Suppr超能文献

异戊酰螺旋霉素I通过抑制胶质母细胞瘤中的卷曲蛋白-5/ Wnt/β-连环蛋白信号通路来重塑免疫抑制和耐替莫唑胺的微环境。

Isovalerylspiramycin I Reprograms the Immunosuppressive and Temozolomide-Resistant Microenvironment by Inhibiting the Frizzled-5/Wnt/β-Catenin Pathway in Glioblastoma.

作者信息

Luo Xin, Zhong Xiangyang, Zeng Tianci, Li Xiaodie, Yang Tao, Yue Qu, Lan Yufei, Chen Sui, Wang Zhao, Zhang Manqing, Zuo Boming, Wang Yuankai, Shen Yixiong, Lu Jiankun, Liu Boyang, Guo Hongbo

机构信息

Department of Neurosurgery, The National Key Clinical Specialty, The Engineering Technology Research Center of Education Ministry of China on Diagnosis and Treatment of Cerebrovascular Disease, Guangdong Provincial Key Laboratory on Brain Function Repair and Regeneration, The Neurosurgery Institute of Guangdong Province, Zhujiang Hospital, Southern Medical University, Guangzhou 510282, China.

Department of Neurosurgery, Department of Neuro-oncological Surgery, The National Key Clinical Specialty, The Engineering Technology Research Center of Education Ministry of China on Diagnosis and Treatment of Cerebrovascular Disease, Guangdong Provincial Key Laboratory on Brain Function Repair and Regeneration, The Neurosurgery Institute of Guangdong Province, Zhujiang Hospital, Southern Medical University, Guangzhou 510282, China.

出版信息

Research (Wash D C). 2025 Aug 13;8:0828. doi: 10.34133/research.0828. eCollection 2025.

Abstract

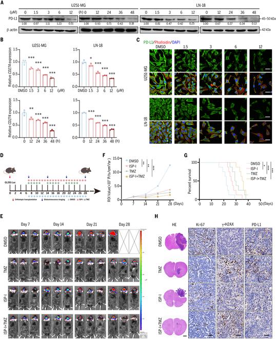
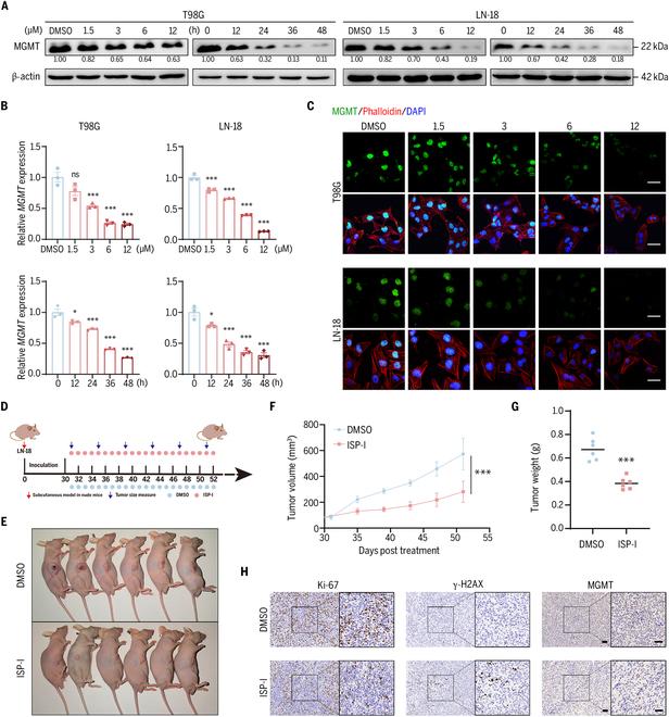
Glioblastoma (GBM), the most prevalent and lethal primary brain malignancy in adults, currently lacks treatment effective options. Repurposing existing pharmaceutical agents as novel therapeutic modalities represents a viable strategy for efficiently utilizing resources. Here, we demonstrated that Isovalerylspiramycin I (ISP-I), the active component of a novel macrolide antibiotic, exerts a synergistic effect with temozolomide (TMZ) to enhance anti-GBM efficacy. ISP-I potently induced cytotoxicity and apoptosis through the induction of DNA double-strand breaks. The synergistic activity (combination index < 1) was confirmed for ISP-I in combination with TMZ against GBM. Additionally, ISP-I was found to induce immunogenic cell death, as evidenced by increased adenosine triphosphate release and calreticulin exposure. In murine models, ISP-I increased tumor-infiltrating CD8 T cells, enhanced effector subsets, and reduced exhausted subsets. Mechanistically, ISP-I targeted the Frizzled-5 (FZD5)/Wnt/β-catenin signaling pathway, resulting in suppression of GSK-3β phosphorylation. This event subsequently increased β-catenin phosphorylation, reducing its translocation into the nucleus. Consequently, the binding of transcription factors (T-cell factor 1/lymphoid enhancer factor 1) to promoters of and O-methylguanine-DNA methyltransferase () was impeded, thereby enhancing GBM cell susceptibility to TMZ. These findings elucidate the mechanisms underlying ISP-I's therapeutic efficacy in GBM and provide essential evidence for its clinical translation and combinatorial therapeutic strategies.

摘要

胶质母细胞瘤(GBM)是成人中最常见且致命的原发性脑恶性肿瘤,目前缺乏有效的治疗选择。将现有药物重新用作新型治疗方式是有效利用资源的可行策略。在此,我们证明了新型大环内酯类抗生素的活性成分异戊酰螺旋霉素I(ISP-I)与替莫唑胺(TMZ)发挥协同作用,增强抗GBM疗效。ISP-I通过诱导DNA双链断裂有效诱导细胞毒性和凋亡。ISP-I与TMZ联合针对GBM的协同活性(联合指数<1)得到证实。此外,发现ISP-I诱导免疫原性细胞死亡,三磷酸腺苷释放增加和钙网蛋白暴露可证明这一点。在小鼠模型中,ISP-I增加肿瘤浸润性CD8 T细胞,增强效应子亚群,并减少耗竭亚群。从机制上讲,ISP-I靶向卷曲蛋白5(FZD5)/Wnt/β-连环蛋白信号通路,导致糖原合成酶激酶-3β(GSK-3β)磷酸化受到抑制。这一事件随后增加β-连环蛋白磷酸化,减少其向细胞核的转位。因此,转录因子(T细胞因子1/淋巴样增强因子1)与O-甲基鸟嘌呤-DNA甲基转移酶(MGMT)启动子的结合受到阻碍,从而增强GBM细胞对TMZ的敏感性。这些发现阐明了ISP-I在GBM中治疗疗效的潜在机制,并为其临床转化和联合治疗策略提供了重要证据。

https://cdn.ncbi.nlm.nih.gov/pmc/blobs/d49e/12349883/a3359788ceab/research.0828.fig.001.jpg

文献AI研究员

20分钟写一篇综述,助力文献阅读效率提升50倍。

立即体验

用中文搜PubMed

大模型驱动的PubMed中文搜索引擎

马上搜索

文档翻译

学术文献翻译模型,支持多种主流文档格式。

立即体验