Suppr超能文献

二氧化硅纳米颗粒的大小和表面修饰通过调节巨噬细胞内体 ROS 的产生,影响其肺部毒性的严重程度。

Size and surface modification of silica nanoparticles affect the severity of lung toxicity by modulating endosomal ROS generation in macrophages.

机构信息

Department of Respiratory Medicine, Nagoya University Graduate School of Medicine, 65 Tsurumai-cho, Showa-ku, Nagoya, 466-8550, Japan.

Graduate School of Science, Osaka Prefecture University, Sakai, Osaka, 599-8570, Japan.

出版信息

Part Fibre Toxicol. 2021 Jun 17;18(1):21. doi: 10.1186/s12989-021-00415-0.

Abstract

BACKGROUND

As the application of silica nanomaterials continues to expand, increasing chances of its exposure to the human body and potential harm are anticipated. Although the toxicity of silica nanomaterials is assumed to be affected by their physio-chemical properties, including size and surface functionalization, its molecular mechanisms remain unclear. We hypothesized that analysis of intracellular localization of the particles and subsequent intracellular signaling could reveal a novel determinant of inflammatory response against silica particles with different physico-chemical properties.

RESULTS

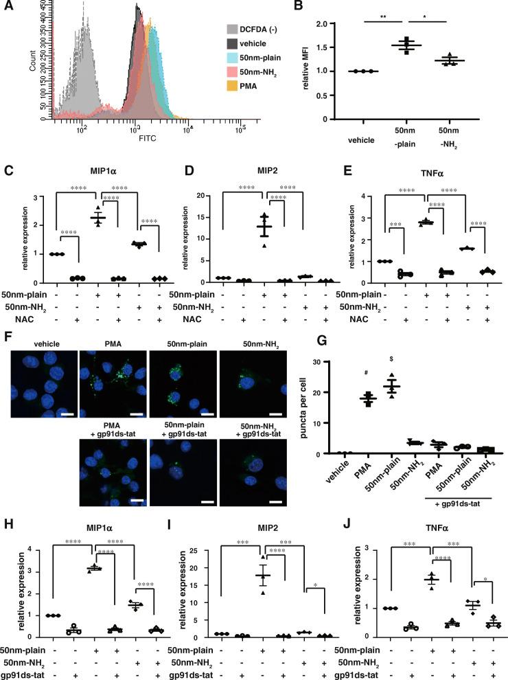
We employed a murine intratracheal instillation model of amorphous silica nanoparticles (NPs) exposure to compare their in vivo toxicities in the respiratory system. Pristine silica-NPs of 50 nm diameters (50 nm-plain) induced airway-centered lung injury with marked neutrophilic infiltration. By contrast, instillation of pristine silica particles of a larger diameter (3 μm; 3 μm-plain) significantly reduced the severity of lung injury and neutrophilic infiltration, possibly through attenuated induction of neutrophil chemotactic chemokines including MIP2. Ex vivo analysis of alveolar macrophages as well as in vitro assessment using RAW264.7 cells revealed a remarkably lower cellular uptake of 3 μm-plain particles compared with 50 nm-plain, which is assumed to be the underlying mechanism of attenuated immune response. The severity of lung injury and neutrophilic infiltration was also significantly reduced after intratracheal instillation of silica NPs with an amine surface modification (50 nm-NH) when compared with 50 nm-plain. Despite unchanged efficacy in cellular uptake, treatment with 50 nm-NH induced a significantly attenuated immune response in RAW264.7 cells. Assessment of intracellular redox signaling revealed increased reactive oxygen species (ROS) in endosomal compartments of RAW264.7 cells treated with 50 nm-plain when compared with vehicle-treated control. In contrast, augmentation of endosomal ROS signals in cells treated with 50 nm-NH was significantly lower. Moreover, selective inhibition of NADPH oxidase 2 (NOX2) was sufficient to inhibit endosomal ROS bursts and induction of chemokine expressions in cells treated with silica NPs, suggesting the central role of endosomal ROS generated by NOX2 in the regulation of the inflammatory response in macrophages that endocytosed silica NPs.

CONCLUSIONS

Our murine model suggested that the pulmonary toxicity of silica NPs depended on their physico-chemical properties through distinct mechanisms. Cellular uptake of larger particles by macrophages decreased, while surface amine modification modulated endosomal ROS signaling via NOX2, both of which are assumed to be involved in mitigating immune response in macrophages and resulting lung injury.

摘要

背景

随着硅纳米材料的应用不断扩展,人们预计其接触人体和潜在危害的机会将增加。尽管硅纳米材料的毒性被认为与其物理化学性质有关,包括尺寸和表面功能化,但其中的分子机制尚不清楚。我们假设,分析颗粒的细胞内定位和随后的细胞内信号转导,可以揭示不同物理化学性质的硅颗粒引起炎症反应的新决定因素。

结果

我们采用了小鼠气管内滴注无定形二氧化硅纳米颗粒(NPs)暴露的模型,以比较其在呼吸系统中的体内毒性。直径为 50nm 的原始二氧化硅-NPs(50nm- plain)引起以气道为中心的肺损伤,并伴有明显的中性粒细胞浸润。相比之下,较大直径(3μm;3μm- plain)的原始二氧化硅颗粒的注入显著降低了肺损伤和中性粒细胞浸润的严重程度,这可能是通过减弱中性粒细胞趋化化学因子如 MIP2 的诱导所致。肺泡巨噬细胞的离体分析以及 RAW264.7 细胞的体外评估显示,与 50nm- plain 相比,3μm- plain 颗粒的细胞摄取率明显降低,这被认为是免疫反应减弱的潜在机制。与 50nm- plain 相比,气管内滴注胺表面修饰的二氧化硅 NPs(50nm-NH)后,肺损伤和中性粒细胞浸润的严重程度也显著降低。尽管细胞摄取效率不变,但与 50nm- plain 相比,50nm-NH 处理的 RAW264.7 细胞中诱导的免疫反应明显减弱。细胞内氧化还原信号的评估显示,与对照组相比,用 50nm- plain 处理的 RAW264.7 细胞的内体区室中活性氧(ROS)增加。相比之下,用 50nm-NH 处理的细胞中内体 ROS 信号的增强明显较低。此外,NADPH 氧化酶 2(NOX2)的选择性抑制足以抑制细胞内二氧化硅 NP 处理细胞的内体 ROS 爆发和趋化因子表达,这表明由内体 ROS 生成的中心作用NOX2 在调节内吞二氧化硅 NP 的巨噬细胞中的炎症反应。

结论

我们的小鼠模型表明,硅 NPs 的肺毒性取决于其物理化学性质,通过不同的机制。巨噬细胞对较大颗粒的细胞摄取减少,而表面胺修饰通过 NOX2 调节内体 ROS 信号转导,这两者都被认为参与了巨噬细胞免疫反应的调节和由此导致的肺损伤。

https://cdn.ncbi.nlm.nih.gov/pmc/blobs/34ee/8210371/49767f54ecd4/12989_2021_415_Fig1_HTML.jpg

文献AI研究员

20分钟写一篇综述,助力文献阅读效率提升50倍。

立即体验

用中文搜PubMed

大模型驱动的PubMed中文搜索引擎

马上搜索

文档翻译

学术文献翻译模型,支持多种主流文档格式。

立即体验