Suppr超能文献

脯氨酰异构酶Pin1在人表皮生长因子受体2(Her2)阳性乳腺癌中高表达,并调节erbB2蛋白的稳定性。

Prolyl isomerase Pin1 is highly expressed in Her2-positive breast cancer and regulates erbB2 protein stability.

作者信息

Lam Prudence B, Burga Laura N, Wu Bryan P, Hofstatter Erin W, Lu Kun Ping, Wulf Gerburg M

机构信息

Cancer Biology Program, Division of Hematology/Oncology, Department of Medicine, Beth Israel Deaconess Medical Center, Harvard Medical School, 330 Brookline Avenue, NRB 1030c, Boston, MA 02215, USA.

出版信息

Mol Cancer. 2008 Dec 15;7:91. doi: 10.1186/1476-4598-7-91.

Abstract

UNLABELLED

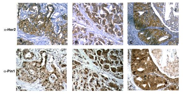
Overexpression of HER-2/Neu occurs in about 25-30% of breast cancer patients and is indicative of poor prognosis. While Her2/Neu overexpression is primarily a result of erbB2 amplification, it has recently been recognized that erbB2 levels are also regulated on the protein level. However, factors that regulate Her2/Neu protein stability are less well understood. The prolyl isomerase Pin1 catalyzes the isomerization of specific pSer/Thr-Pro motifs that have been phosphorylated in response to mitogenic signaling. We have previously reported that Pin1-catalyzed post-phosphorylational modification of signal transduction modulates the oncogenic pathways downstream from c-neu. The goal of this study was to examine the expression of prolyl isomerase Pin1 in human Her2+ breast cancer, and to study if Pin1 affects the expression of Her2/Neu itself.

METHODS

Immunohistochemistry for Her2 and Pin1 were performed on two hundred twenty-three human breast cancers, with 59% of the specimen from primary cancers and 41% from metastatic sites. Pin1 inhibition was achieved using siRNA in Her2+ breast cancer cell lines, and its effects were studied using cell viability assays, immunoblotting and immunofluorescence.

RESULTS

Sixty-four samples (28.7%) stained positive for Her2 (IHC 3+), and 54% (122/223) of all breast cancers stained positive for Pin1. Of the Her2-positive cancers 40 (62.5%) were also Pin1-positive, based on strong nuclear or nuclear and cytoplasmic staining. Inhibition of Pin1 via RNAi resulted in significant suppression of Her2-positive tumor cell growth in BT474, SKBR3 and AU565 cells. Pin1 inhibition greatly increased the sensitivity of Her2-positive breast cancer cells to the mTOR inhibitor Rapamycin, while it did not increase their sensitivity to Trastuzumab, suggesting that Pin1 might act on Her2 signaling. We found that Pin1 interacted with the protein complex that contains ubiquitinated erbB2 and that Pin1 inhibition accelerated erbB2 degradation, which could be prevented by treatments with the proteasome inhibitor ALLnL.

CONCLUSION

Pin1 is a novel regulator of erbB2 that modulates the ubiquitin-mediated degradation of erbB2. The overexpression of Pin1 in a majority of Her2-overexpressing breast cancer may contribute to maintain erbB2 levels. Pin1 inhibition alone and in conjunction with mTOR inhibition suppresses the growth of Her2+ breast cancer cells.

摘要

未标记

HER-2/Neu的过表达发生在约25%-30%的乳腺癌患者中,提示预后不良。虽然Her2/Neu过表达主要是erbB2扩增的结果,但最近人们认识到erbB2水平在蛋白质水平上也受到调控。然而,调控Her2/Neu蛋白质稳定性的因素尚不太清楚。脯氨酰异构酶Pin1催化特定pSer/Thr-Pro基序的异构化,这些基序在有丝分裂信号作用下发生了磷酸化。我们之前报道过,Pin1催化的信号转导磷酸化后修饰调节c-neu下游的致癌途径。本研究的目的是检测脯氨酰异构酶Pin1在人Her2+乳腺癌中的表达,并研究Pin1是否影响Her2/Neu自身的表达。

方法

对223例人类乳腺癌进行Her2和Pin1的免疫组织化学检测,其中59%的标本来自原发性癌,41%来自转移部位。在Her2+乳腺癌细胞系中使用小干扰RNA(siRNA)抑制Pin1,并通过细胞活力测定、免疫印迹和免疫荧光研究其作用效果。

结果

64个样本(28.7%)Her2染色呈阳性(免疫组化3+),所有乳腺癌中有54%(122/223)Pin1染色呈阳性。在Her2阳性癌中,基于强核染色或核及胞质染色,40个(62.5%)也为Pin1阳性。通过RNA干扰抑制Pin1可显著抑制BT474、SKBR3和AU565细胞中Her2阳性肿瘤细胞的生长。抑制Pin1可大大增加Her2阳性乳腺癌细胞对mTOR抑制剂雷帕霉素的敏感性,而对曲妥珠单抗的敏感性未增加,这表明Pin1可能作用于Her2信号通路。我们发现Pin1与含有泛素化erbB2的蛋白质复合物相互作用,抑制Pin1可加速erbB2降解,蛋白酶体抑制剂ALLnL处理可阻止这种降解。

结论

Pin1是erbB2的一种新型调节因子,可调节泛素介导的erbB2降解。在大多数Her2过表达的乳腺癌中Pin1的过表达可能有助于维持erbB2水平。单独抑制Pin1以及与抑制mTOR联合使用均可抑制Her2+乳腺癌细胞的生长。

https://cdn.ncbi.nlm.nih.gov/pmc/blobs/37a6/2632646/b88c6dbaf937/1476-4598-7-91-1.jpg

文献AI研究员

20分钟写一篇综述,助力文献阅读效率提升50倍。

立即体验

用中文搜PubMed

大模型驱动的PubMed中文搜索引擎

马上搜索

文档翻译

学术文献翻译模型,支持多种主流文档格式。

立即体验