Suppr超能文献

LDLR 功能障碍导致 LDL 积累并促进肺纤维化。

LDLR dysfunction induces LDL accumulation and promotes pulmonary fibrosis.

机构信息

Department of Dermatology, Huashan Hospital and State Key Laboratory of Genetic Engineering, School of Life Sciences, Fudan University, Shanghai, P. R. China.

Human Phenome Institute and Collaborative Innovation Center for Genetics and Development, Fudan University, Shanghai, P. R. China.

出版信息

Clin Transl Med. 2022 Jan;12(1):e711. doi: 10.1002/ctm2.711.

Abstract

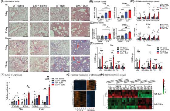
Treatments for pulmonary fibrosis (PF) are ineffective because its molecular pathogenesis and therapeutic targets are unclear. Here, we show that the expression of low-density lipoprotein receptor (LDLR) was significantly decreased in alveolar type II (ATII) and fibroblast cells, whereas it was increased in endothelial cells from systemic sclerosis-related PF (SSc-PF) patients and idiopathic PF (IPF) patients compared with healthy controls. However, the plasma levels of low-density lipoprotein (LDL) increased in SSc-PF and IPF patients. The disrupted LDL-LDLR metabolism was also observed in four mouse PF models. Upon bleomycin (BLM) treatment, Ldlr-deficient (Ldlr-/-) mice exhibited remarkably higher LDL levels, abundant apoptosis, increased fibroblast-like endothelial and ATII cells and significantly earlier and more severe fibrotic response compared to wild-type mice. In vitro experiments revealed that apoptosis and TGF-β1 production were induced by LDL, while fibroblast-like cell accumulation and ET-1 expression were induced by LDLR knockdown. Treatment of fibroblasts with LDL or culture medium derived from LDL-pretreated endothelial or epithelial cells led to obvious fibrotic responses in vitro. Similar results were observed after LDLR knockdown operation. These results suggest that disturbed LDL-LDLR metabolism contributes in various ways to the malfunction of endothelial and epithelial cells, and fibroblasts during pulmonary fibrogenesis. In addition, pharmacological restoration of LDLR levels by using a combination of atorvastatin and alirocumab inhibited BLM-induced LDL elevation, apoptosis, fibroblast-like cell accumulation and mitigated PF in mice. Therefore, LDL-LDLR may serve as an important mediator in PF, and LDLR enhancing strategies may have beneficial effects on PF.

摘要

肺纤维化 (PF) 的治疗方法无效,因为其分子发病机制和治疗靶点尚不清楚。在这里,我们表明,低密度脂蛋白受体 (LDLR) 的表达在肺泡 II 型 (ATII) 和成纤维细胞中显著降低,而在系统性硬化症相关 PF (SSc-PF) 患者和特发性 PF (IPF) 患者的内皮细胞中则增加与健康对照组相比。然而,SSc-PF 和 IPF 患者的血浆低密度脂蛋白 (LDL) 水平升高。在四种小鼠 PF 模型中也观察到了破坏的 LDL-LDLR 代谢。在用博来霉素 (BLM) 处理后,与野生型小鼠相比,Ldlr 缺陷 (Ldlr-/-) 小鼠表现出明显更高的 LDL 水平、大量凋亡、增加的成纤维细胞样内皮和 ATII 细胞以及更早和更严重的纤维化反应。体外实验表明,LDL 诱导细胞凋亡和 TGF-β1 产生,而 LDLR 敲低诱导成纤维细胞样细胞积聚和 ET-1 表达。用 LDL 或预处理内皮或上皮细胞的培养基处理成纤维细胞可导致体外明显的纤维化反应。LDLR 敲低操作后也观察到了类似的结果。这些结果表明,紊乱的 LDL-LDLR 代谢以各种方式导致内皮和上皮细胞以及成纤维细胞在肺纤维化过程中功能障碍。此外,使用阿托伐他汀和阿利西尤单抗联合的药物恢复 LDLR 水平抑制了 BLM 诱导的 LDL 升高、凋亡、成纤维细胞样细胞积聚并减轻了小鼠的 PF。因此,LDL-LDLR 可能是 PF 的重要介质,LDLR 增强策略可能对 PF 有益。

https://cdn.ncbi.nlm.nih.gov/pmc/blobs/4a3f/8792399/49dd5307230f/CTM2-12-e711-g005.jpg

文献AI研究员

20分钟写一篇综述,助力文献阅读效率提升50倍。

立即体验

用中文搜PubMed

大模型驱动的PubMed中文搜索引擎

马上搜索

文档翻译

学术文献翻译模型,支持多种主流文档格式。

立即体验