Suppr超能文献

四氯化碳诱导肝纤维化的小鼠模型:组织病理学变化及 CD133 和表皮生长因子的表达。

Mouse model of carbon tetrachloride induced liver fibrosis: Histopathological changes and expression of CD133 and epidermal growth factor.

机构信息

Massachusetts General Hospital Cancer Center, Harvard Medical School, Boston, USA.

出版信息

BMC Gastroenterol. 2010 Jul 9;10:79. doi: 10.1186/1471-230X-10-79.

Abstract

BACKGROUND

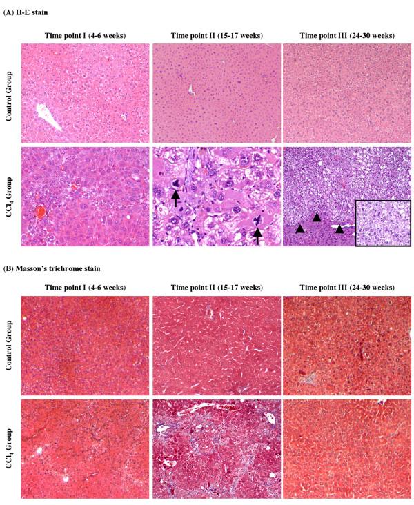
In the setting of chronic liver injury in humans, epidermal growth factor (EGF) and EGF receptor (EGFR) are up-regulated and have been proposed to have vital roles in both liver regeneration and development of hepatocellular carcinoma (HCC). Chronic liver injury also leads to hepatic stellate cell (HSC) differentiation and a novel subpopulation of HSCs which express CD133 and exhibit properties of progenitor cells has been described in rats. The carbon tetrachloride (CCl4)-induced mouse model has been historically relied upon to study liver injury and regeneration. We exposed mice to CCl4 to assess whether EGF and CD133+ HSCs are up-regulated in chronically injured liver.

METHODS

CCl4 in olive oil was administered to strain A/J mice three times per week by oral gavage.

RESULTS

Multiple well-differentiated HCCs were found in all livers after 15 weeks of CCl4 treatment. Notably, HCCs developed within the setting of fibrosis and not cirrhosis. CD133 was dramatically up-regulated after CCl4 treatment, and increased expression of desmin and glial fibrillary acidic protein, representative markers of HSCs, was also observed. EGF expression significantly decreased, contrary to observations in humans, whereas the expression of amphiregulin, another EGFR ligand, was significantly increased.

CONCLUSIONS

Species-specific differences exist with respect to the histopathological and molecular pathogenesis of chronic liver disease. CCl4-induced chronic liver injury in A/J mice has important differences compared to human cirrhosis leading to HCC.

摘要

背景

在人类慢性肝损伤的背景下,表皮生长因子(EGF)及其受体(EGFR)上调,并被认为在肝再生和肝细胞癌(HCC)的发展中具有重要作用。慢性肝损伤还导致肝星状细胞(HSC)分化,并在大鼠中描述了一种新型表达 CD133 并具有祖细胞特性的 HSC 亚群。四氯化碳(CCl4)诱导的小鼠模型一直被用于研究肝损伤和再生。我们用 CCl4 处理小鼠,以评估 EGF 和 CD133+HSCs 是否在慢性损伤的肝脏中上调。

方法

每周三次通过口服灌胃用橄榄油中的 CCl4 处理 A/J 小鼠。

结果

在 CCl4 治疗 15 周后,所有肝脏中均发现多个分化良好的 HCC。值得注意的是,HCC 是在纤维化而不是肝硬化的背景下发展的。CCl4 处理后 CD133 显著上调,并且还观察到 HSCs 的代表性标志物肌间蛋白和神经胶质纤维酸性蛋白的表达增加。EGF 的表达显著降低,与人类的观察结果相反,而另一种 EGFR 配体 amphiregulin 的表达则显著增加。

结论

在慢性肝病的组织病理学和分子发病机制方面存在种属特异性差异。与导致 HCC 的人类肝硬化相比,A/J 小鼠的 CCl4 诱导的慢性肝损伤具有重要差异。

https://cdn.ncbi.nlm.nih.gov/pmc/blobs/544d/2912240/fc5310890d0b/1471-230X-10-79-1.jpg

文献AI研究员

20分钟写一篇综述,助力文献阅读效率提升50倍。

立即体验

用中文搜PubMed

大模型驱动的PubMed中文搜索引擎

马上搜索

文档翻译

学术文献翻译模型,支持多种主流文档格式。

立即体验