Suppr超能文献

作为非经典 ATM 信号传导的靶点和效应器的核心剪接体

The core spliceosome as target and effector of non-canonical ATM signalling.

作者信息

Tresini Maria, Warmerdam Daniël O, Kolovos Petros, Snijder Loes, Vrouwe Mischa G, Demmers Jeroen A A, van IJcken Wilfred F J, Grosveld Frank G, Medema René H, Hoeijmakers Jan H J, Mullenders Leon H F, Vermeulen Wim, Marteijn Jurgen A

机构信息

Department of Genetics, Cancer Genomics Netherlands, Erasmus University Medical Center, Rotterdam, 3015 CN, The Netherlands.

Division of Cell Biology, Netherlands Cancer Institute, Amsterdam, 1066 CX, The Netherlands.

出版信息

Nature. 2015 Jul 2;523(7558):53-8. doi: 10.1038/nature14512. Epub 2015 Jun 24.

Abstract

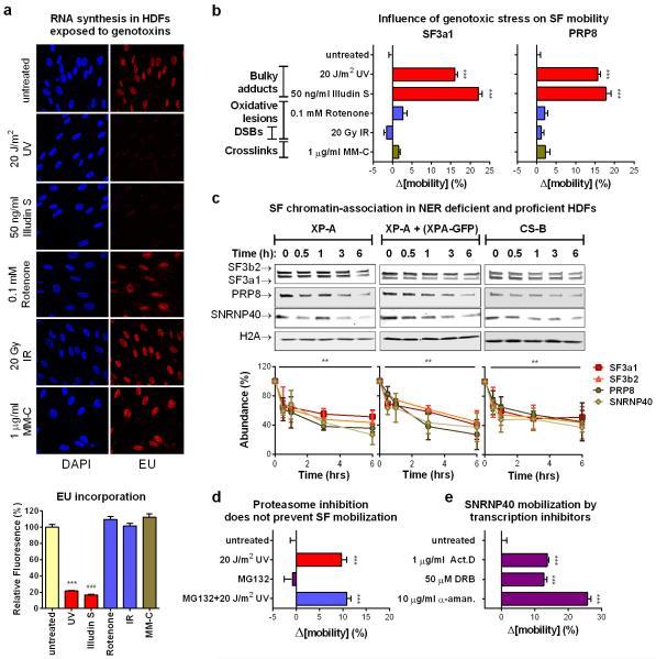
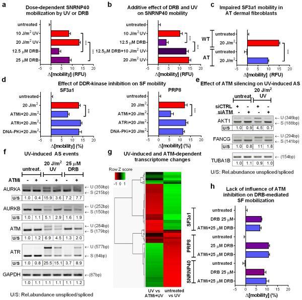
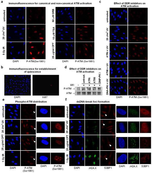
In response to DNA damage, tissue homoeostasis is ensured by protein networks promoting DNA repair, cell cycle arrest or apoptosis. DNA damage response signalling pathways coordinate these processes, partly by propagating gene-expression-modulating signals. DNA damage influences not only the abundance of messenger RNAs, but also their coding information through alternative splicing. Here we show that transcription-blocking DNA lesions promote chromatin displacement of late-stage spliceosomes and initiate a positive feedback loop centred on the signalling kinase ATM. We propose that initial spliceosome displacement and subsequent R-loop formation is triggered by pausing of RNA polymerase at DNA lesions. In turn, R-loops activate ATM, which signals to impede spliceosome organization further and augment ultraviolet-irradiation-triggered alternative splicing at the genome-wide level. Our findings define R-loop-dependent ATM activation by transcription-blocking lesions as an important event in the DNA damage response of non-replicating cells, and highlight a key role for spliceosome displacement in this process.

摘要

作为对DNA损伤的响应,通过促进DNA修复、细胞周期停滞或凋亡的蛋白质网络来确保组织稳态。DNA损伤应答信号通路部分通过传播调节基因表达的信号来协调这些过程。DNA损伤不仅影响信使RNA的丰度,还通过可变剪接影响其编码信息。在这里,我们表明,阻断转录的DNA损伤会促进后期剪接体的染色质移位,并启动以信号激酶ATM为中心的正反馈回路。我们提出,最初的剪接体移位和随后的R环形成是由RNA聚合酶在DNA损伤处的暂停触发的。反过来,R环激活ATM,ATM发出信号进一步阻碍剪接体的组装,并在全基因组水平上增强紫外线照射引发的可变剪接。我们的研究结果将由阻断转录的损伤引起的R环依赖性ATM激活定义为非复制细胞DNA损伤应答中的一个重要事件,并突出了剪接体移位在这一过程中的关键作用。

https://cdn.ncbi.nlm.nih.gov/pmc/blobs/8fa1/4501432/5a48ed5c0dd9/emss-63419-f0001.jpg

文献AI研究员

20分钟写一篇综述,助力文献阅读效率提升50倍。

立即体验

用中文搜PubMed

大模型驱动的PubMed中文搜索引擎

马上搜索

文档翻译

学术文献翻译模型,支持多种主流文档格式。

立即体验