Suppr超能文献

钙黏蛋白-11缺乏减轻血管紧张素II诱导的心房纤维化及心房颤动易感性。

Cadherin-11 Deficiency Attenuates Ang-II-Induced Atrial Fibrosis and Susceptibility to Atrial Fibrillation.

作者信息

Cao Wei, Song Shuai, Fang Guojian, Li Yingze, Wang Yuepeng, Wang Qun-Shan

机构信息

Department of Cardiology, Xinhua Hospital Affiliated to Shanghai Jiaotong University School of Medicine, Shanghai, 200092, People's Republic of China.

出版信息

J Inflamm Res. 2021 Jul 2;14:2897-2911. doi: 10.2147/JIR.S306073. eCollection 2021.

Abstract

BACKGROUND

Atrial fibrosis serves as a disease initiating mechanism in the development of atrial fibrillation. Angiotensin II (Ang-II), a key mediator for atrial fibrosis, aberrantly activates atrial fibroblasts (AFs) into myofibroblasts, resulting in subsequent excessive synthesis and deposition of extracellular matrix (ECM). Cadherin-11 (CDH11) is essential in the development of non-cardiac fibrotic diseases. In this study, we investigated its role in the pathogenesis and underlying mechanism of atrial fibrillation.

METHODS

We obtained left atrial tissues from either patients with atrial fibrillation or Ang-II-induced atrial fibrosis mice. We utilized a global CDH11 knockout mouse (CDH11) model to determine the effect of CDH11 on AF cell proliferation, migration, ECM synthesis/deposition. RNA-Seq of isolated AFs from CDH11 or normal mice was performed and differential expressed genes were analyzed. The mouse susceptibility to atrial fibrillation was examined by cardiac electrophysiology.

RESULTS

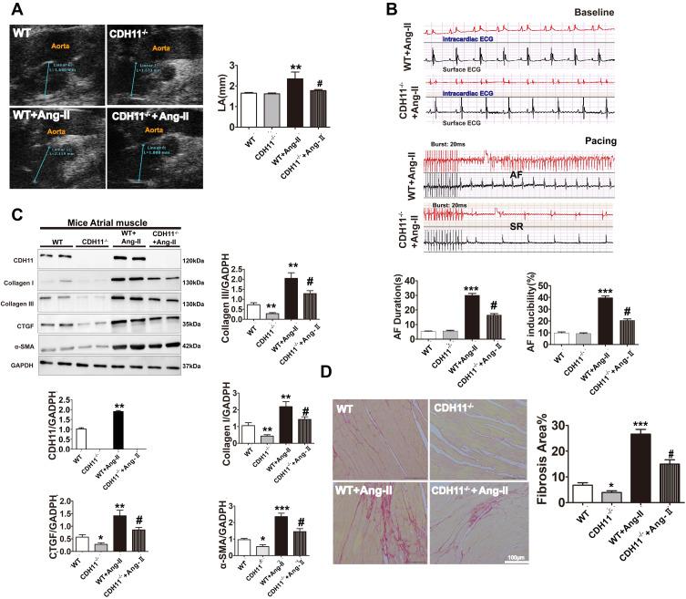
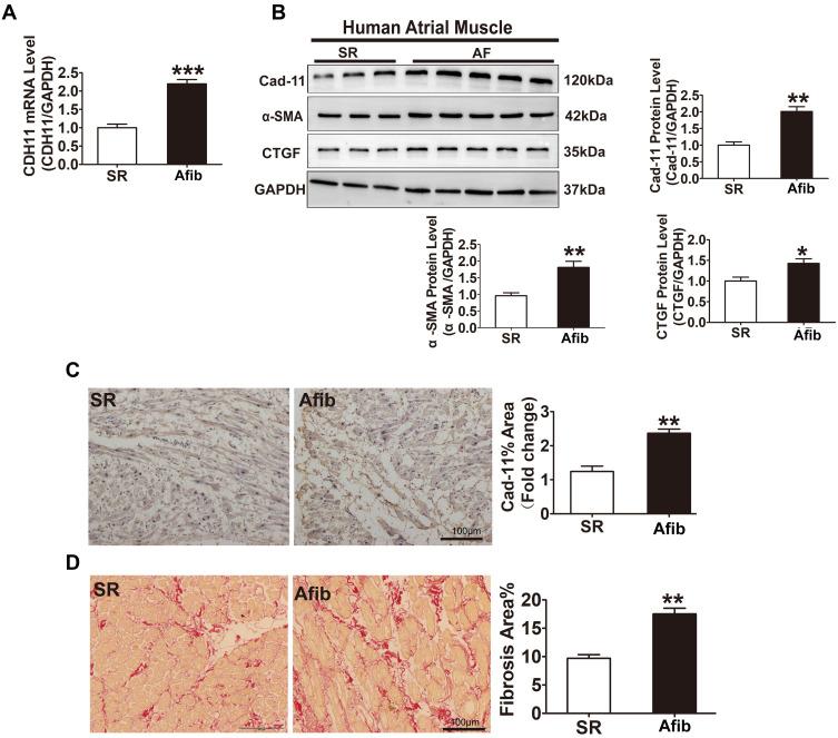
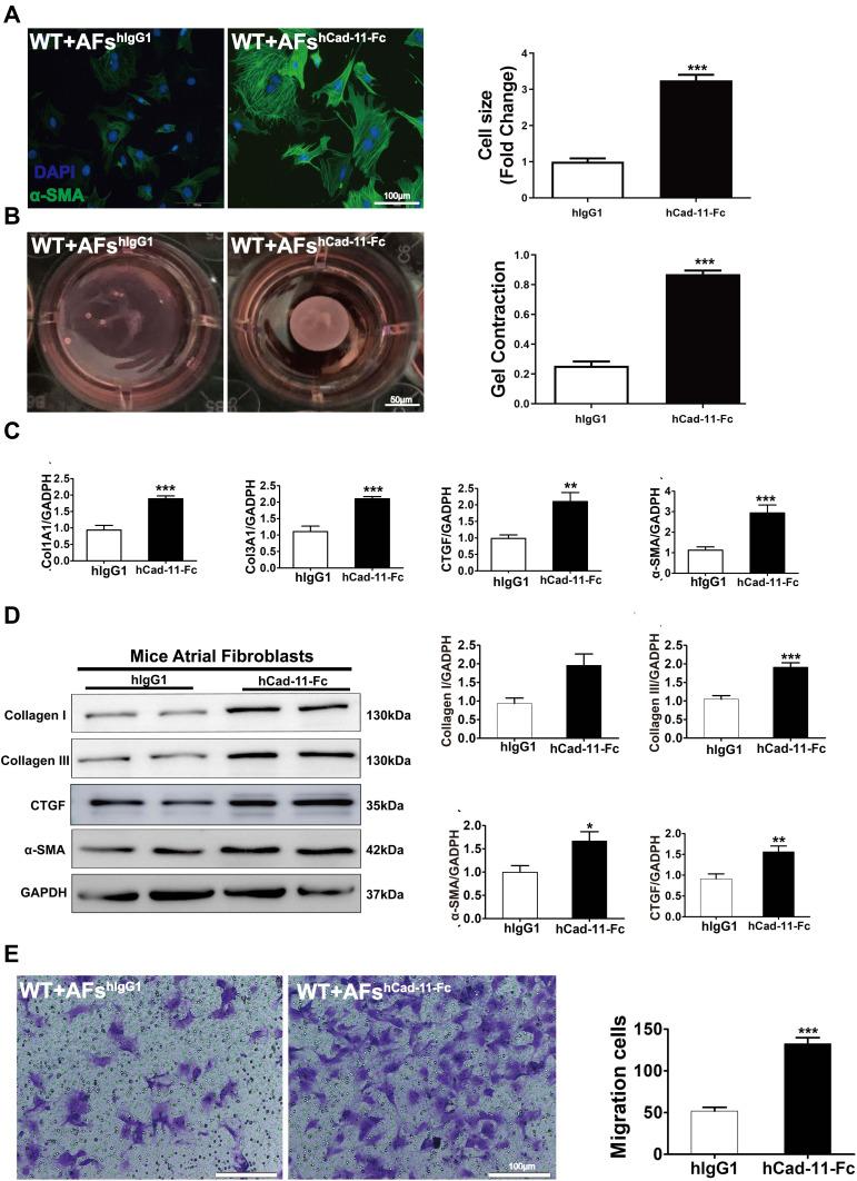
We found that cadherin-11 was significantly up-regulated in fibrotic atrial tissue from patients with atrial fibrillation and Ang-II-induced mice. Both normal and CDH11 mice did not develop atrial fibrosis at resting state. However, after Ang-II infusion, unlike severe atrial fibrosis occurred in normal mice, CDH11 mice displayed a reduced atrial fibrosis. Atrial fibroblasts with CDH11 deletion from CDH11 mice showed reduction in Ang-II-induced cell proliferation, migration and ECM synthesis/deposition, indicating the involvement of CDH11 in atrial fibrosis. Consistently, RNA-Seq of CDH11-null AFs uncovered significant decrease in pro-fibrotic gene expression. In addition, we identified reduction of transcripts associated with Smad2/3, ERK1/2 and JNK pathways. Further, CDH11 mice showed a significantly attenuated Ang-II-induced susceptibility to atrial fibrillation.

CONCLUSION

Our results indicate that CDH11 potentiates Ang-II-induced activation of AFs. The pathogenesis of atrial fibrosis is through CDH11 mediated stimulation of Smad2/3, ERK1/2 and JNK pathways. Thus, CDH11 might serve as a novel therapeutic target for ameliorating the development of atrial fibrillation.

摘要

背景

心房纤维化是心房颤动发生发展的起始机制。血管紧张素II(Ang-II)是心房纤维化的关键介质,可异常激活心房成纤维细胞(AFs)转化为肌成纤维细胞,导致随后细胞外基质(ECM)过度合成和沉积。钙黏蛋白-11(CDH11)在非心脏纤维化疾病的发展中起重要作用。在本研究中,我们调查了其在心房颤动发病机制及潜在机制中的作用。

方法

我们从心房颤动患者或Ang-II诱导的心房纤维化小鼠中获取左心房组织。我们利用全球CDH11基因敲除小鼠(CDH11)模型来确定CDH11对AF细胞增殖、迁移、ECM合成/沉积的影响。对从CDH11或正常小鼠分离的AFs进行RNA测序,并分析差异表达基因。通过心脏电生理学检查小鼠对心房颤动的易感性。

结果

我们发现钙黏蛋白-11在心房颤动患者和Ang-II诱导的小鼠纤维化心房组织中显著上调。正常小鼠和CDH11小鼠在静息状态下均未发生心房纤维化。然而,在输注Ang-II后,与正常小鼠发生严重心房纤维化不同,CDH11小鼠的心房纤维化程度减轻。来自CDH11小鼠的缺失CDH11的心房成纤维细胞显示Ang-II诱导的细胞增殖、迁移和ECM合成/沉积减少,表明CDH11参与心房纤维化过程。一致地,CDH11基因缺失的AFs的RNA测序发现促纤维化基因表达显著降低。此外,我们发现与Smad2/3、ERK1/2和JNK信号通路相关的转录本减少。此外,CDH11小鼠显示出Ang-II诱导的心房颤动易感性显著降低。

结论

我们的结果表明,CDH11增强了Ang-II诱导的AFs激活。心房纤维化的发病机制是通过CDH11介导的对Smad2/3、ERK1/2和JNK信号通路的刺激。因此,CDH11可能作为改善心房颤动发展的新型治疗靶点。

https://cdn.ncbi.nlm.nih.gov/pmc/blobs/165b/8259948/1ad149d4400d/JIR-14-2897-g0001.jpg

文献AI研究员

20分钟写一篇综述,助力文献阅读效率提升50倍。

立即体验

用中文搜PubMed

大模型驱动的PubMed中文搜索引擎

马上搜索

文档翻译

学术文献翻译模型,支持多种主流文档格式。

立即体验