Suppr超能文献

高致病性禽流感病毒,中华人民共和国。

Virulent avian infectious bronchitis virus, People's Republic of China.

机构信息

The Key Laboratory of Animal Epidemiology and Zoonosis, Ministry of Agriculture, China Agricultural University, Beijing, People’s Republic of China.

出版信息

Emerg Infect Dis. 2012 Dec;18(12):1994-2001. doi: 10.3201/eid1812.120552.

Abstract

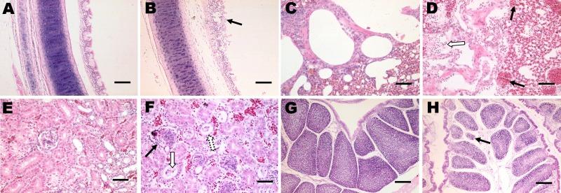
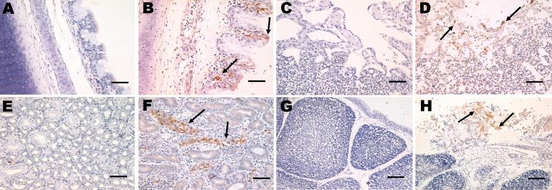
A virulent avian infectious bronchitis virus (IBV) was isolated from 30-day-old broiler chickens that exhibited respiratory symptoms, nephropathologic lesions, and a high proportion of deaths in the People's Republic of China during 2005. The strain, designated YN, was genetically and pathologically characterized. Phylogenetic analysis showed that YN and most of the previously characterized IBV isolates found in China were phylogenetically classified into 2 main genetic clusters. The YN isolate caused severe lesions and resulted in deaths of 65% in experimental infections of 30-day-old specific-pathogen-free chickens. Tracheal and severe kidney lesions developed in all infected birds, confirming the ability of YN strain to induce both respiratory and renal disease. IBV antigens were detected by immunohistochemical analysis in the trachea, lung, kidney, and bursa, consistent with histopathologic observations, virus isolation, and reverse transcription PCR detection. We showed that YN IBV exhibits severe pathogenicity in chickens, and that similar viruses are prevalent in China.

摘要

一株强毒鸡传染性支气管炎病毒(IBV)于 2005 年从中国的 30 日龄肉鸡中分离得到,这些肉鸡出现了呼吸道症状、肾脏病理损伤以及高死亡率。该病毒被命名为 YN 株,我们对其进行了遗传和病理学特征分析。系统进化分析显示,YN 株及其它中国分离的大部分 IBV 均被归为 2 个主要的遗传簇。YN 株可引起严重的病变,在 30 日龄 SPF 鸡的实验感染中可导致 65%的死亡率。所有感染鸡均出现气管和严重的肾脏病变,证实了 YN 株可同时引起呼吸道和肾脏疾病。免疫组织化学分析在气管、肺、肾和法氏囊中检测到了 IBV 抗原,与组织病理学观察、病毒分离和反转录 PCR 检测结果一致。我们表明,YN IBV 对鸡具有较强的致病性,且类似的病毒在中国广泛流行。

https://cdn.ncbi.nlm.nih.gov/pmc/blobs/9c21/3557894/02aa2d6f13df/12-0552-F1.jpg

文献AI研究员

20分钟写一篇综述,助力文献阅读效率提升50倍。

立即体验

用中文搜PubMed

大模型驱动的PubMed中文搜索引擎

马上搜索

文档翻译

学术文献翻译模型,支持多种主流文档格式。

立即体验