Suppr超能文献

碳离子放疗通过下调二氢乳清酸脱氢酶诱导铁死亡和M1巨噬细胞极化以抑制胃癌发展。

Carbon-ion radiotherapy induces ferroptosis and M1 macrophage polarization to inhibit the development of gastric cancer by downregulating DHODH.

作者信息

Wang Yue, Cai Hongyi

机构信息

First Clinical Medical School, Gansu University of Chinese Medicine, Lanzhou, Gansu Province, China.

出版信息

Front Med (Lausanne). 2025 Aug 22;12:1592116. doi: 10.3389/fmed.2025.1592116. eCollection 2025.

Abstract

BACKGROUND

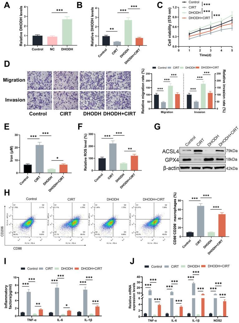
Carbon-ion radiotherapy (CIRT) is an advanced form of high linear energy transfer (LET) radiotherapy that has demonstrated superior biological effectiveness compared to conventional photon therapy in the treatment of various malignancies; however, its role in gastric cancer remains unclear. Dihydroorotate dehydrogenase (DHODH), a key enzyme implicated in cancer progression, has been linked to tumor radiosensitivity. This study aims to investigate whether CIRT inhibits gastric cancer progression via the regulation of DHODH.

METHODS

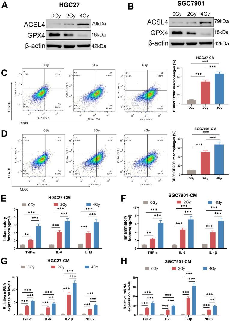
Human gastric cancer cell lines (HGC27, AGS) were treated with CIRT (0 Gy, 2 Gy, and 4 Gy). Cell viability, migration, and invasion were assessed with MTT and Transwell assays. Expression of ferroptosis-related markers and DHODH was evaluated using Western blotting and quantitative reverse transcription polymerase chain reaction (qRT-PCR). Macrophage polarization was assessed by flow cytometry after exposure to tumor-conditioned medium (CM). BALB/c nude mice were subcutaneously injected with AGS cells and randomly assigned to the control, CIRT, and DHODH+CIRT groups.

RESULTS

, CIRT suppressed DHODH expression and enhanced intracellular iron and reactive oxygen species (ROS) accumulation, promoting ferroptosis in gastric cancer cells. CM from irradiated cells increased the CD86CD206 macrophage population and upregulated M1-associated cytokines. , CIRT significantly reduced tumor growth in xenograft models, and this effect was attenuated by DHODH overexpression. Tumor tissues from the CIRT group exhibited increased ferroptosis marker ACSL4 and reduced GPX4 expression, consistent with findings.

CONCLUSION

These findings suggest that CIRT promotes ferroptosis and drives M1-like macrophage polarization through DHODH suppression. Targeting DHODH may enhance the therapeutic efficacy of CIRT in gastric cancer.

摘要

背景

碳离子放疗(CIRT)是一种先进的高传能线密度(LET)放疗形式,在治疗各种恶性肿瘤方面已显示出比传统光子疗法更高的生物学有效性;然而,其在胃癌治疗中的作用仍不明确。二氢乳清酸脱氢酶(DHODH)是一种与癌症进展相关的关键酶,与肿瘤放射敏感性有关。本研究旨在探讨CIRT是否通过调节DHODH来抑制胃癌进展。

方法

用人胃癌细胞系(HGC27、AGS)进行CIRT处理(0 Gy、2 Gy和4 Gy)。用MTT和Transwell实验评估细胞活力、迁移和侵袭能力。使用蛋白质免疫印迹法和定量逆转录聚合酶链反应(qRT-PCR)评估铁死亡相关标志物和DHODH的表达。暴露于肿瘤条件培养基(CM)后,通过流式细胞术评估巨噬细胞极化情况。将AGS细胞皮下注射到BALB/c裸鼠体内,并随机分为对照组、CIRT组和DHODH + CIRT组。

结果

CIRT抑制DHODH表达,增强细胞内铁和活性氧(ROS)积累,促进胃癌细胞发生铁死亡。照射后细胞的CM增加了CD86⁺CD206⁻巨噬细胞群体,并上调了M1相关细胞因子。CIRT显著降低了异种移植模型中的肿瘤生长,而DHODH过表达减弱了这种作用。CIRT组的肿瘤组织显示铁死亡标志物ACSL4增加,GPX4表达降低,与上述结果一致。

结论

这些发现表明,CIRT通过抑制DHODH促进铁死亡并驱动M1样巨噬细胞极化。靶向DHODH可能会提高CIRT在胃癌治疗中的疗效。

https://cdn.ncbi.nlm.nih.gov/pmc/blobs/db6d/12411497/eef1bda487a7/fmed-12-1592116-g001.jpg

文献AI研究员

20分钟写一篇综述,助力文献阅读效率提升50倍。

立即体验

用中文搜PubMed

大模型驱动的PubMed中文搜索引擎

马上搜索

文档翻译

学术文献翻译模型,支持多种主流文档格式。

立即体验