Suppr超能文献

细胞柔软度调节癌细胞的致瘤性和干性。

Cell softness regulates tumorigenicity and stemness of cancer cells.

机构信息

Department of Immunology & National Key Laboratory of Medical Molecular Biology, Institute of Basic Medical Sciences, Chinese Academy of Medical Sciences (CAMS) & Peking Union Medical College, Beijing, China.

Institute of Microelectronics, Peking University, Beijing, China.

出版信息

EMBO J. 2021 Jan 15;40(2):e106123. doi: 10.15252/embj.2020106123. Epub 2020 Dec 4.

Abstract

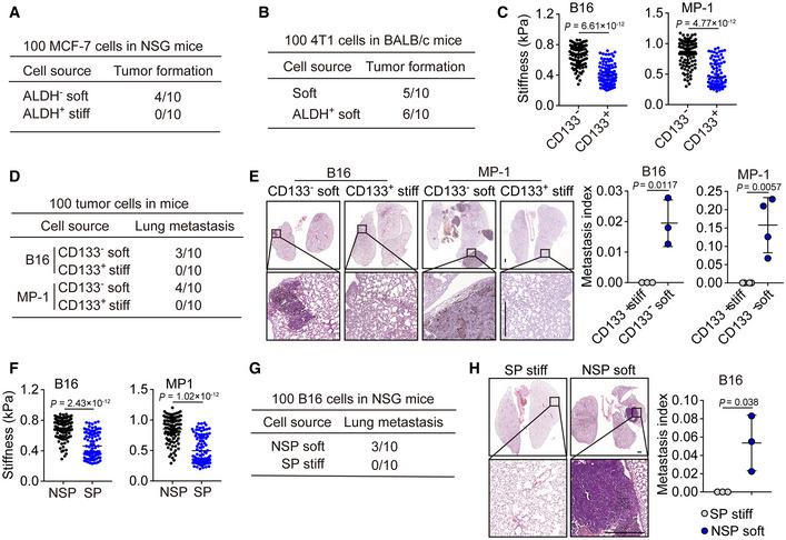
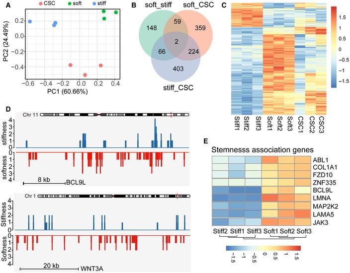
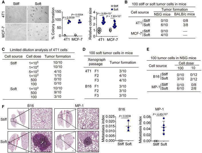
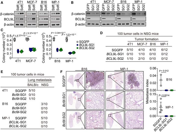
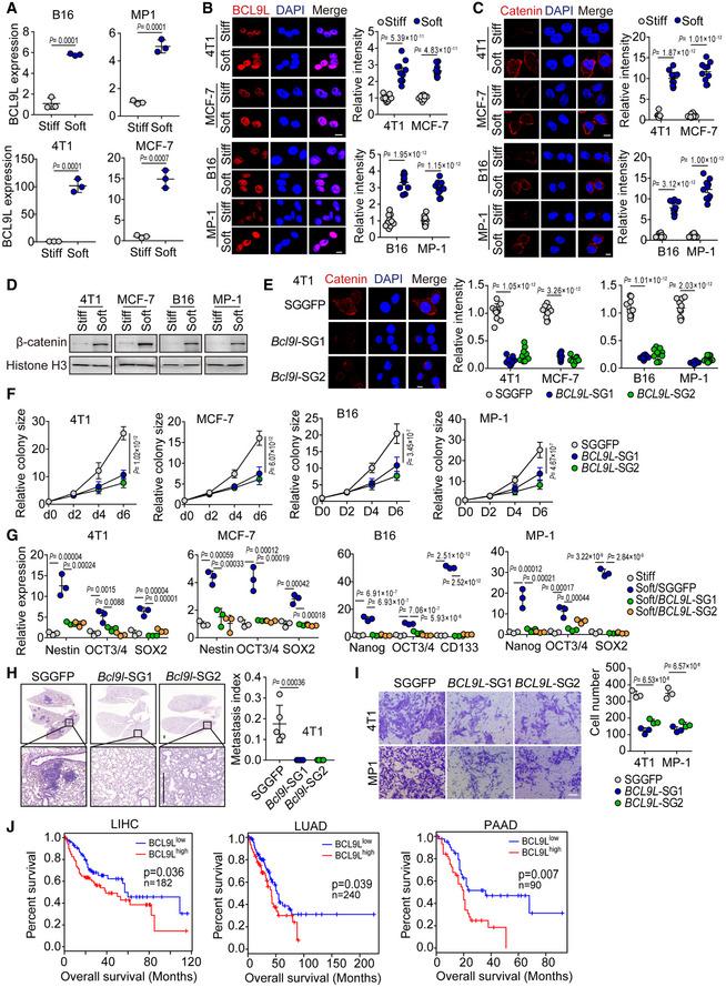
Identifying and sorting highly tumorigenic and metastatic tumor cells from a heterogeneous cell population is a daunting challenge. Here, we show that microfluidic devices can be used to sort marker-based heterogeneous cancer stem cells (CSC) into mechanically stiff and soft subpopulations. The isolated soft tumor cells (< 400 Pa) but not the stiff ones (> 700 Pa) can form a tumor in immunocompetent mice with 100 cells per inoculation. Notably, only the soft, but not the stiff cells, isolated from CD133 , ALDH , or side population CSCs, are able to form a tumor with only 100 cells in NOD-SCID or immunocompetent mice. The Wnt signaling protein BCL9L is upregulated in soft tumor cells and regulates their stemness and tumorigenicity. Clinically, BCL9L expression is correlated with a worse prognosis. Our findings suggest that the intrinsic softness is a unique marker of highly tumorigenic and metastatic tumor cells.

摘要

从异质细胞群中鉴定和分选高致瘤性和转移性肿瘤细胞是一项艰巨的挑战。在这里,我们展示了微流控设备可用于将基于标志物的异质癌症干细胞(CSC)分选成机械硬度不同的亚群。分离得到的软肿瘤细胞(<400 Pa)而非硬肿瘤细胞(>700 Pa),每接种 100 个细胞即可在免疫功能正常的小鼠中形成肿瘤。值得注意的是,只有从 CD133+、ALDH+或侧群 CSC 中分离得到的软肿瘤细胞,而非硬肿瘤细胞,才能在 NOD-SCID 或免疫功能正常的小鼠中仅用 100 个细胞形成肿瘤。Wnt 信号蛋白 BCL9L 在软肿瘤细胞中上调,并调节其干细胞特性和致瘤性。临床研究表明,BCL9L 的表达与预后不良相关。我们的研究结果表明,内在柔软度是高度致瘤性和转移性肿瘤细胞的独特标志物。

https://cdn.ncbi.nlm.nih.gov/pmc/blobs/24ea/7809788/e92b8923c8c1/EMBJ-40-e106123-g003.jpg

文献AI研究员

20分钟写一篇综述,助力文献阅读效率提升50倍。

立即体验

用中文搜PubMed

大模型驱动的PubMed中文搜索引擎

马上搜索

文档翻译

学术文献翻译模型,支持多种主流文档格式。

立即体验