Suppr超能文献

一种乙型肝炎病毒衍生肽可通过 I 型干扰素依赖的方式抑制 SARS-CoV-2 感染人肺细胞。

A Hepatitis B Virus-Derived Peptide Can Inhibit Infection of Human Lung Cells with SARS-CoV-2 in a Type-1 Interferon-Dependent Manner.

机构信息

Department of Microbiology and Immunology, College of Medicine, Seoul National University, Seoul 110799, Korea.

Department of Biomedical Sciences, College of Medicine, Seoul National University, Seoul 03080, Korea.

出版信息

Viruses. 2021 Jun 25;13(7):1227. doi: 10.3390/v13071227.

Abstract

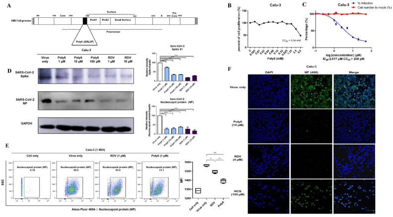
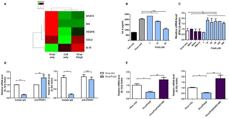
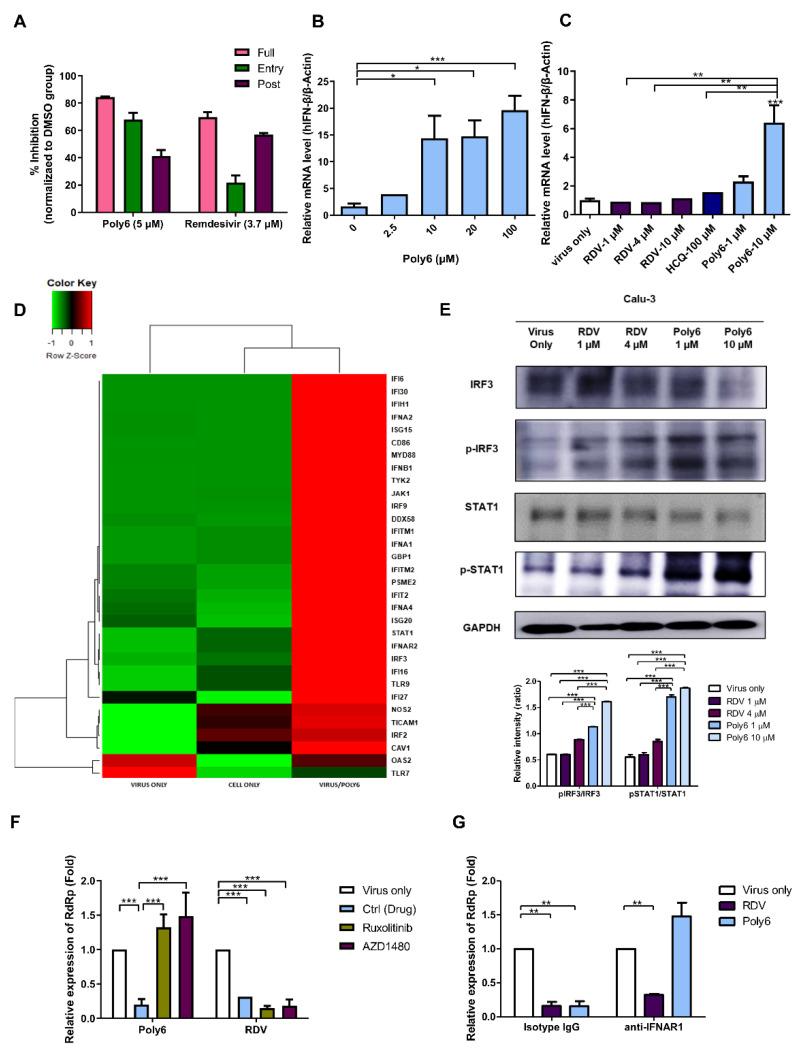
The current COVID-19 pandemic has highlighted the urgent need to develop effective therapeutic strategies. We evaluated the in vitro antiviral effect against SARS-CoV-2 of a hepatitis B virus (HBV) hexamer peptide, Poly6, which is capable of eliciting an antiviral effect against human immunodeficiency virus -1 (HIV-1), as a novel HIV-1 integrase inhibitor, and a strong anticancer immune response in an IFN-I-dependent manner, as a novel potential adjuvant in anticancer immunotherapy. Here, we report that Poly6 exerts an anti-SARS-CoV-2 effect, with an estimated 50% inhibitory concentration of 2.617 µM, in the human bronchial epithelial cell line, Calu-3 but not in Vero-E6 cells, which are deficient in type 1 interferon (IFN-I) signaling. We proved via assays based on mRNA profiles, inhibitors, or blocking antibodies that Poly6 can exert an anti-SARS-CoV-2 effect in an IFN-I-dependent manner. We also found that Poly6 inhibits IL-6 production enhanced by SARS-CoV-2 in infected Calu-3 cells at both the transcription and the translation levels, mediated via IL-10 induction in an IFN-I-dependent manner. These results indicate the feasibility of Poly6 as an IFN-I-inducing COVID-19 drug with potent antiviral and anti-inflammatory activities.

摘要

当前的 COVID-19 大流行凸显了开发有效治疗策略的迫切需要。我们评估了乙型肝炎病毒 (HBV) 六聚体肽 Poly6 对 SARS-CoV-2 的体外抗病毒作用,Poly6 作为一种新型 HIV-1 整合酶抑制剂,能够对人类免疫缺陷病毒 -1 (HIV-1) 产生抗病毒作用,并且能够以 IFN-I 依赖性方式引发强烈的抗癌免疫反应,作为一种新型潜在的抗癌免疫疗法佐剂。在这里,我们报告 Poly6 在人支气管上皮细胞系 Calu-3 中发挥抗 SARS-CoV-2 作用,其估计 50%抑制浓度为 2.617µM,但在缺乏 I 型干扰素 (IFN-I) 信号的 Vero-E6 细胞中没有作用。我们通过基于 mRNA 谱、抑制剂或阻断抗体的测定证明,Poly6 可以以 IFN-I 依赖性方式发挥抗 SARS-CoV-2 作用。我们还发现 Poly6 可以抑制 SARS-CoV-2 感染的 Calu-3 细胞中 IL-6 产生的增强,这种抑制作用是通过 IFN-I 依赖性方式诱导 IL-10 介导的。这些结果表明 Poly6 作为一种具有强大抗病毒和抗炎活性的 IFN-I 诱导 COVID-19 药物具有可行性。

https://cdn.ncbi.nlm.nih.gov/pmc/blobs/70d8/8310041/dd4744553297/viruses-13-01227-g001.jpg

文献AI研究员

20分钟写一篇综述,助力文献阅读效率提升50倍。

立即体验

用中文搜PubMed

大模型驱动的PubMed中文搜索引擎

马上搜索

文档翻译

学术文献翻译模型,支持多种主流文档格式。

立即体验