Suppr超能文献

猫冠状病毒的诊断方法:综述

Diagnostic methods for feline coronavirus: a review.

作者信息

Sharif Saeed, Arshad Siti Suri, Hair-Bejo Mohd, Omar Abdul Rahman, Zeenathul Nazariah Allaudin, Alazawy Amer

机构信息

Department of Veterinary Pathology and Microbiology, Faculty of Veterinary Medicine, Universiti Putra Malaysia, Serdang, Selangor D. E. 43400, Malaysia.

出版信息

Vet Med Int. 2010 Jul 28;2010:809480. doi: 10.4061/2010/809480.

Abstract

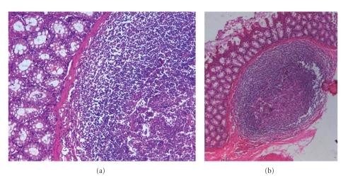
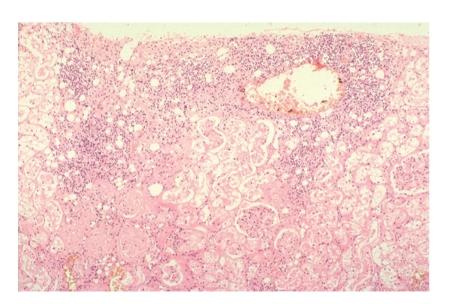
Feline coronaviruses (FCoVs) are found throughout the world. Infection with FCoV can result in a diverse range of signs from clinically inapparent infections to a highly fatal disease called feline infectious peritonitis (FIP). FIP is one of the most serious viral diseases of cats. While there is neither an effective vaccine, nor a curative treatment for FIP, a diagnostic protocol for FCoV would greatly assist in the management and control of the virus. Clinical findings in FIP are non-specific and not helpful in making a differential diagnosis. Haematological and biochemical abnormalities in FIP cases are also non-specific. The currently available serological tests have low specificity and sensitivity for detection of active infection and cross-react with FCoV strains of low pathogenicity, the feline enteric coronaviruses (FECV). Reverse transcriptase polymerase chain reaction (RT-PCR) has been used to detect FCoV and is rapid and sensitive, but results must be interpreted in the context of clinical findings. At present, a definitive diagnosis of FIP can be established only by histopathological examination of biopsies. This paper describes and compares diagnostic methods for FCoVs and includes a brief account of the virus biology, epidemiology, and pathogenesis.

摘要

猫冠状病毒(FCoVs)在全球范围内均有发现。感染FCoV可导致从临床无明显症状感染到一种名为猫传染性腹膜炎(FIP)的高度致命疾病等一系列不同症状。FIP是猫最严重的病毒性疾病之一。虽然既没有有效的疫苗,也没有针对FIP的治愈性治疗方法,但FCoV的诊断方案将极大地有助于该病毒的管理和控制。FIP的临床症状不具有特异性,对鉴别诊断没有帮助。FIP病例中的血液学和生化异常也不具有特异性。目前可用的血清学检测对检测活动性感染的特异性和敏感性较低,且与低致病性的FCoV毒株即猫肠道冠状病毒(FECV)发生交叉反应。逆转录聚合酶链反应(RT-PCR)已用于检测FCoV,且快速灵敏,但结果必须结合临床症状进行解读。目前,只有通过活检组织的组织病理学检查才能确诊FIP。本文描述并比较了FCoVs的诊断方法,并简要介绍了该病毒的生物学、流行病学和发病机制。

https://cdn.ncbi.nlm.nih.gov/pmc/blobs/f10f/2926681/0a73ab7712a1/VMI2010-809480.001.jpg

文献AI研究员

20分钟写一篇综述,助力文献阅读效率提升50倍。

立即体验

用中文搜PubMed

大模型驱动的PubMed中文搜索引擎

马上搜索

文档翻译

学术文献翻译模型,支持多种主流文档格式。

立即体验