Suppr超能文献

黄嘌呤核苷通过减轻心肌细胞铁死亡来减轻心肌缺血再灌注损伤。

Xanthosine alleviates myocardial ischemia-reperfusion injury through attenuation of cardiomyocyte ferroptosis.

作者信息

Xu Yang, Zhou Wenfeng, Fan Zhongguo, Cheng Yiwei, Xiao Yujia, Liu Yu, Li Xinxin, Ji Zhenjun, Fan Yi, Ma Genshan

机构信息

Department of Cardiology, Zhongda Hospital, School of Medicine, Southeast University, Nanjing, China.

State Key Laboratory of Reproductive Medicine and Offspring Health, Nanjing Medical University, Nanjing, China.

出版信息

Cell Mol Biol Lett. 2025 Jul 28;30(1):93. doi: 10.1186/s11658-025-00766-y.

Abstract

BACKGROUND

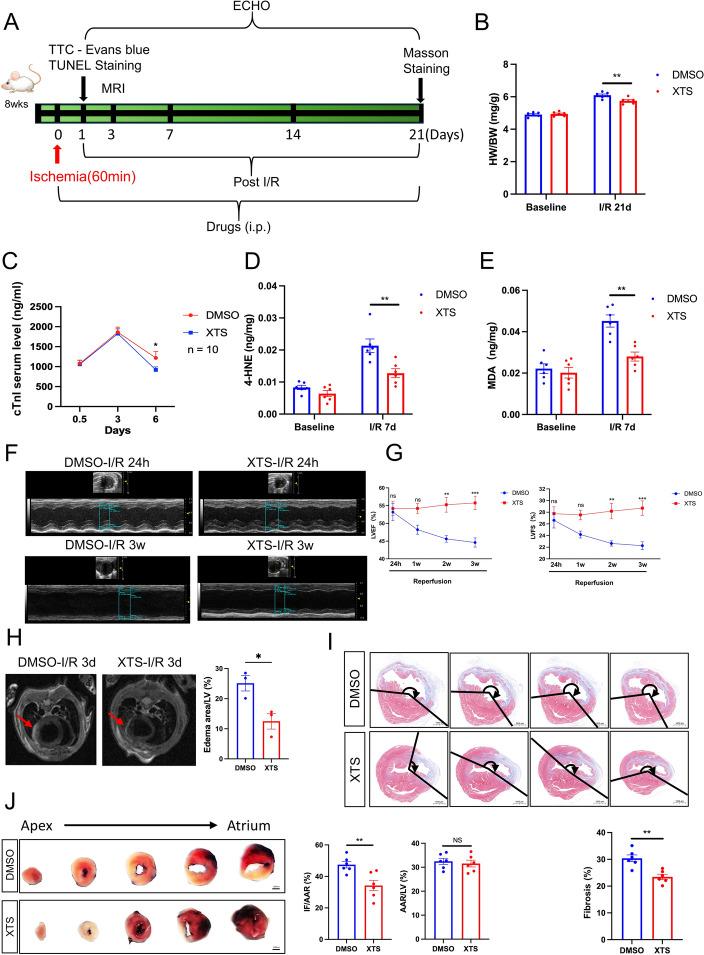
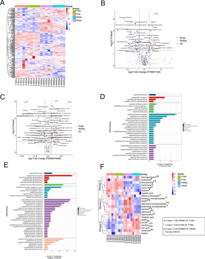
Ischemic heart disease remains a leading cause of morbidity and mortality worldwide, with myocardial ischemia-reperfusion (I/R) injury significantly contributing to cardiomyocyte death and poor outcomes post-acute myocardial infarction (AMI). Emerging evidence highlights metabolic changes during myocardial injury, particularly in purine metabolism. This study investigates the protective role of xanthosine (XTS), a purine metabolism intermediate, in alleviating I/R injury.

METHODS

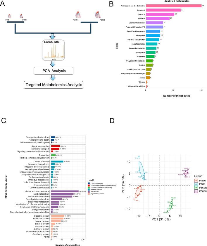
Neonatal and adult mouse myocardial tissues post-myocardial infarction (MI) were analyzed using untargeted and targeted metabolomics to explore metabolic profiles. The effects of XTS on I/R injury were evaluated in vivo using a murine I/R model and in vitro with hypoxia/reoxygenation-treated neonatal rat cardiomyocytes (NRCMs). Cardiac function, fibrosis, apoptosis, oxidative stress markers, and ferroptosis-related pathways were assessed via echocardiography, biochemical assays, western blotting, and electron microscopy. Integrated drug affinity responsive target stability (DARTS)-based drug target screening and RNA-seq transcriptomic profiling elucidate XTS-mediated mechanisms against I/R injury.

RESULTS

Metabolomics revealed distinct differences in purine metabolism between neonatal and adult mice post-MI, with significant XTS accumulation observed in neonatal hearts. In vivo, XTS treatment in adult mice enhanced left ventricular function, reduced fibrosis, and alleviated lipid peroxidation and mitochondrial damage post-I/R injury. In vitro, XTS significantly improved cardiomyocyte viability, reduced oxidative stress, and mitigated ferroptosis by restoring glutathione peroxidase 4 (GPX4) levels and reducing acyl-coenzyme A synthetase long-chain family member 4 (ACSL4) expression. Mechanistically, XTS stabilized metabolic enzymes, upregulated L-arginine and glutathione (GSH) to mitigate reactive oxygen species(ROS), and inhibited ferroptosis.

CONCLUSIONS

XTS, a key purine metabolism intermediate, improves cardiac remodeling and function following I/R injury by suppressing ferroptosis and reducing mitochondrial ROS production. These findings provide novel insights into the therapeutic potential of XTS as an adjunctive treatment for patients with AMI undergoing revascularization.

摘要

背景

缺血性心脏病仍然是全球发病和死亡的主要原因,心肌缺血再灌注(I/R)损伤是导致心肌细胞死亡和急性心肌梗死(AMI)后不良预后的重要因素。新出现的证据突显了心肌损伤期间的代谢变化,尤其是嘌呤代谢方面。本研究调查了嘌呤代谢中间体黄苷(XTS)在减轻I/R损伤中的保护作用。

方法

使用非靶向和靶向代谢组学分析心肌梗死后(MI)新生和成年小鼠的心肌组织,以探索代谢谱。在体内使用小鼠I/R模型,在体外使用缺氧/复氧处理的新生大鼠心肌细胞(NRCMs)评估XTS对I/R损伤的影响。通过超声心动图、生化分析、蛋白质印迹和电子显微镜评估心脏功能、纤维化、凋亡、氧化应激标志物和铁死亡相关途径。基于药物亲和力响应靶点稳定性(DARTS)的综合药物靶点筛选和RNA测序转录组分析阐明了XTS介导的抗I/R损伤机制。

结果

代谢组学揭示了MI后新生和成年小鼠嘌呤代谢的明显差异,在新生心脏中观察到显著的XTS积累。在体内,成年小鼠接受XTS治疗可增强左心室功能,减少纤维化,并减轻I/R损伤后的脂质过氧化和线粒体损伤。在体外,XTS通过恢复谷胱甘肽过氧化物酶4(GPX4)水平和降低酰基辅酶A合成酶长链家族成员4(ACSL4)表达,显著提高心肌细胞活力,降低氧化应激,并减轻铁死亡。从机制上讲,XTS稳定代谢酶,上调L-精氨酸和谷胱甘肽(GSH)以减轻活性氧(ROS),并抑制铁死亡。

结论

XTS作为嘌呤代谢的关键中间体,通过抑制铁死亡和减少线粒体ROS产生,改善I/R损伤后的心脏重塑和功能。这些发现为XTS作为接受血运重建的AMI患者辅助治疗的治疗潜力提供了新的见解。

https://cdn.ncbi.nlm.nih.gov/pmc/blobs/da74/12306105/7e49a7cff83d/11658_2025_766_Fig1_HTML.jpg

文献AI研究员

20分钟写一篇综述,助力文献阅读效率提升50倍。

立即体验

用中文搜PubMed

大模型驱动的PubMed中文搜索引擎

马上搜索

文档翻译

学术文献翻译模型,支持多种主流文档格式。

立即体验