Suppr超能文献

三阴性浸润性小叶癌伴同步胃转移:一例报告。

Triple-negative invasive lobular carcinoma presenting with synchronous gastric metastasis: A case report.

作者信息

Zhu Liangxue, Xing Yajun, Wang Mingyun

机构信息

Department of Oncology, Nanjing Gaochun People's Hospital, Jiangsu, Nanjing 211300, P.R. China.

出版信息

Oncol Lett. 2025 Aug 25;30(5):496. doi: 10.3892/ol.2025.15242. eCollection 2025 Nov.

Abstract

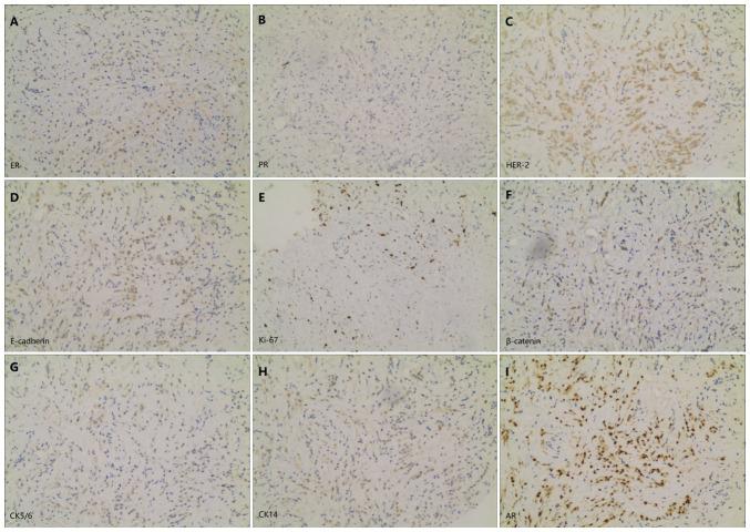
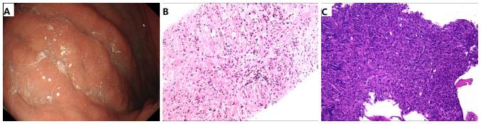
Triple-negative invasive lobular carcinoma (TN-ILC) is a rare and highly aggressive subtype of breast cancer. The development of gastric metastases in breast cancer is extremely rare and typically occurs several years after initial diagnosis. The present case report describes a 68-year-old postmenopausal female patient who presented with TN-ILC with gastric metastases at initial diagnosis. This metastatic pattern is very rare and is often mistaken for primary gastric cancer, which poses a notable diagnostic challenge. Imaging and histopathological analyses confirmed typical TN-ILC features (estrogen receptor negative, progesterone receptor negative and HER-2 1+ positive) and revealed diffuse metastases to the gastric wall, brain, bone, adrenal glands, pleura and lymph nodes. Gastric metastases from breast cancer were further confirmed by immunohistochemical studies, including for GATA binding protein 3, Villin and cytokeratin 7/20. It is noteworthy that the patient exhibited no gastrointestinal symptoms, which could have led to a missed diagnosis. The present case underscores the significance of a comprehensive evaluation in metastatic breast cancer.

摘要

三阴性浸润性小叶癌(TN-ILC)是一种罕见且侵袭性很强的乳腺癌亚型。乳腺癌发生胃转移极为罕见,通常在初次诊断数年后出现。本病例报告描述了一名68岁绝经后女性患者,初诊时即表现为伴有胃转移的TN-ILC。这种转移模式非常罕见,常被误诊为原发性胃癌,这带来了显著的诊断挑战。影像学和组织病理学分析证实了典型的TN-ILC特征(雌激素受体阴性、孕激素受体阴性和HER-2 1+阳性),并显示胃壁、脑、骨、肾上腺、胸膜和淋巴结有弥漫性转移。乳腺癌的胃转移通过免疫组织化学研究进一步得到证实,包括GATA结合蛋白3、绒毛蛋白和细胞角蛋白7/20检测。值得注意的是,该患者没有出现可能导致漏诊的胃肠道症状。本病例强调了对转移性乳腺癌进行综合评估的重要性。

https://cdn.ncbi.nlm.nih.gov/pmc/blobs/7260/12402849/772137b7a2c3/ol-30-05-15242-g00.jpg

文献AI研究员

20分钟写一篇综述,助力文献阅读效率提升50倍。

立即体验

用中文搜PubMed

大模型驱动的PubMed中文搜索引擎

马上搜索

文档翻译

学术文献翻译模型,支持多种主流文档格式。

立即体验