Suppr超能文献

SARS-CoV-2 感染后口咽后唾液样本和血清抗体反应中的病毒载量时间特征:一项观察性队列研究。

Temporal profiles of viral load in posterior oropharyngeal saliva samples and serum antibody responses during infection by SARS-CoV-2: an observational cohort study.

机构信息

State Key Laboratory for Emerging Infectious Diseases, Carol Yu Centre for Infection, Department of Microbiology, Li Ka Shing Faculty of Medicine, The University of Hong Kong, Pokfulam, Hong Kong Special Administrative Region, China; Department of Clinical Microbiology and Infection Control, The University of Hong Kong-Shenzhen Hospital, Shenzhen, China.

Department of Medicine and Geriatrics, Princess Margaret Hospital, Hong Kong Special Administrative Region, China.

出版信息

Lancet Infect Dis. 2020 May;20(5):565-574. doi: 10.1016/S1473-3099(20)30196-1. Epub 2020 Mar 23.

Abstract

BACKGROUND

Coronavirus disease 2019 (COVID-19) causes severe community and nosocomial outbreaks. Comprehensive data for serial respiratory viral load and serum antibody responses from patients infected with severe acute respiratory syndrome coronavirus 2 (SARS-CoV-2) are not yet available. Nasopharyngeal and throat swabs are usually obtained for serial viral load monitoring of respiratory infections but gathering these specimens can cause discomfort for patients and put health-care workers at risk. We aimed to ascertain the serial respiratory viral load of SARS-CoV-2 in posterior oropharyngeal (deep throat) saliva samples from patients with COVID-19, and serum antibody responses.

METHODS

We did a cohort study at two hospitals in Hong Kong. We included patients with laboratory-confirmed COVID-19. We obtained samples of blood, urine, posterior oropharyngeal saliva, and rectal swabs. Serial viral load was ascertained by reverse transcriptase quantitative PCR (RT-qPCR). Antibody levels against the SARS-CoV-2 internal nucleoprotein (NP) and surface spike protein receptor binding domain (RBD) were measured using EIA. Whole-genome sequencing was done to identify possible mutations arising during infection.

FINDINGS

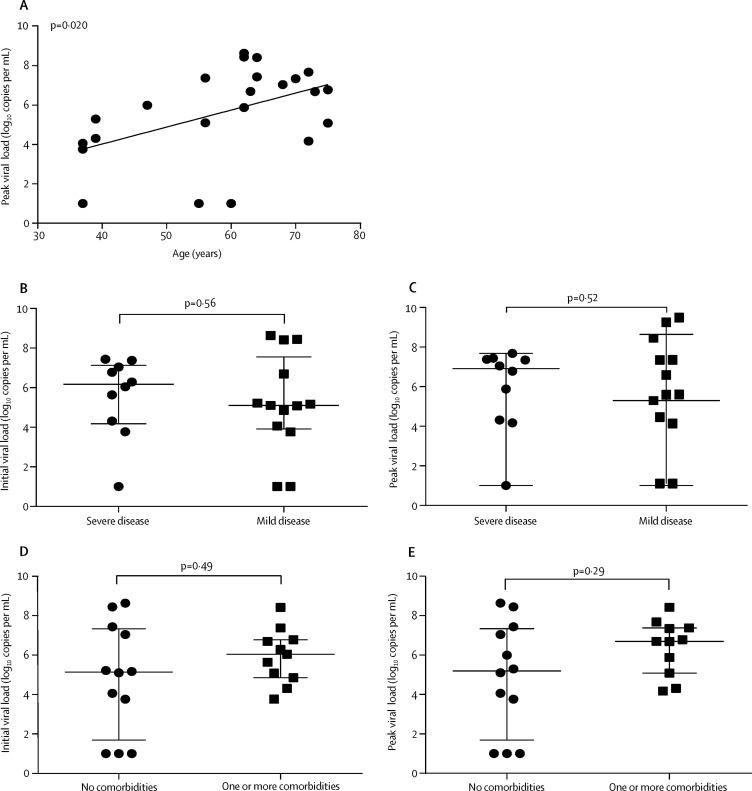
Between Jan 22, 2020, and Feb 12, 2020, 30 patients were screened for inclusion, of whom 23 were included (median age 62 years [range 37-75]). The median viral load in posterior oropharyngeal saliva or other respiratory specimens at presentation was 5·2 log copies per mL (IQR 4·1-7·0). Salivary viral load was highest during the first week after symptom onset and subsequently declined with time (slope -0·15, 95% CI -0·19 to -0·11; R=0·71). In one patient, viral RNA was detected 25 days after symptom onset. Older age was correlated with higher viral load (Spearman's ρ=0·48, 95% CI 0·074-0·75; p=0·020). For 16 patients with serum samples available 14 days or longer after symptom onset, rates of seropositivity were 94% for anti-NP IgG (n=15), 88% for anti-NP IgM (n=14), 100% for anti-RBD IgG (n=16), and 94% for anti-RBD IgM (n=15). Anti-SARS-CoV-2-NP or anti-SARS-CoV-2-RBD IgG levels correlated with virus neutralisation titre (R>0·9). No genome mutations were detected on serial samples.

INTERPRETATION

Posterior oropharyngeal saliva samples are a non-invasive specimen more acceptable to patients and health-care workers. Unlike severe acute respiratory syndrome, patients with COVID-19 had the highest viral load near presentation, which could account for the fast-spreading nature of this epidemic. This finding emphasises the importance of stringent infection control and early use of potent antiviral agents, alone or in combination, for high-risk individuals. Serological assay can complement RT-qPCR for diagnosis.

FUNDING

Richard and Carol Yu, May Tam Mak Mei Yin, The Shaw Foundation Hong Kong, Michael Tong, Marina Lee, Government Consultancy Service, and Sanming Project of Medicine.

摘要

背景

2019 年冠状病毒病(COVID-19)导致严重的社区和医院内暴发。目前还没有关于严重急性呼吸综合征冠状病毒 2(SARS-CoV-2)感染患者的连续呼吸道病毒载量和血清抗体反应的综合数据。鼻咽和咽喉拭子通常用于监测呼吸道感染的连续病毒载量,但采集这些标本会给患者带来不适,并使医护人员面临风险。我们旨在确定 COVID-19 患者的后咽部(深喉)唾液样本中的 SARS-CoV-2 的连续呼吸道病毒载量和血清抗体反应。

方法

我们在香港的两家医院进行了一项队列研究。我们纳入了经实验室确诊的 COVID-19 患者。我们采集了血液、尿液、后咽部唾液和直肠拭子样本。通过逆转录定量 PCR(RT-qPCR)确定病毒载量。使用 EIA 测量针对 SARS-CoV-2 内部核蛋白(NP)和表面刺突蛋白受体结合域(RBD)的抗体水平。进行全基因组测序以鉴定感染过程中可能出现的突变。

结果

2020 年 1 月 22 日至 2 月 12 日,共筛查了 30 名患者,其中 23 名患者符合纳入标准(中位年龄 62 岁[范围 37-75])。出现症状时,后咽部唾液或其他呼吸道标本中的中位病毒载量为 5.2 log 拷贝/mL(IQR 4.1-7.0)。唾液病毒载量在症状出现后的第一周最高,随后随时间下降(斜率-0.15,95%CI-0.19 至-0.11;R=0.71)。在一名患者中,在症状出现后 25 天检测到了病毒 RNA。年龄越大与病毒载量越高相关(Spearman's ρ=0.48,95%CI 0.074-0.75;p=0.020)。对于 16 名在出现症状后 14 天或更长时间有血清样本的患者,抗-NP IgG 的血清阳性率为 94%(n=15),抗-NP IgM 的血清阳性率为 88%(n=14),抗-RBD IgG 的血清阳性率为 100%(n=16),抗-RBD IgM 的血清阳性率为 94%(n=15)。抗 SARS-CoV-2-NP 或抗 SARS-CoV-2-RBD IgG 水平与病毒中和滴度相关(R>0.9)。在连续样本中未检测到基因组突变。

解释

后咽部唾液样本是一种对患者和医护人员更具可接受性的非侵入性标本。与严重急性呼吸综合征不同,COVID-19 患者在出现症状时的病毒载量最高,这可能是该流行病快速传播的原因。这一发现强调了严格的感染控制和早期使用单独或联合使用有效的抗病毒药物对高危人群的重要性。血清学检测可补充 RT-qPCR 用于诊断。

资金

Richard and Carol Yu,May Tam Mak Mei Yin,The Shaw Foundation Hong Kong,Michael Tong,Marina Lee,Government Consultancy Service,和 Sanming Project of Medicine。

https://cdn.ncbi.nlm.nih.gov/pmc/blobs/e2a5/7158907/21fdea7d46f3/gr1_lrg.jpg

文献AI研究员

20分钟写一篇综述,助力文献阅读效率提升50倍。

立即体验

用中文搜PubMed

大模型驱动的PubMed中文搜索引擎

马上搜索

文档翻译

学术文献翻译模型,支持多种主流文档格式。

立即体验