Suppr超能文献

PRMT5 通过与 MCM7 的相互作用促进结直肠癌的生长。

PRMT5 promotes colorectal cancer growth by interaction with MCM7.

机构信息

Department of Pathology & Pathophysiology, and Department of Colorectal Surgery of the Second Affiliated Hospital, Zhejiang University School of Medicine, Hangzhou, China.

Department of Pathology, Sir Run Run Shaw Hospital, Zhejiang University School of Medicine, Hangzhou, China.

出版信息

J Cell Mol Med. 2021 Apr;25(7):3537-3547. doi: 10.1111/jcmm.16436. Epub 2021 Mar 6.

Abstract

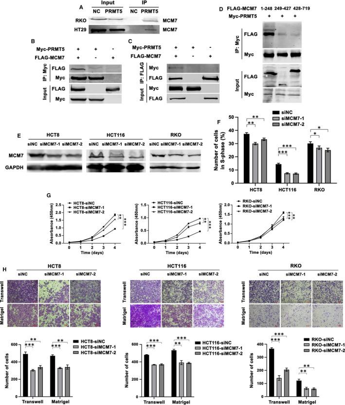
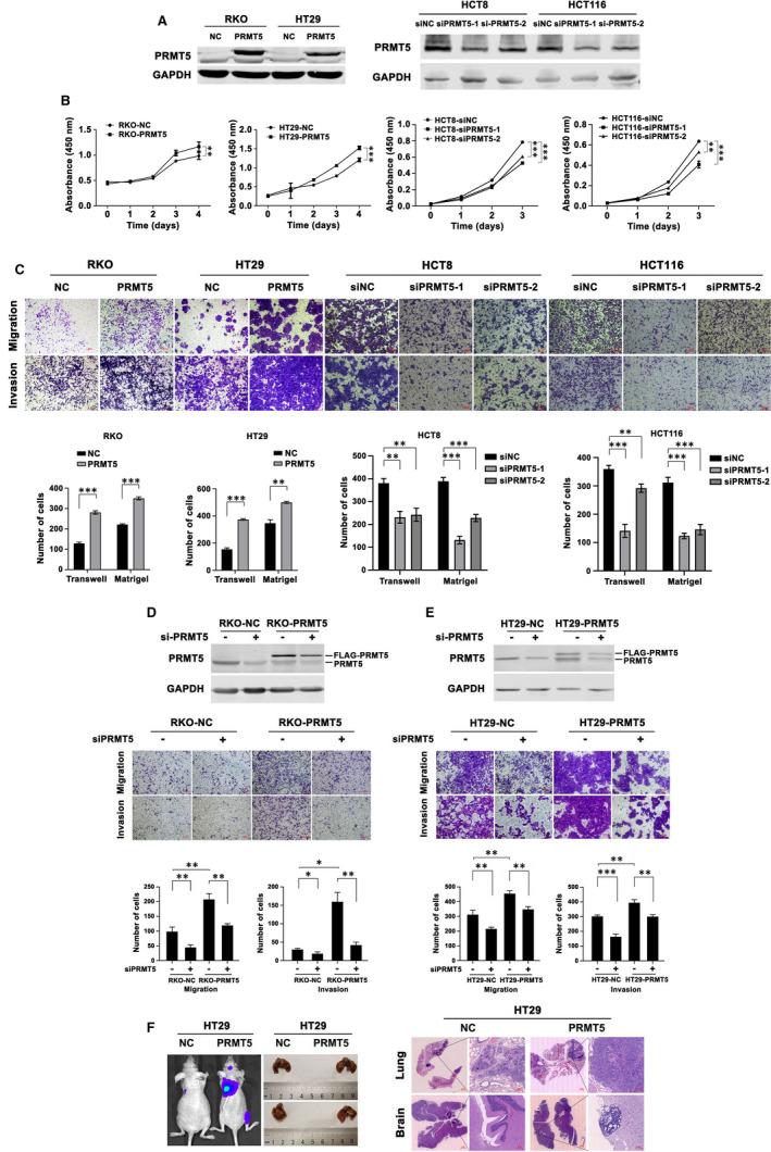
Protein arginine methyltransferase 5 (PRMT5) is a type of methyltransferase enzyme that can catalyse arginine methylation of histones and non-histone proteins. Accumulating evidence indicates that PRMT5 promotes cancer development and progression. However, its function in colorectal cancer (CRC) is poorly understood. In this study, we revealed the oncogenic roles of PRMT5 in CRC. We found that PRMT5 promoted CRC cell proliferation, migration and invasion in vitro and in vivo. We identified minichromosome maintenance-7 (MCM7) as the direct PRMT5-binding partner. A co-immunoprecipitation (co-IP) assay indicated that PRMT5 physically interacted with MCM7 and that the direct binding domain was located between residues 1-248 in MCM7. In addition, our results from analysis of 99 CRC tissues and 77 adjacent non-cancerous tissues indicated that the PRMT5 and MCM7 expression levels were significantly higher in CRC tissues than in control tissues, which was further confirmed by bioinformatic analysis using TCGA and GEO datasets. We also found that MCM7 promoted CRC cell proliferation, migration and invasion in vitro. Furthermore, we observed that increased PRMT5 expression predicted unfavourable patient survival in CRC patients and in the subgroup of patients with a tumour size of ≤5 cm. These data suggested that PRMT5 and MCM7 might be novel potential targets for the treatment of CRC.

摘要

蛋白质精氨酸甲基转移酶 5(PRMT5)是一种甲基转移酶,可催化组蛋白和非组蛋白蛋白质的精氨酸甲基化。越来越多的证据表明 PRMT5 促进癌症的发展和进展。然而,其在结直肠癌(CRC)中的功能尚不清楚。在这项研究中,我们揭示了 PRMT5 在 CRC 中的致癌作用。我们发现 PRMT5 促进了 CRC 细胞在体外和体内的增殖、迁移和侵袭。我们鉴定了微小染色体维持蛋白 7(MCM7)作为 PRMT5 的直接结合伴侣。共免疫沉淀(co-IP)试验表明 PRMT5 与 MCM7 物理相互作用,直接结合域位于 MCM7 的残基 1-248 之间。此外,我们对 99 例 CRC 组织和 77 例相邻非癌组织进行分析的结果表明,PRMT5 和 MCM7 的表达水平在 CRC 组织中明显高于对照组织,这通过 TCGA 和 GEO 数据集的生物信息学分析进一步得到证实。我们还发现 MCM7 促进了 CRC 细胞在体外的增殖、迁移和侵袭。此外,我们观察到 PRMT5 表达增加预示着 CRC 患者和肿瘤大小≤5cm 的亚组患者的生存不良。这些数据表明,PRMT5 和 MCM7 可能是治疗 CRC 的新的潜在靶点。

https://cdn.ncbi.nlm.nih.gov/pmc/blobs/f003/8034445/012e02658f5d/JCMM-25-3537-g003.jpg

文献AI研究员

20分钟写一篇综述,助力文献阅读效率提升50倍。

立即体验

用中文搜PubMed

大模型驱动的PubMed中文搜索引擎

马上搜索

文档翻译

学术文献翻译模型,支持多种主流文档格式。

立即体验