Suppr超能文献

慢性淋巴细胞性淋巴瘤合并鸟分枝杆菌和尖端赛多孢菌感染

Chronic Lymphocytic Lymphoma Complicated by Mycobacterium Avium and Scedosporium Apiospermum.

作者信息

Sivasubramanian Dhiran, Kalyanasundaram Bala Vignesh, Palanisamy Nithish Nanda, Nagaraju Sivakumar

机构信息

Department of Cardiology, Children's Hospital of Philadelphia, Philadelphia, USA.

Department of Neurology, Mayo Clinic College of Medicine and Science, Phoenix/Scottsdale, USA.

出版信息

Eur J Case Rep Intern Med. 2025 Jul 17;12(8):005621. doi: 10.12890/2025_005621. eCollection 2025.

Abstract

INTRODUCTION

Chronic lymphocytic leukaemia (CLL), the most common adult leukaemia in Western countries, poses unique management challenges, particularly when complicated by opportunistic infections. This report presents a rare case of CLL with concurrent and infections-pathogens increasingly recognized for causing severe disease in immunocompromised individuals. Their coexistence highlights the need for heightened awareness of diverse infectious complications in CLL patients.

CASE DESCRIPTION

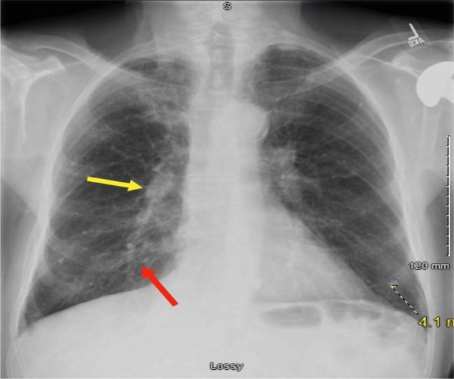
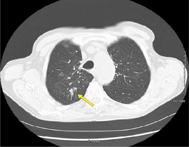
We present a case of a 78-year-old male with CLL receiving chemotherapy, who developed burning pain in the tongue and oral mucosa, accompanied by a non-productive cough. He was initially diagnosed with pneumonia, but further investigation revealed co-infection involving and .

DISCUSSION

The coexistence of and underscores the complexity of infectious complications in CLL. The patient's chemotherapy was halted due to active pneumonitis observed on imaging in order to improve his leukocyte count. Antifungal therapy was not initiated due to a lack of evidence of invasive fungal infection. Antimycobacterial therapy for complex was initiated.

CONCLUSION

This case highlights the necessity of a multidisciplinary approach and continued research to optimize management strategies and improve outcomes in CLL patients with dual infections.

LEARNING POINTS

A high index of suspicion is needed for rare infections, such as and , when typical symptoms are absent or mild in immunocompromised patients with chronic lymphocytic leukaemia.An individualized, evidence-based approach is needed in choosing the treatment for opportunistic organisms while withholding cancer therapy.

摘要

引言

慢性淋巴细胞白血病(CLL)是西方国家最常见的成人白血病,带来了独特的管理挑战,尤其是在并发机会性感染时。本报告介绍了一例罕见的CLL病例,同时感染了两种病原体,这些病原体越来越被认为会在免疫功能低下的个体中引发严重疾病。它们的共存凸显了提高对CLL患者多种感染并发症认识的必要性。

病例描述

我们报告一例78岁接受化疗的CLL男性患者,他出现舌部和口腔黏膜灼痛,并伴有干咳。他最初被诊断为肺炎,但进一步检查发现同时感染了两种病原体。

讨论

两种病原体的共存强调了CLL感染并发症的复杂性。由于影像学检查发现活动性肺炎,为了提高白细胞计数,患者的化疗被暂停。由于缺乏侵袭性真菌感染的证据,未开始抗真菌治疗。开始了针对复杂分枝杆菌感染的抗分枝杆菌治疗。

结论

本病例突出了多学科方法以及持续研究的必要性,以优化管理策略并改善双重感染的CLL患者的治疗结果。

经验教训

对于慢性淋巴细胞白血病免疫功能低下患者,当缺乏典型症状或症状轻微时,对于罕见感染如两种病原体感染,需要高度怀疑。在选择针对机会性病原体的治疗方法同时暂停癌症治疗时,需要采取个体化的、基于证据的方法。

https://cdn.ncbi.nlm.nih.gov/pmc/blobs/d137/12331267/45c292c36abf/5621_Fig1.jpg

文献AI研究员

20分钟写一篇综述,助力文献阅读效率提升50倍。

立即体验

用中文搜PubMed

大模型驱动的PubMed中文搜索引擎

马上搜索

文档翻译

学术文献翻译模型,支持多种主流文档格式。

立即体验