Suppr超能文献

CRIF1基因疗法通过调节线粒体功能抑制辅助性T细胞17(TH17)和纤维化,从而改善炎症性肠病。

CRIF1 gene therapy ameliorates inflammatory bowel disease by suppressing TH17 cells and fibrosis through mitochondrial function regulation.

作者信息

Park Jin-Sil, Kang Hye Yeon, Jeong Ha Yeon, Yang SeungCheon, Choi JeongWon, Cho Sang Hee, Kim Sol, Lee Bo-In, Cho Mi-La

机构信息

Lab of Translational ImmunoMedicine, Catholic Research Institute of Medical Science, College of Medicine, The Catholic University of Korea, Seoul, Republic of Korea.

Department of Pathology, College of Medicine, The Catholic University of Korea, Seoul, Republic of Korea.

出版信息

Front Immunol. 2025 Jul 31;16:1618012. doi: 10.3389/fimmu.2025.1618012. eCollection 2025.

Abstract

BACKGROUND

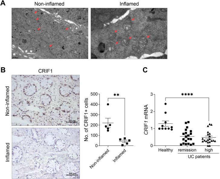
CR6-interacting factor 1 (CRIF1) is a nuclear transcriptional regulator and a mitochondrial inner membrane protein. Although serious modifications of the tissue architecture of the small intestine have been reported in CRIF1-deficient mice, how this may affect the development of inflammatory bowel disease (IBD) remains unclear. We investigated the effects of CRIF1 on mice with colitis.

METHODS

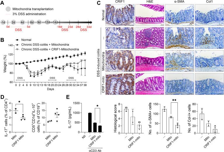
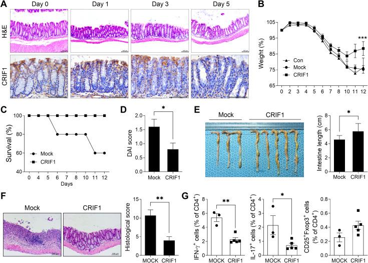
In DSS-induced colitis mice administered p3XFLAG-CMV-10-CRIF1, clinical symptoms were evaluated. Mitochondrial morphology in the intestinal tissues of colitis mice and UC patients was observed by electron microscopy. Level of CRIF1 in the splenic mitochondria of colitis mice or human PBMCs were investigated by western blot or real-time PCR, and the amount of IL-17 in the supernatant of healthy PBMCs co-cultured with CRIF1-overexpressing mitochondria was investigated by ELISA.

RESULTS

Overexpression of CRIF1 attenuated the severity of colitis, alleviated weight loss, and intestinal shortening. Moreover, overexpression of CRIF1 significantly reduced the levels of proinflammatory and necroptosis-related factors in colon and inhibited intestinal fibrosis. The intestines of these mice showed a reduced level of CRIF1 and altered mitochondrial morphology. Transplantation of CRIF1-overexpressed mitochondria into mice with colitis alleviated disease severity. Patients with ulcerative colitis exhibited decreased CRIF1 levels with dysfunctional mitochondria in inflamed colonic tissue. CRIF1-overexpressing mitochondria inhibited IL-17 production in PBMCs from healthy control.

CONCLUSION

Our findings demonstrate that CRIF1 alleviates IBD by suppressing inflammation and fibrosis by improving mitochondrial function. Improving mitochondrial function through CRIF1 may be a potential therapeutic strategy for IBD.

摘要

背景

CR6相互作用因子1(CRIF1)是一种核转录调节因子和线粒体内膜蛋白。尽管在CRIF1缺陷小鼠中已报道小肠组织结构有严重改变,但这如何影响炎症性肠病(IBD)的发展仍不清楚。我们研究了CRIF1对结肠炎小鼠的影响。

方法

在给予p3XFLAG-CMV-10-CRIF1的DSS诱导的结肠炎小鼠中,评估临床症状。通过电子显微镜观察结肠炎小鼠和UC患者肠道组织中的线粒体形态。通过蛋白质免疫印迹或实时PCR研究结肠炎小鼠脾线粒体或人外周血单个核细胞(PBMC)中CRIF1的水平,并用酶联免疫吸附测定法研究与过表达CRIF1的线粒体共培养的健康PBMC上清液中IL-17的量。

结果

CRIF1的过表达减轻了结肠炎的严重程度,缓解了体重减轻和肠道缩短。此外,CRIF1的过表达显著降低了结肠中促炎和坏死性凋亡相关因子的水平,并抑制了肠道纤维化。这些小鼠的肠道显示CRIF1水平降低且线粒体形态改变。将过表达CRIF1的线粒体移植到结肠炎小鼠中减轻了疾病严重程度。溃疡性结肠炎患者在发炎的结肠组织中表现出CRIF1水平降低且线粒体功能失调。过表达CRIF1的线粒体抑制了健康对照PBMC中IL-17的产生。

结论

我们的研究结果表明,CRIF1通过改善线粒体功能抑制炎症和纤维化来减轻IBD。通过CRIF1改善线粒体功能可能是IBD的一种潜在治疗策略。

https://cdn.ncbi.nlm.nih.gov/pmc/blobs/2ffa/12350146/321215f3d7bd/fimmu-16-1618012-g001.jpg

文献AI研究员

20分钟写一篇综述,助力文献阅读效率提升50倍。

立即体验

用中文搜PubMed

大模型驱动的PubMed中文搜索引擎

马上搜索

文档翻译

学术文献翻译模型,支持多种主流文档格式。

立即体验