Suppr超能文献

人类IFIT1抑制腮腺炎病毒属病毒的mRNA翻译,但不抑制副粘病毒科其他成员的mRNA翻译。

Human IFIT1 Inhibits mRNA Translation of Rubulaviruses but Not Other Members of the Paramyxoviridae Family.

作者信息

Young D F, Andrejeva J, Li X, Inesta-Vaquera F, Dong C, Cowling V H, Goodbourn S, Randall R E

机构信息

School of Biology, Centre for Biomolecular Sciences, University of St. Andrews, St. Andrews, Fife, United Kingdom.

Norwich Medical School, University of East Anglia, Norwich Research Park, Norwich, United Kingdom.

出版信息

J Virol. 2016 Sep 29;90(20):9446-56. doi: 10.1128/JVI.01056-16. Print 2016 Oct 15.

Abstract

UNLABELLED

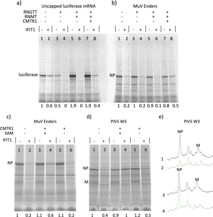
We have previously shown that IFIT1 is primarily responsible for the antiviral action of interferon (IFN) alpha/beta against parainfluenza virus type 5 (PIV5), selectively inhibiting the translation of PIV5 mRNAs. Here we report that while PIV2, PIV5, and mumps virus (MuV) are sensitive to IFIT1, nonrubulavirus members of the paramyxoviridae such as PIV3, Sendai virus (SeV), and canine distemper virus (CDV) are resistant. The IFIT1 sensitivity of PIV5 was not rescued by coinfection with an IFIT1-resistant virus (PIV3), demonstrating that PIV3 does not specifically inhibit the antiviral activity of IFIT1 and that the inhibition of PIV5 mRNAs is regulated by cis-acting elements. We developed an in vitro translation system using purified human IFIT1 to further investigate the mechanism of action of IFIT1. While the translations of PIV2, PIV5, and MuV mRNAs were directly inhibited by IFIT1, the translations of PIV3, SeV, and CDV mRNAs were not. Using purified human mRNA-capping enzymes, we show biochemically that efficient inhibition by IFIT1 is dependent upon a 5' guanosine nucleoside cap (which need not be N7 methylated) and that this sensitivity is partly abrogated by 2'O methylation of the cap 1 ribose. Intriguingly, PIV5 M mRNA, in contrast to NP mRNA, remained sensitive to inhibition by IFIT1 following in vitro 2'O methylation, suggesting that other structural features of mRNAs may influence their sensitivity to IFIT1. Thus, surprisingly, the viral polymerases (which have 2'-O-methyltransferase activity) of rubulaviruses do not protect these viruses from inhibition by IFIT1. Possible biological consequences of this are discussed.

IMPORTANCE

Paramyxoviruses cause a wide variety of diseases, and yet most of their genes encode structural proteins and proteins involved in their replication cycle. Thus, the amount of genetic information that determines the type of disease that paramyxoviruses cause is relatively small. One factor that will influence disease outcomes is how they interact with innate host cell defenses, including the interferon (IFN) system. Here we show that different paramyxoviruses interact in distinct ways with cells in a preexisting IFN-induced antiviral state. Strikingly, all the rubulaviruses tested were sensitive to the antiviral action of ISG56/IFIT1, while all the other paramyxoviruses tested were resistant. We developed novel in vitro biochemical assays to investigate the mechanism of action of IFIT1, demonstrating that the mRNAs of rubulaviruses can be directly inhibited by IFIT1 and that this is at least partially because their mRNAs are not correctly methylated.

摘要

未标记

我们之前已经表明,IFIT1主要负责干扰素(IFN)α/β对5型副流感病毒(PIV5)的抗病毒作用,选择性抑制PIV5 mRNA的翻译。在此我们报告,虽然PIV2、PIV5和腮腺炎病毒(MuV)对IFIT1敏感,但副粘病毒科的非风疹病毒成员,如PIV3、仙台病毒(SeV)和犬瘟热病毒(CDV)具有抗性。用对IFIT1有抗性的病毒(PIV3)共感染并不能挽救PIV5对IFIT1的敏感性,这表明PIV3不会特异性抑制IFIT1的抗病毒活性,且对PIV5 mRNA的抑制是由顺式作用元件调控的。我们开发了一种使用纯化的人IFIT1的体外翻译系统,以进一步研究IFIT1的作用机制。虽然PIV2、PIV5和MuV mRNA的翻译被IFIT1直接抑制,但PIV3、SeV和CDV mRNA的翻译则未受影响。使用纯化的人mRNA加帽酶,我们通过生化方法表明,IFIT1的有效抑制依赖于5'鸟苷核苷帽(不一定是N7甲基化的),并且帽1核糖的2'O甲基化会部分消除这种敏感性。有趣的是,与NP mRNA相比,体外2'O甲基化后PIV5 M mRNA对IFIT1的抑制仍保持敏感,这表明mRNA的其他结构特征可能会影响它们对IFIT1的敏感性。因此,令人惊讶的是,风疹病毒的病毒聚合酶(具有2'-O-甲基转移酶活性)并不能保护这些病毒免受IFIT1的抑制。本文讨论了这种情况可能产生的生物学后果。

重要性

副粘病毒会引发多种疾病,然而它们的大多数基因编码结构蛋白和参与其复制周期的蛋白。因此,决定副粘病毒所引发疾病类型的遗传信息量相对较少。一个会影响疾病结果的因素是它们如何与宿主细胞的固有防御机制相互作用,包括干扰素(IFN)系统。在此我们表明,不同的副粘病毒与处于预先存在的IFN诱导抗病毒状态的细胞以不同方式相互作用。引人注目的是,所有测试的风疹病毒对ISG56/IFIT1的抗病毒作用敏感,而所有其他测试的副粘病毒具有抗性。我们开发了新的体外生化测定法来研究IFIT1的作用机制,证明风疹病毒的mRNA可被IFIT1直接抑制,且这至少部分是因为它们的mRNA没有正确甲基化。

https://cdn.ncbi.nlm.nih.gov/pmc/blobs/6da5/5044818/e22790c54dd9/zjv9991820290001.jpg

文献AI研究员

20分钟写一篇综述,助力文献阅读效率提升50倍。

立即体验

用中文搜PubMed

大模型驱动的PubMed中文搜索引擎

马上搜索

文档翻译

学术文献翻译模型,支持多种主流文档格式。

立即体验