Suppr超能文献

4'-羟基汉黄芩素通过靶向Gas6/Axl信号轴抑制口腔鳞状细胞癌进展。

4'-hydroxywogonin inhibits oral squamous cell carcinoma progression by targeting Gas6/Axl signaling axis.

作者信息

Wang Tong-Hong, Chou Li-Fang, Chen Chin-Chuan, Yeh Chau-Ting, Liu Yi-Tsen, Chu Yu-De, Lin Hsin-Wei, Chen Kai-Yin, Yu Cheng-Chia, Chen Chi-Yuan

机构信息

Biobank, Chang Gung Memorial Hospital, Taoyuan, Taiwan.

Graduate Institute of Health Industry and Technology, Research Center for Food and Cosmetic Safety, Chang Gung University of Science and Technology, Taoyuan, Taiwan.

出版信息

J Dent Sci. 2025 Jul;20(3):1639-1647. doi: 10.1016/j.jds.2025.03.012. Epub 2025 Mar 19.

Abstract

BACKGROUND/PURPOSE: Oral squamous cell carcinoma (OSCC) is one of the most common head and neck malignancies, with current therapeutic strategies often limited by low efficacy and drug resistance. In this study, we investigated the anticancer potential and underlying mechanisms of 4'-hydroxywogonin, a flavonoid extracted from Scutellaria baicalensis, in OSCC.

MATERIALS AND METHODS

OSCC cell lines were treated with 4'-hydroxywogonin, and its anticancer effects were evaluated using cell functional assays. Western blot analysis was performed to examine the regulatory pathways involved, and rescue assays were conducted to validate its mechanism of action.

RESULTS

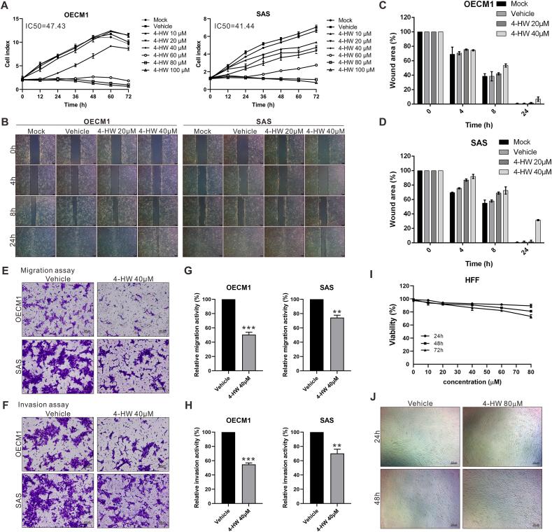
4'-Hydroxywogonin selectively inhibited OSCC cell proliferation, migration, and invasion without inducing cytotoxicity in normal human cells. Mechanistic studies revealed that 4'-hydroxywogonin downregulated Axl and its ligand Gas6, leading to the suppression of PI3K/AKT signaling, cell cycle checkpoint regulation, and epithelial-mesenchymal transition (EMT)-related proteins, ultimately inducing G1 phase cell cycle arrest and apoptosis. Moreover, the combination of 4'-hydroxywogonin with cisplatin significantly enhanced its inhibitory effects on OSCC.

CONCLUSION

4'-Hydroxywogonin exhibits potential as a novel therapeutic agent for OSCC, with the capacity to enhance cisplatin-mediated anticancer effects, highlighting its potential in combination therapy.

摘要

背景/目的:口腔鳞状细胞癌(OSCC)是最常见的头颈部恶性肿瘤之一,目前的治疗策略常常受到疗效低和耐药性的限制。在本研究中,我们调查了从黄芩中提取的黄酮类化合物4'-羟基汉黄芩素在OSCC中的抗癌潜力及其潜在机制。

材料与方法

用4'-羟基汉黄芩素处理OSCC细胞系,并使用细胞功能测定法评估其抗癌作用。进行蛋白质免疫印迹分析以检查涉及的调控途径,并进行挽救试验以验证其作用机制。

结果

4'-羟基汉黄芩素选择性抑制OSCC细胞增殖、迁移和侵袭,而不诱导正常人类细胞的细胞毒性。机制研究表明,4'-羟基汉黄芩素下调Axl及其配体Gas6,导致PI3K/AKT信号传导、细胞周期检查点调节和上皮-间质转化(EMT)相关蛋白受到抑制,最终诱导G1期细胞周期停滞和细胞凋亡。此外,4'-羟基汉黄芩素与顺铂联合使用可显著增强其对OSCC的抑制作用。

结论

4'-羟基汉黄芩素具有作为OSCC新型治疗剂的潜力,能够增强顺铂介导的抗癌作用,突出了其在联合治疗中的潜力。

https://cdn.ncbi.nlm.nih.gov/pmc/blobs/6bbb/12254818/fa1e80ed783a/gr1.jpg

文献AI研究员

20分钟写一篇综述,助力文献阅读效率提升50倍。

立即体验

用中文搜PubMed

大模型驱动的PubMed中文搜索引擎

马上搜索

文档翻译

学术文献翻译模型,支持多种主流文档格式。

立即体验