Suppr超能文献

泪液缺乏改变大鼠角膜降钙素基因相关肽阳性神经的空间分布。

Tear deficiency transforms spatial distribution of corneal calcitonin gene-related peptide-positive nerves in rats.

作者信息

Kiyoi Takeshi, Nakajima Akihiro, He Qiang, Liu Li, Zheng Shijie, Kobayashi Shizuka, Uwada Junsuke, Masuoka Takayoshi

机构信息

Department of Pharmacology, School of Medicine, Kanazawa Medical University, Uchinada, Japan.

出版信息

Front Cell Neurosci. 2025 Jul 1;19:1619310. doi: 10.3389/fncel.2025.1619310. eCollection 2025.

Abstract

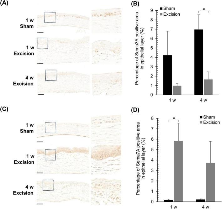
The nerve terminals distributed in the cornea are important for sensory perception and the maintenance of ocular surface homeostasis. In dry eye disease (DED), corneal nerves undergo functional and morphological changes that may be involved in abnormal ocular surface sensation and corneal pathology. However, changes in the spatial distribution of corneal nerves, including polymodal nociceptors, and their regulatory mechanisms remain unknown. In the present study, we analyzed time-dependent changes in corneal nerves, focusing on calcitonin gene-related peptide (CGRP)-positive nociceptive nerves in DED model rats, in which both the extraorbital and intraorbital lacrimal glands were surgically excised. After gland excision, the cornea showed acute inflammation, characterized by the presence of segmented-nucleus neutrophil infiltration, followed by chronic inflammation and angiogenesis. In parallel, denervation and subsequent reinnervation in the epithelium, as well as excessive innervation in the stroma, were observed, both involving CGRP-positive nerves. The DED rats showed hypoesthesia and subsequently hyperesthesia in response to mechanical stimulation of the corneal surface, which was synchronized with the denervation and reinnervation of corneal nerve plexuses in the epithelium. Persistent hyperalgesia to capsaicin in DED rats was not correlated with CGRP-positive nerve distribution in the early phase. After gland excision, the expression of neurotropic factor Sema7A increased within the epithelium and stroma, while that of the repulsive axon guidance factor Sema3A decreased in the epithelium. The expression patterns of these molecules correlate with reinnervation of the epithelium and excessive innervation of the stroma. These data suggest that changes in nerve distribution, including CGRP-positive nerves, might partially contribute to sensory perception and progression of corneal inflammatory pathology in DED. Sema3A and Sema7A may be involved in reinnervation as part of the regulatory mechanism in DED.

摘要

分布于角膜的神经末梢对于感觉感知和眼表稳态的维持至关重要。在干眼病(DED)中,角膜神经会发生功能和形态学变化,这可能与异常的眼表感觉和角膜病变有关。然而,包括多模式伤害感受器在内的角膜神经空间分布变化及其调节机制仍不清楚。在本研究中,我们分析了角膜神经的时间依赖性变化,重点关注手术切除眶外和眶内泪腺的DED模型大鼠中降钙素基因相关肽(CGRP)阳性伤害性神经。腺体切除后,角膜出现急性炎症,特征为分叶核中性粒细胞浸润,随后出现慢性炎症和血管生成。同时,观察到上皮中的去神经支配及随后的再神经支配,以及基质中的神经支配过度,两者均涉及CGRP阳性神经。DED大鼠对角膜表面机械刺激表现出感觉减退,随后出现感觉过敏,这与上皮中角膜神经丛的去神经支配和再神经支配同步。DED大鼠对辣椒素的持续痛觉过敏在早期与CGRP阳性神经分布无关。腺体切除后,神经营养因子Sema7A在上皮和基质中的表达增加,而排斥性轴突导向因子Sema3A在上皮中的表达减少。这些分子的表达模式与上皮的再神经支配和基质的神经支配过度相关。这些数据表明,包括CGRP阳性神经在内的神经分布变化可能部分导致DED中角膜炎性病理的感觉感知和进展。Sema3A和Sema7A可能作为DED调节机制的一部分参与再神经支配。

https://cdn.ncbi.nlm.nih.gov/pmc/blobs/2759/12259659/4d494188590c/fncel-19-1619310-g001.jpg

文献AI研究员

20分钟写一篇综述,助力文献阅读效率提升50倍。

立即体验

用中文搜PubMed

大模型驱动的PubMed中文搜索引擎

马上搜索

文档翻译

学术文献翻译模型,支持多种主流文档格式。

立即体验