Suppr超能文献

病例报告:在滤泡性淋巴瘤患者的抗CD20维持治疗期间,西莫特瑞韦/利托那韦可有效缩短新冠病毒2型(SARS-CoV-2)长期感染病程。

Case Report: Simnotrelvir/Ritonavir are effective in shortening the course of prolonged SARS-CoV-2 infection during anti-CD20 maintenance therapy in patients with follicular lymphoma.

作者信息

Yang Jing, Tu Shengke, Peng Hui, Peng Yuanyuan, Li Min, Song Kui

机构信息

Department of Hematology, The First Affiliated Hospital of Jishou University, Jishou, Hunan, China.

Department of Pharmacy, The First Affiliated Hospital of Jishou University, Jishou, Hunan, China.

出版信息

Front Oncol. 2025 Aug 13;15:1583932. doi: 10.3389/fonc.2025.1583932. eCollection 2025.

Abstract

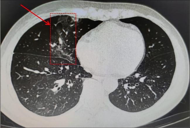
Patients with hematologic malignancy had the possibility of persistent infection with COVID-19, particularly those who received anti-CD20 monoclonal antibody therapy for lymphoma, regardless of vaccination status. We report two cases of follicular lymphoma (FL) infected with Omicron virus that could not be confirmed by routine SARS-CoV-2 tests during maintenance therapy with an anti-CD20 agent, obinutuzumab or rituximab. In addition to immunomodulatory drugs, both of them took Simnotrelvir/Ritonavir to effectively alleviate the symptoms. The aim is to highlight the complexity of SARS-CoV-2 infection and to discuss why it is easy to be infected with COVID-19 for a long time in this fragile patient population and the response to such patients with unexplained respiratory symptoms during maintenance therapy. Patients with hematologic malignancies treated with anti-CD20 agent are at considerable risk of a prolonged disease course and recurrence of COVID-19. Specialized prevention, diagnostic and therapeutic strategies should be developed for this group of patients.

摘要

血液系统恶性肿瘤患者有持续感染新冠病毒的可能性,尤其是那些接受抗CD20单克隆抗体治疗的淋巴瘤患者,无论其疫苗接种状况如何。我们报告了两例在使用抗CD20药物奥妥珠单抗或利妥昔单抗维持治疗期间感染奥密克戎病毒的滤泡性淋巴瘤(FL)病例,这些病例通过常规的新冠病毒检测无法确诊。除免疫调节药物外,两人均服用了奈玛特韦/利托那韦以有效缓解症状。目的是强调新冠病毒感染的复杂性,并讨论为何在这一脆弱患者群体中容易长期感染新冠病毒,以及在维持治疗期间对出现不明原因呼吸道症状的此类患者的应对措施。接受抗CD20药物治疗的血液系统恶性肿瘤患者有新冠病程延长和复发的相当大风险。应为这组患者制定专门的预防、诊断和治疗策略。

https://cdn.ncbi.nlm.nih.gov/pmc/blobs/3516/12380786/20656893111e/fonc-15-1583932-g001.jpg

文献AI研究员

20分钟写一篇综述,助力文献阅读效率提升50倍。

立即体验

用中文搜PubMed

大模型驱动的PubMed中文搜索引擎

马上搜索

文档翻译

学术文献翻译模型,支持多种主流文档格式。

立即体验