Suppr超能文献

TP63作为TP53突变型胶质母细胞瘤中铁死亡的调节因子。

TP63 as a modulator of ferroptosis in TP53 mutations glioblastoma.

作者信息

Cai Haiping, Yang Jiahao, Luo Feifei, Gan Wu, Li Yanwen, Zhang Liang, Ke Xueying, Wahafu Alafate, Dai Danian, Wang Peng, Zhou Dong

机构信息

Department of Neurosurgery, Guangdong Provincial People's Hospital (Guangdong Academy of Medical Sciences), Southern Medical University, Guangzhou, China.

Guangdong Cardiovascular Institute, Guangdong Provincial People's Hospital (Guangdong Academy of Medical Sciences), Southern Medical University, Guangzhou, China.

出版信息

Cell Death Dis. 2025 Aug 13;16(1):614. doi: 10.1038/s41419-025-07938-w.

Abstract

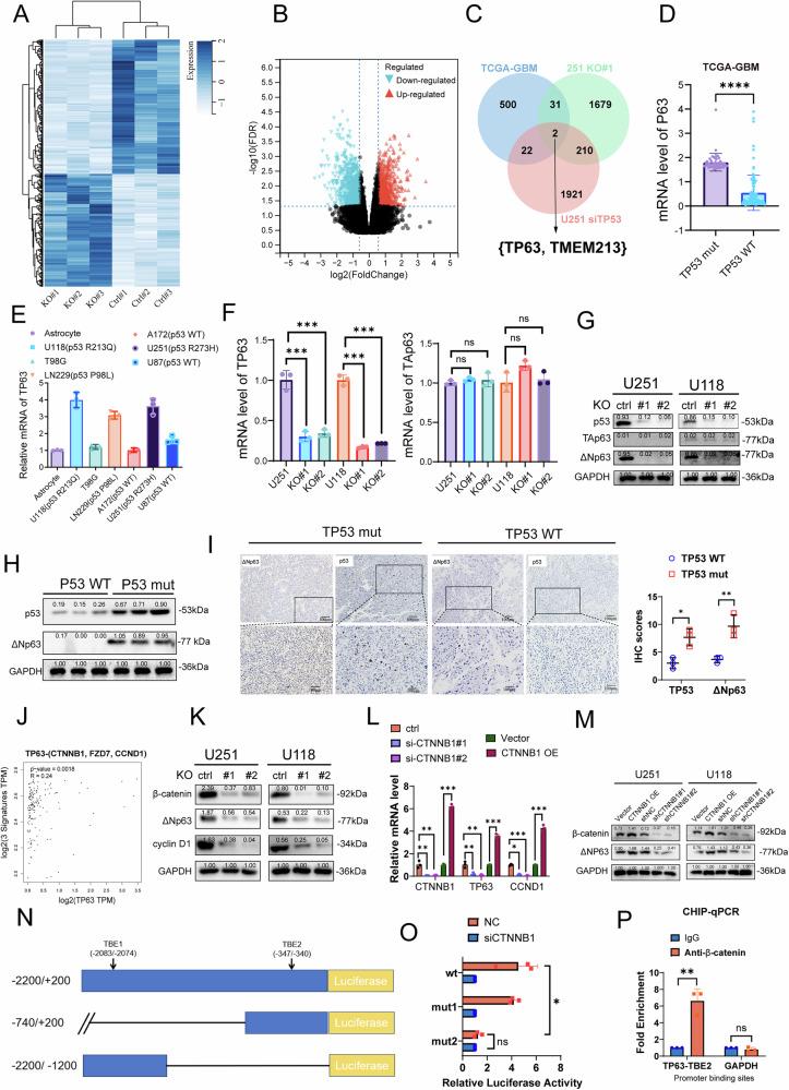
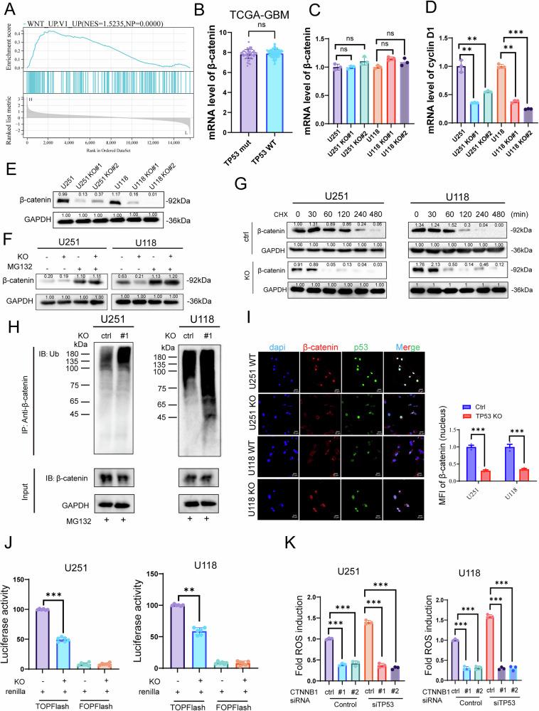
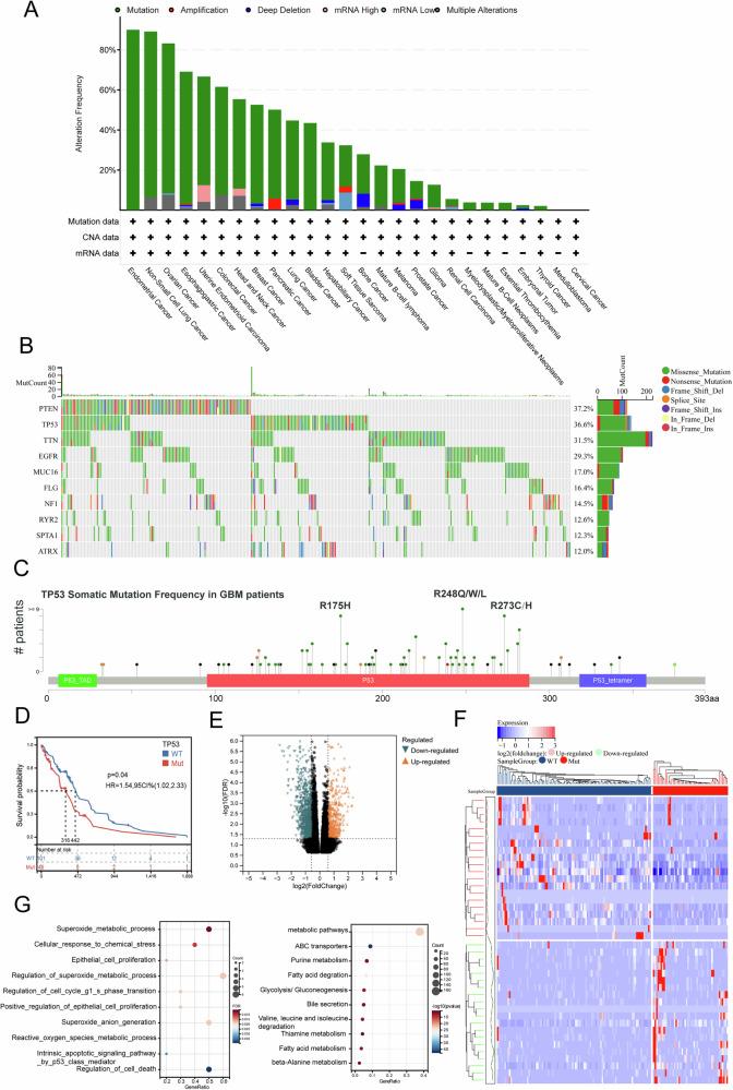
Glioblastoma (GBM) is a highly aggressive brain tumor with limited effective treatment options. Ferroptosis, a form of regulated cell death driven by iron-dependent lipid peroxidation, has emerged as a potential vulnerability in GBM, yet its regulatory mechanisms remain poorly defined. In this study, we investigated the impact of TP53 mutations on ferroptosis sensitivity and identified TP63 as a critical modulator in this process. Integrative transcriptomic and mutational analyses of GBM samples from The Cancer Genome Atlas (TCGA) revealed that TP53 mutations are associated with poor prognosis and altered expression of genes involved in iron homeostasis and glutathione metabolism. Notably, TP63 (mainly ΔNp63 isoform) expression was markedly upregulated in TP53-mutant GBM. Functional experiments demonstrated that TP63 suppresses ferroptosis by reducing reactive oxygen species (ROS) accumulation and lipid peroxidation. Mechanistic studies further showed that TP53 mutations activate the Wnt/β-catenin signaling pathway, leading to nuclear accumulation of β-catenin, which transcriptionally upregulates TP63. In turn, TP63 directly enhances GPX4 expression, a key inhibitor of ferroptosis. These findings define a novel TP53 mutation-Wnt/β-catenin-TP63-GPX4 signaling axis that promotes ferroptosis resistance in GBM and deepen our understanding of ferroptosis regulation in this malignancy.

摘要

胶质母细胞瘤(GBM)是一种侵袭性很强的脑肿瘤,有效的治疗选择有限。铁死亡是一种由铁依赖性脂质过氧化驱动的程序性细胞死亡形式,已成为GBM中的一个潜在弱点,但其调节机制仍不清楚。在本研究中,我们研究了TP53突变对铁死亡敏感性的影响,并确定TP63是这一过程中的关键调节因子。对来自癌症基因组图谱(TCGA)的GBM样本进行综合转录组和突变分析发现,TP53突变与预后不良以及铁稳态和谷胱甘肽代谢相关基因的表达改变有关。值得注意的是,TP63(主要是ΔNp63异构体)在TP53突变的GBM中表达明显上调。功能实验表明,TP63通过减少活性氧(ROS)积累和脂质过氧化来抑制铁死亡。机制研究进一步表明,TP53突变激活Wnt/β-连环蛋白信号通路,导致β-连环蛋白在细胞核中积累,从而转录上调TP63。反过来,TP63直接增强GPX4的表达,GPX4是铁死亡的关键抑制剂。这些发现定义了一种新的TP53突变-Wnt/β-连环蛋白-TP63-GPX4信号轴,该信号轴促进GBM中的铁死亡抗性,并加深了我们对这种恶性肿瘤中铁死亡调节机制的理解。

https://cdn.ncbi.nlm.nih.gov/pmc/blobs/7387/12343825/b870c2a530f4/41419_2025_7938_Fig1_HTML.jpg

文献AI研究员

20分钟写一篇综述,助力文献阅读效率提升50倍。

立即体验

用中文搜PubMed

大模型驱动的PubMed中文搜索引擎

马上搜索

文档翻译

学术文献翻译模型,支持多种主流文档格式。

立即体验