Suppr超能文献

通过 SUMO-RNF4 途径实现的与 DNA 复制无关的 DNA-蛋白质交联修复的机制和功能。

Mechanism and function of DNA replication-independent DNA-protein crosslink repair via the SUMO-RNF4 pathway.

机构信息

Protein Signaling Program, Novo Nordisk Foundation Center for Protein Research, University of Copenhagen, Copenhagen, Denmark.

Netherlands Cancer Institute, Amsterdam, The Netherlands.

出版信息

EMBO J. 2021 Sep 15;40(18):e107413. doi: 10.15252/embj.2020107413. Epub 2021 Aug 4.

Abstract

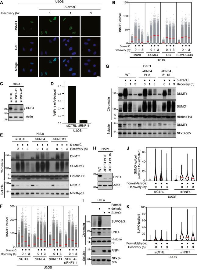
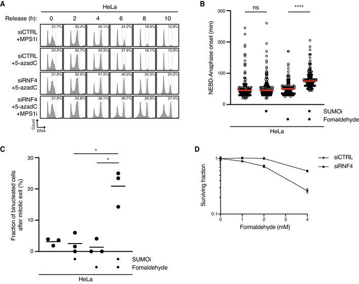
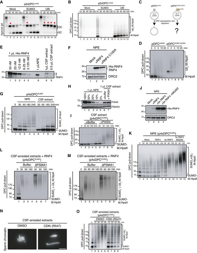
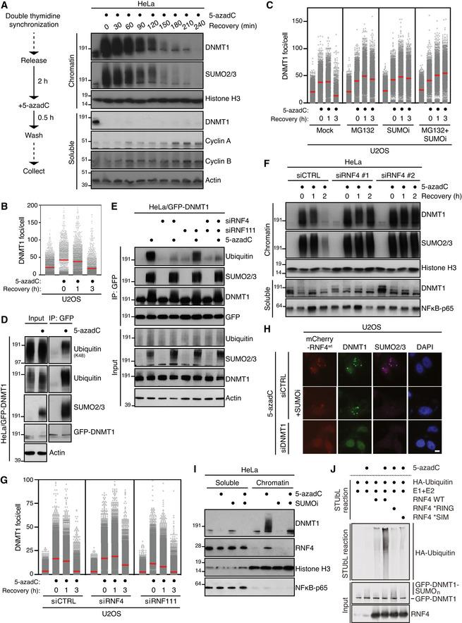
DNA-protein crosslinks (DPCs) obstruct essential DNA transactions, posing a serious threat to genome stability and functionality. DPCs are proteolytically processed in a ubiquitin- and DNA replication-dependent manner by SPRTN and the proteasome but can also be resolved via targeted SUMOylation. However, the mechanistic basis of SUMO-mediated DPC resolution and its interplay with replication-coupled DPC repair remain unclear. Here, we show that the SUMO-targeted ubiquitin ligase RNF4 defines a major pathway for ubiquitylation and proteasomal clearance of SUMOylated DPCs in the absence of DNA replication. Importantly, SUMO modifications of DPCs neither stimulate nor inhibit their rapid DNA replication-coupled proteolysis. Instead, DPC SUMOylation provides a critical salvage mechanism to remove DPCs formed after DNA replication, as DPCs on duplex DNA do not activate interphase DNA damage checkpoints. Consequently, in the absence of the SUMO-RNF4 pathway cells are able to enter mitosis with a high load of unresolved DPCs, leading to defective chromosome segregation and cell death. Collectively, these findings provide mechanistic insights into SUMO-driven pathways underlying replication-independent DPC resolution and highlight their critical importance in maintaining chromosome stability and cellular fitness.

摘要

DNA-蛋白质交联物(DPCs)阻碍了必要的 DNA 交易,对基因组的稳定性和功能构成了严重威胁。DPCs 通过 SPRTN 和蛋白酶体以泛素和 DNA 复制依赖性的方式进行蛋白水解处理,但也可以通过靶向 SUMO 化来解决。然而,SUMO 介导的 DPC 分辨率的机制基础及其与复制偶联的 DPC 修复的相互作用仍不清楚。在这里,我们表明,SUMO 靶向的泛素连接酶 RNF4 定义了一种主要的途径,用于在没有 DNA 复制的情况下,对 SUMO 化的 DPC 进行泛素化和蛋白酶体清除。重要的是,DPC 的 SUMO 修饰既不会刺激也不会抑制其与 DNA 复制偶联的快速蛋白水解。相反,DPC 的 SUMO 化提供了一种关键的挽救机制,用于去除 DNA 复制后形成的 DPC,因为双链 DNA 上的 DPC 不会激活有丝分裂期 DNA 损伤检查点。因此,在缺乏 SUMO-RNF4 途径的情况下,细胞能够带着大量未解决的 DPC 进入有丝分裂,导致染色体分离缺陷和细胞死亡。总的来说,这些发现为复制独立的 DPC 分辨率的 SUMO 驱动途径提供了机制上的见解,并强调了它们在维持染色体稳定性和细胞适应性方面的重要性。

https://cdn.ncbi.nlm.nih.gov/pmc/blobs/d067/8441304/be25f7ce730b/EMBJ-40-e107413-g012.jpg

文献AI研究员

20分钟写一篇综述,助力文献阅读效率提升50倍。

立即体验

用中文搜PubMed

大模型驱动的PubMed中文搜索引擎

马上搜索

文档翻译

学术文献翻译模型,支持多种主流文档格式。

立即体验