Suppr超能文献

口腔白斑和口腔鳞状细胞癌中血小板源性生长因子受体β的评估。 (注:你原文中的“Podoplanin”疑有误,可能是“PDPN”即血小板源性生长因子受体β,按照正确的来翻译了,若不是请自行调整。)

Evaluation of Podoplanin in Oral Leukoplakia and Oral Squamous Cell Carcinoma.

作者信息

Patil Ashok, Patil Kishor, Tupsakhare Suyog, Gabhane Mahesh, Sonune Shrikant, Kandalgaonkar Shilpa

机构信息

Department of Oral Pathology and Microbiology, SMBT Dental College and Hospital, Sangamner, Maharashtra 422608, India.

出版信息

Scientifica (Cairo). 2015;2015:135298. doi: 10.1155/2015/135298. Epub 2015 Oct 8.

Abstract

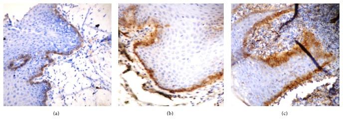
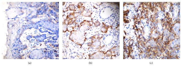
Background. Recent studies have demonstrated that podoplanin was expressed in some dysplastic lesions adjacent to primary oral cancers suggesting that podoplanin expression may occur in early oral tumorigenesis and lymphangiogenesis and therefore is related to tumor growth. The purpose of this study is to determine the role of podoplanin as a biomarker for cancer risk assessment in oral leukoplakia and correlation of podoplanin expression with grades of oral squamous cell carcinoma (OSCC). Materials and Methods. In the present retrospective study, podoplanin expression was investigated immunohistochemically in 40 patients each of oral leukoplakia and OSCC. The scores were analyzed statistically using one-way ANOVA test followed by Tukey HSD. Results. By applying one-way ANOVA test, there was a highly significant increase of the podoplanin expression from mild to severe dysplasia and from well to poorly differentiated OSCC (P < 0.01). Statistically highly significant difference was present between scores of mild to moderate dysplasia, moderate to severe dysplasia, well to poorly differentiated OSCC, and moderately to poorly differentiated OSCC (Tukey HSD test, P < 0.01). Conclusion. Podoplanin can be used as a biomarker for early oral tumorigenesis and for malignant transformation risk assessment of premalignant lesions and as a tumor progression biomarker for advanced grades of OSCC.

摘要

背景。近期研究表明,在原发性口腔癌附近的一些发育异常病变中表达了血小板源性生长因子,这表明血小板源性生长因子的表达可能发生在口腔肿瘤发生和淋巴管生成的早期,因此与肿瘤生长相关。本研究的目的是确定血小板源性生长因子作为口腔白斑癌风险评估生物标志物的作用,以及血小板源性生长因子表达与口腔鳞状细胞癌(OSCC)分级的相关性。材料与方法。在本回顾性研究中,对40例口腔白斑患者和40例OSCC患者进行免疫组织化学检测血小板源性生长因子的表达。使用单因素方差分析检验,随后进行Tukey HSD检验对得分进行统计学分析。结果。通过应用单因素方差分析检验,从轻度发育异常到重度发育异常以及从高分化OSCC到低分化OSCC,血小板源性生长因子的表达有极显著增加(P < 0.01)。在轻度至中度发育异常、中度至重度发育异常、高分化至低分化OSCC以及中度至低分化OSCC的得分之间存在统计学上的极显著差异(Tukey HSD检验,P < 0.01)。结论。血小板源性生长因子可作为口腔肿瘤发生早期、癌前病变恶性转化风险评估的生物标志物,以及高分级OSCC肿瘤进展的生物标志物。

https://cdn.ncbi.nlm.nih.gov/pmc/blobs/1ba6/4618324/24135bcb956b/SCIENTIFICA2015-135298.001.jpg

文献AI研究员

20分钟写一篇综述,助力文献阅读效率提升50倍。

立即体验

用中文搜PubMed

大模型驱动的PubMed中文搜索引擎

马上搜索

文档翻译

学术文献翻译模型,支持多种主流文档格式。

立即体验