Suppr超能文献

单细胞自发荧光成像揭示了中性粒细胞在生物系统中激活时的即时代谢变化。

Single cell autofluorescence imaging reveals immediate metabolic shifts of neutrophils with activation across biological systems.

作者信息

Datta Rupsa, Miskolci Veronika, Gallego-López Gina M, Britt Emily, Gillette Amani, Kralovec Aleksandr, Giese Morgan A, Qian Tongcheng, Votava James, Zhao Wenxuan, Fan Jing, Huttenlocher Anna, Skala Melissa C

机构信息

Morgridge Institute for Research, Madison, WI, United States.

Department of Medical Microbiology and Immunology, University of Wisconsin, Madison, WI, United States.

出版信息

Front Immunol. 2025 Aug 7;16:1617993. doi: 10.3389/fimmu.2025.1617993. eCollection 2025.

Abstract

INTRODUCTION

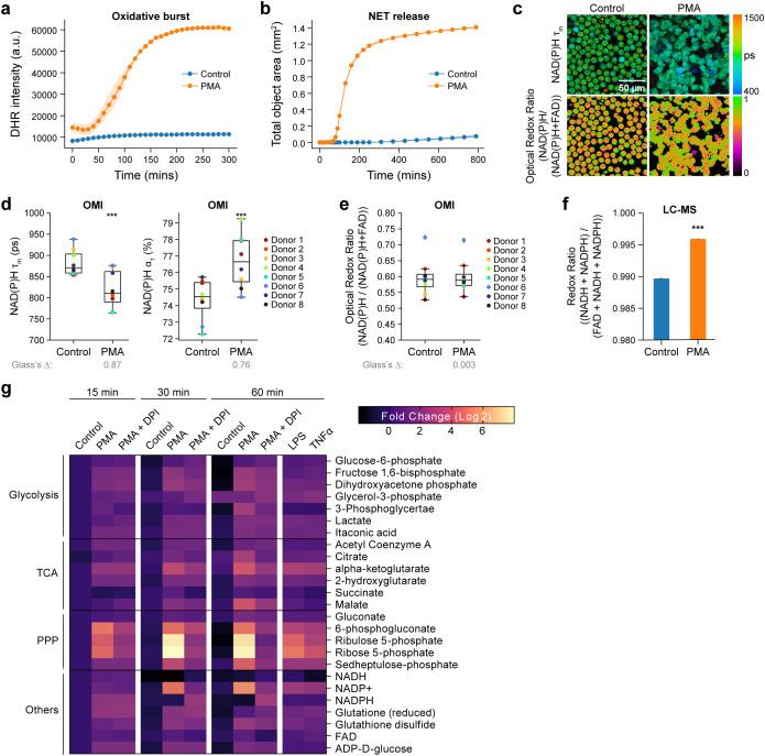
Neutrophils are critical innate immune cells that heterogeneously respond to infection and inflammation by performing functions such as oxidative burst and NETosis, which require significant metabolic adaptation. Deeper insights into the single cell diversity of such metabolic changes will help identify regulation of neutrophil functions in health and diseases. Due to their short lifespan and associated technical challenges, the early metabolic processes of neutrophil activation are not completely understood. New tools are needed to measure rapid changes in neutrophil metabolism on a single cell level.

METHODS

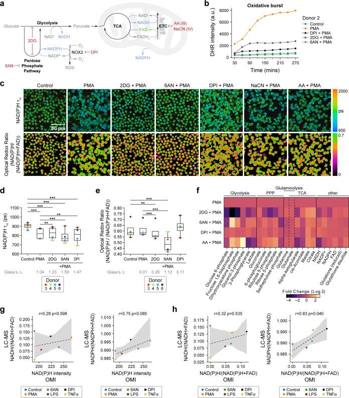
To address this, we use optical metabolic imaging (OMI), which entails optical redox ratio and fluorescence lifetime imaging microscopy of intrinsic metabolic coenzymes NAD(P)H and FAD to assess the metabolic state of single neutrophils. Primary human neutrophils were imaged under a variety of activation conditions and metabolic pathway inhibitors, while metabolic and functional changes were confirmed with mass spectrometry, oxidative burst, and NETosis measurements.

RESULTS

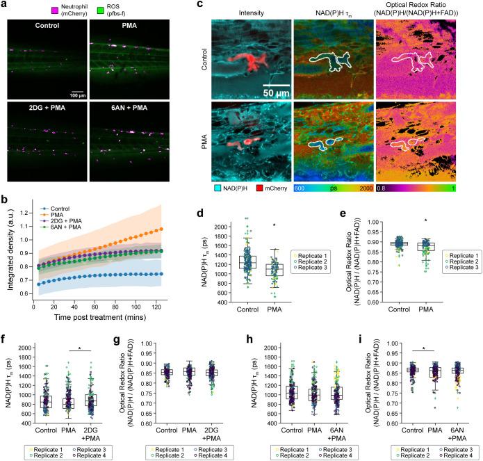
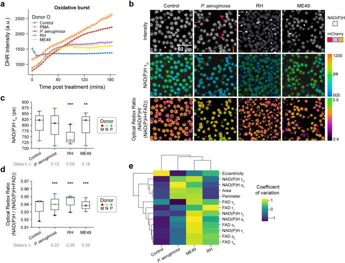
Our findings show rapid metabolic remodeling to a reduced redox state during activation. Additionally, heterogeneous metabolic response to pathogens ( and ) was observed across neutrophils and human donors. Finally, consistent OMI changes with activation were confirmed between human and zebrafish larvae neutrophils. This study demonstrates the potential of OMI as a versatile tool for studying neutrophil metabolism and underscores its use across different biological systems, offering insights into neutrophil metabolic activity and function at a single cell level.

CONCLUSION

This work addresses the critical need for advanced single-cell tools to monitor rapid and diverse metabolic changes in neutrophils, an underexplored area with significant implications for understanding immune responses and developing therapies for inflammatory diseases. Neutrophils, the body's first responders to infection and inflammation, undergo rapid metabolic changes upon activation. Using label-free optical metabolic imaging of intrinsic metabolic coenzymes NAD(P)H and FAD, we reveal distinct metabolic signatures in activated primary human neutrophils as well as neutrophils in live zebrafish larvae. Our findings highlight how pathogens and pharmacological stimuli heterogeneously rewire neutrophil metabolism within minutes, influencing immune responses. This noninvasive method offers insights into single-cell neutrophil metabolism immediately following activation, with implications for infection, inflammation, and immune disorders.

摘要

引言

中性粒细胞是关键的固有免疫细胞,通过执行氧化爆发和中性粒细胞胞外陷阱形成等功能对感染和炎症做出异质性反应,这些功能需要显著的代谢适应。对这种代谢变化的单细胞多样性有更深入的了解将有助于确定中性粒细胞在健康和疾病中的功能调节。由于其寿命短以及相关的技术挑战,中性粒细胞激活的早期代谢过程尚未完全了解。需要新的工具来在单细胞水平上测量中性粒细胞代谢的快速变化。

方法

为了解决这个问题,我们使用光学代谢成像(OMI),它需要对固有代谢辅酶NAD(P)H和FAD进行光学氧化还原比和荧光寿命成像显微镜检查,以评估单个中性粒细胞的代谢状态。在各种激活条件和代谢途径抑制剂下对原代人中性粒细胞进行成像,同时通过质谱、氧化爆发和中性粒细胞胞外陷阱形成测量来确认代谢和功能变化。

结果

我们的研究结果表明,激活过程中代谢迅速重塑为还原的氧化还原状态。此外,在中性粒细胞和人类供体中观察到对病原体(和)的异质性代谢反应。最后,在人类和斑马鱼幼虫中性粒细胞之间证实了与激活一致的OMI变化。这项研究证明了OMI作为研究中性粒细胞代谢的通用工具的潜力,并强调了其在不同生物系统中的应用,为单细胞水平上的中性粒细胞代谢活性和功能提供了见解。

结论

这项工作满足了对先进的单细胞工具的迫切需求,以监测中性粒细胞中快速且多样的代谢变化,这是一个未被充分探索的领域,对理解免疫反应和开发炎症性疾病的治疗方法具有重要意义。中性粒细胞是身体对感染和炎症的第一反应者,激活后会经历快速的代谢变化。通过对固有代谢辅酶NAD(P)H和FAD进行无标记光学代谢成像,我们揭示了活化的原代人中性粒细胞以及活斑马鱼幼虫中的中性粒细胞的独特代谢特征。我们的研究结果突出了病原体和药理刺激如何在几分钟内异质性地重塑中性粒细胞代谢,影响免疫反应。这种非侵入性方法为激活后立即的单细胞中性粒细胞代谢提供了见解,对感染、炎症和免疫紊乱具有重要意义。

https://cdn.ncbi.nlm.nih.gov/pmc/blobs/3589/12367685/43b8e80000bb/fimmu-16-1617993-g001.jpg

文献AI研究员

20分钟写一篇综述,助力文献阅读效率提升50倍。

立即体验

用中文搜PubMed

大模型驱动的PubMed中文搜索引擎

马上搜索

文档翻译

学术文献翻译模型,支持多种主流文档格式。

立即体验