Suppr超能文献

mA 依赖性糖酵解增强结直肠癌进展。

mA-dependent glycolysis enhances colorectal cancer progression.

机构信息

State Key Laboratory for Oncogenes and Related Genes; Key Laboratory of Gastroenterology & Hepatology, Ministry of Health; Division of Gastroenterology and Hepatology; Shanghai Cancer Institute; Shanghai Institute of Digestive Disease; Renji Hospital, Shanghai Jiao Tong University School of Medicine, 145 Middle Shandong Road, Shanghai, 200001, China.

Department of Medical Oncology, Xuzhou Central Hospital, Xuzhou Medical University, Xuzhou, 221009, China.

出版信息

Mol Cancer. 2020 Apr 3;19(1):72. doi: 10.1186/s12943-020-01190-w.

Abstract

BACKGROUND

Epigenetic alterations are involved in various aspects of colorectal carcinogenesis. N-methyladenosine (mA) modifications of RNAs are emerging as a new layer of epigenetic regulation. As the most abundant chemical modification of eukaryotic mRNA, mA is essential for the regulation of mRNA stability, splicing, and translation. Alterations of mA regulatory genes play important roles in the pathogenesis of a variety of human diseases. However, whether this mRNA modification participates in the glucose metabolism of colorectal cancer (CRC) remains uncharacterized.

METHODS

Transcriptome-sequencing and liquid chromatography-tandem mass spectrometry (LC-MS) were performed to evaluate the correlation between mA modifications and glucose metabolism in CRC. Mass spectrometric metabolomics analysis, in vitro and in vivo experiments were conducted to investigate the effects of METTL3 on CRC glycolysis and tumorigenesis. RNA MeRIP-sequencing, immunoprecipitation and RNA stability assay were used to explore the molecular mechanism of METTL3 in CRC.

RESULTS

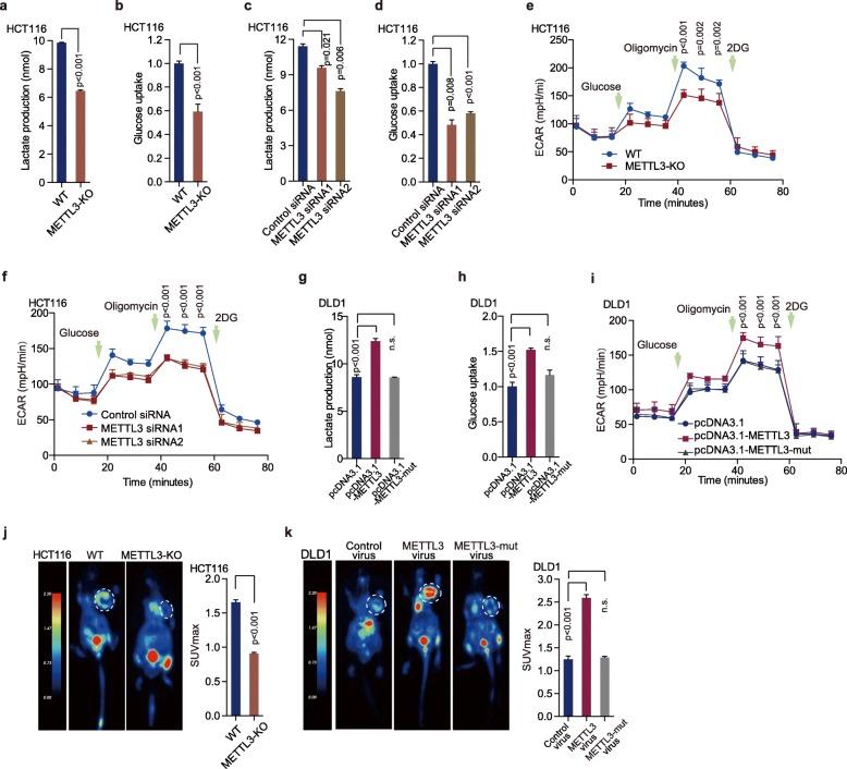
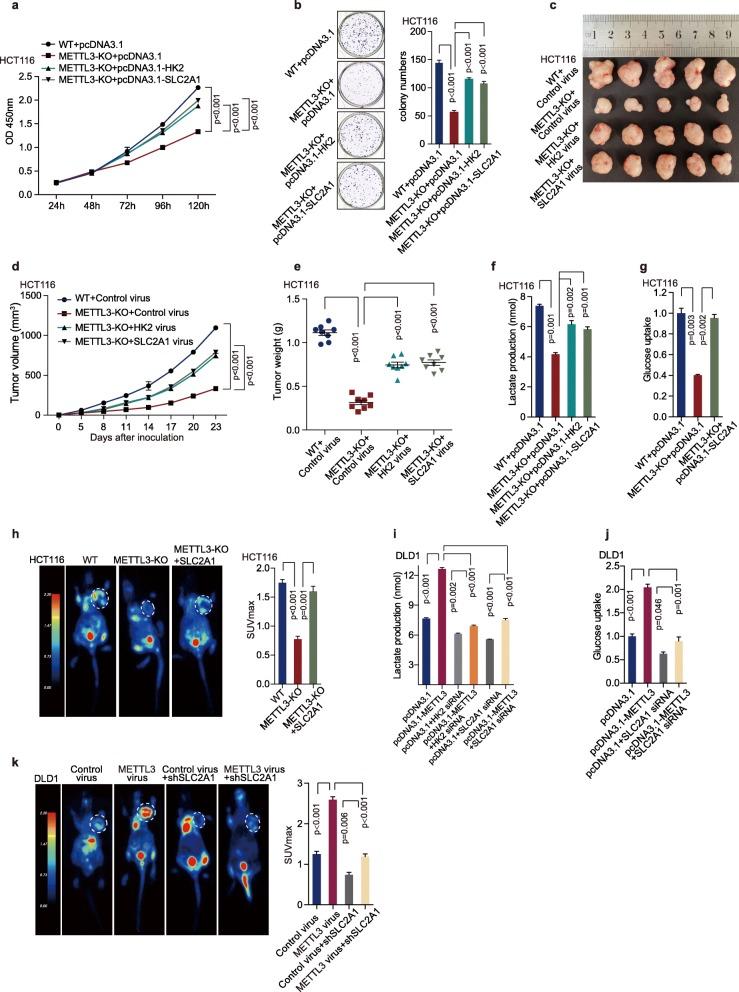
A strong correlation between METTL3 and F-FDG uptake was observed in CRC patients from Xuzhou Central Hospital. METTL3 induced-CRC tumorigenesis depends on cell glycolysis in multiple CRC models. Mechanistically, METTL3 directly interacted with the 5'/3'UTR regions of HK2, and the 3'UTR region of SLC2A1 (GLUT1), then further stabilized these two genes and activated the glycolysis pathway. MA-mediated HK2 and SLC2A1 (GLUT1) stabilization relied on the mA reader IGF2BP2 or IGF2BP2/3, respectively.

CONCLUSIONS

METTL3 is a functional and clinical oncogene in CRC. METTL3 stabilizes HK2 and SLC2A1 (GLUT1) expression in CRC through an mA-IGF2BP2/3- dependent mechanism. Targeting METTL3 and its pathway offer alternative rational therapeutic targets in CRC patients with high glucose metabolism.

摘要

背景

表观遗传改变参与结直肠癌发生的各个方面。RNA 的 N6-甲基腺苷(m6A)修饰作为一种新的表观遗传调控层出现。作为真核 mRNA 最丰富的化学修饰,m6A 对于 mRNA 稳定性、剪接和翻译的调节至关重要。m6A 调节基因的改变在多种人类疾病的发病机制中发挥重要作用。然而,这种 mRNA 修饰是否参与结直肠癌(CRC)的葡萄糖代谢仍未被描述。

方法

进行转录组测序和液相色谱-串联质谱(LC-MS)分析,以评估 m6A 修饰与 CRC 葡萄糖代谢之间的相关性。进行质谱代谢组学分析、体外和体内实验,以研究 METTL3 对 CRC 糖酵解和肿瘤发生的影响。采用 RNA MeRIP-seq、免疫沉淀和 RNA 稳定性测定来探索 METTL3 在 CRC 中的分子机制。

结果

在徐州中心医院的 CRC 患者中观察到 METTL3 与 F-FDG 摄取之间存在强烈的相关性。METTL3 诱导的 CRC 肿瘤发生取决于多种 CRC 模型中的细胞糖酵解。在机制上,METTL3 直接与 HK2 的 5'/3'UTR 区域以及 SLC2A1(GLUT1)的 3'UTR 区域相互作用,然后进一步稳定这两个基因并激活糖酵解途径。MA 介导的 HK2 和 SLC2A1(GLUT1)稳定依赖于 mA 阅读器 IGF2BP2 或 IGF2BP2/3。

结论

METTL3 是 CRC 中的功能性和临床致癌基因。METTL3 通过 mA-IGF2BP2/3 依赖机制稳定 CRC 中的 HK2 和 SLC2A1(GLUT1)表达。靶向 METTL3 及其途径为高葡萄糖代谢的 CRC 患者提供了替代的合理治疗靶点。

https://cdn.ncbi.nlm.nih.gov/pmc/blobs/e6a3/7118901/3cbc6d535598/12943_2020_1190_Fig1_HTML.jpg

文献AI研究员

20分钟写一篇综述,助力文献阅读效率提升50倍。

立即体验

用中文搜PubMed

大模型驱动的PubMed中文搜索引擎

马上搜索

文档翻译

学术文献翻译模型,支持多种主流文档格式。

立即体验