Suppr超能文献

多梳染色质修饰物通过不同的 DNA 损伤和组蛋白甲基化依赖途径调控细胞衰老。

Regulation of Cellular Senescence by Polycomb Chromatin Modifiers through Distinct DNA Damage- and Histone Methylation-Dependent Pathways.

机构信息

Department of Molecular Biology, Cell Biology and Biochemistry, Brown University, Providence, RI 02912, USA.

Center for Computational Molecular Biology, Brown University, Providence, RI 02912, USA.

出版信息

Cell Rep. 2018 Mar 27;22(13):3480-3492. doi: 10.1016/j.celrep.2018.03.002.

Abstract

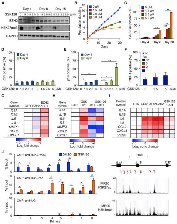
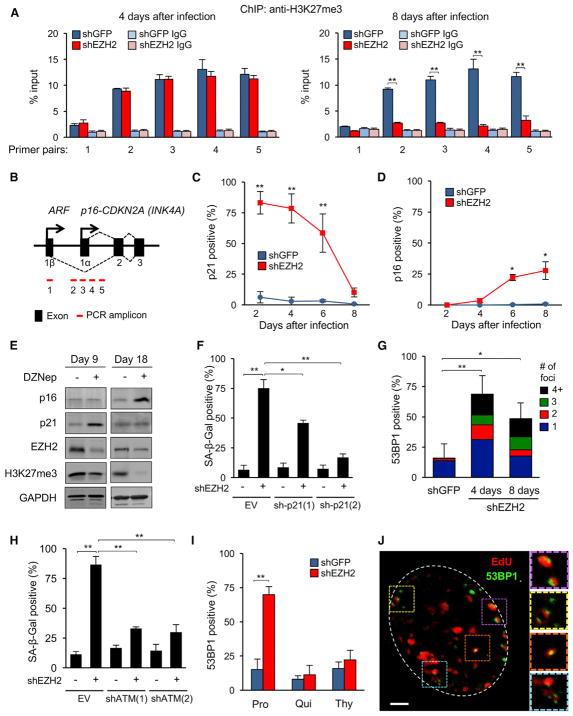
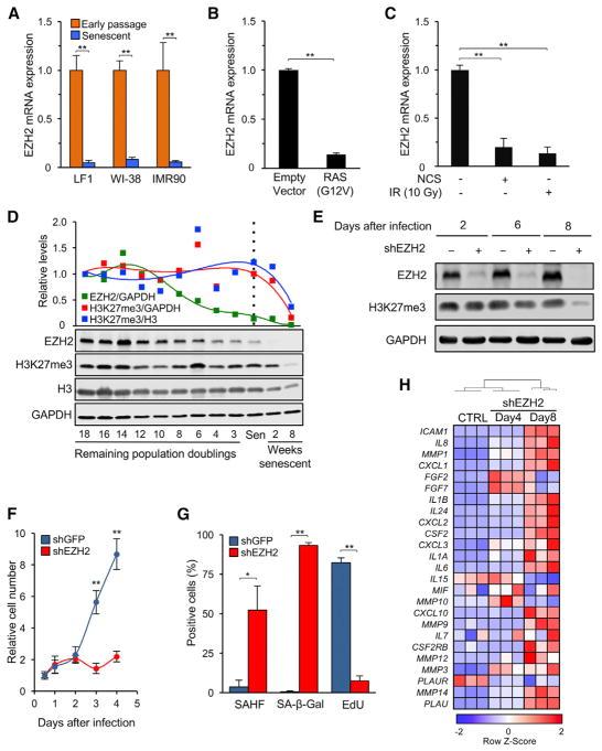
Polycomb group (PcG) factors maintain facultative heterochromatin and mediate many important developmental and differentiation processes. EZH2, a PcG histone H3 lysine-27 methyltransferase, is repressed in senescent cells. We show here that downregulation of EZH2 promotes senescence through two distinct mechanisms. First, depletion of EZH2 in proliferating cells rapidly initiates a DNA damage response prior to a reduction in the levels of H3K27me3 marks. Second, the eventual loss of H3K27me3 induces p16 (CDKN2A) gene expression independent of DNA damage and potently activates genes of the senescence-associated secretory phenotype (SASP). The progressive depletion of H3K27me3 marks can be viewed as a molecular "timer" to provide a window during which cells can repair DNA damage. EZH2 is regulated transcriptionally by WNT and MYC signaling and posttranslationally by DNA damage-triggered protein turnover. These mechanisms provide insights into the processes that generate senescent cells during aging.

摘要

多梳抑制复合物(PcG)因子维持着兼性异染色质,并介导许多重要的发育和分化过程。EZH2 是 PcG 组蛋白 H3 赖氨酸-27 甲基转移酶,在衰老细胞中受到抑制。我们在这里表明,EZH2 的下调通过两种不同的机制促进衰老。首先,在 H3K27me3 标记水平降低之前,增殖细胞中 EZH2 的耗竭迅速引发 DNA 损伤反应。其次,最终失去 H3K27me3 会诱导 p16(CDKN2A)基因表达,而不依赖于 DNA 损伤,并强力激活衰老相关分泌表型(SASP)的基因。H3K27me3 标记的逐渐耗竭可以被视为一个分子“定时器”,为细胞提供一个修复 DNA 损伤的窗口。EZH2 受到 WNT 和 MYC 信号的转录调控以及 DNA 损伤触发的蛋白周转的翻译后调控。这些机制为衰老过程中产生衰老细胞的过程提供了深入的了解。

https://cdn.ncbi.nlm.nih.gov/pmc/blobs/bdfc/5915310/c64fbe45ff22/nihms957801f1.jpg

文献AI研究员

20分钟写一篇综述,助力文献阅读效率提升50倍。

立即体验

用中文搜PubMed

大模型驱动的PubMed中文搜索引擎

马上搜索

文档翻译

学术文献翻译模型,支持多种主流文档格式。

立即体验