU/mL for , and 3.3 × 10 CFU/mL for O157:H7, with sensitivity improved by 10-1000-fold compared to conventional PCR. The developed LAMP assays were used to analyze 52 meat and meat product samples, and 7 samples were positive, which was consistent with the results of the conventional PCR and culture-based methods, demonstrating an accuracy rate of 100% for the LAMP methods. In conclusion, the established LAMP assays exhibit high specificity, enhanced sensitivity, and result visualization, making them suitable for on-site rapid detection in food safety monitoring.

摘要

[具体细菌名称1]、[具体细菌名称2]、[具体细菌名称3]和O157:H7是在肉类和肉类产品中发现的四种主要食源性病原体,对人类健康构成重大威胁。在本研究中,我们针对这四种病原菌开发了特异性环介导等温扩增(LAMP)引物。在优化系统组件和反应参数后,建立了四种基于LAMP的快速简便检测方法,可在40 - 50分钟内实现对这四种病原菌的可视化检测。针对[具体细菌名称1]、[具体细菌名称2]和O157:H7建立的三种LAMP检测方法实现了种水平的区分,而针对[具体细菌名称3]的LAMP方法表现出属水平的特异性。LAMP检测方法的检测限如下:[具体细菌名称1]为1.8×10菌落形成单位(CFU)/mL,[具体细菌名称2]为5.1×10 CFU/mL,[具体细菌名称3]为[具体数值]CFU/mL,O157:H7为3.3×10 CFU/mL,与传统PCR相比,灵敏度提高了10 - 1000倍。所开发的LAMP检测方法用于分析52份肉类和肉类产品样品,7份样品呈阳性,这与传统PCR和基于培养的方法结果一致,表明LAMP方法的准确率为100%。总之,所建立的LAMP检测方法具有高特异性、增强的灵敏度和结果可视化的特点,适用于食品安全监测中的现场快速检测。

https://cdn.ncbi.nlm.nih.gov/pmc/blobs/9465/12249438/0e4f13db1fe3/foods-14-02321-g001.jpg

文献AI研究员

20分钟写一篇综述,助力文献阅读效率提升50倍。

立即体验

用中文搜PubMed

大模型驱动的PubMed中文搜索引擎

马上搜索

文档翻译

学术文献翻译模型,支持多种主流文档格式。

立即体验