Suppr超能文献

ATM 调控肌成纤维细胞样癌细胞相关成纤维细胞的分化,可作为克服免疫治疗耐药性的靶点。

ATM Regulates Differentiation of Myofibroblastic Cancer-Associated Fibroblasts and Can Be Targeted to Overcome Immunotherapy Resistance.

机构信息

School of Cancer Sciences, Faculty of Medicine, University of Southampton, Southampton, United Kingdom.

Department of Genetics and Genome Biology, Cancer Research Centre, University of Leicester, Leicester, United Kingdom.

出版信息

Cancer Res. 2022 Dec 16;82(24):4571-4585. doi: 10.1158/0008-5472.CAN-22-0435.

Abstract

UNLABELLED

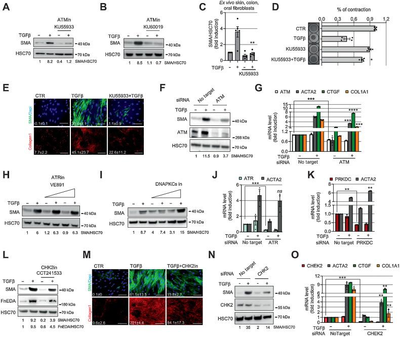
Myofibroblastic cancer-associated fibroblast (myoCAF)-rich tumors generally contain few T cells and respond poorly to immune-checkpoint blockade. Although myoCAFs are associated with poor outcome in most solid tumors, the molecular mechanisms regulating myoCAF accumulation remain unclear, limiting the potential for therapeutic intervention. Here, we identify ataxia-telangiectasia mutated (ATM) as a central regulator of the myoCAF phenotype. Differentiating myofibroblasts in vitro and myoCAFs cultured ex vivo display activated ATM signaling, and targeting ATM genetically or pharmacologically could suppress and reverse differentiation. ATM activation was regulated by the reactive oxygen species-producing enzyme NOX4, both through DNA damage and increased oxidative stress. Targeting fibroblast ATM in vivo suppressed myoCAF-rich tumor growth, promoted intratumoral CD8 T-cell infiltration, and potentiated the response to anti-PD-1 blockade and antitumor vaccination. This work identifies a novel pathway regulating myoCAF differentiation and provides a rationale for using ATM inhibitors to overcome CAF-mediated immunotherapy resistance.

SIGNIFICANCE

ATM signaling supports the differentiation of myoCAFs to suppress T-cell infiltration and antitumor immunity, supporting the potential clinical use of ATM inhibitors in combination with checkpoint inhibition in myoCAF-rich, immune-cold tumors.

摘要

未标记

富含肌纤维母细胞的癌相关成纤维细胞(myoCAF)丰富的肿瘤通常含有较少的 T 细胞,对免疫检查点阻断反应不佳。尽管肌成纤维细胞与大多数实体瘤的不良预后相关,但调节肌成纤维细胞积累的分子机制仍不清楚,限制了治疗干预的潜力。在这里,我们确定共济失调毛细血管扩张突变(ATM)是肌成纤维细胞表型的中央调节因子。体外分化的肌成纤维细胞和体外培养的 myoCAFs 显示激活的 ATM 信号,通过遗传或药理学靶向 ATM 可以抑制和逆转分化。ATM 激活受到活性氧产生酶 NOX4 的调节,通过 DNA 损伤和增加氧化应激。体内靶向成纤维细胞 ATM 可抑制富含肌成纤维细胞的肿瘤生长,促进肿瘤内 CD8 T 细胞浸润,并增强对抗 PD-1 阻断和抗肿瘤疫苗的反应。这项工作确定了调节肌成纤维细胞分化的新途径,并为使用 ATM 抑制剂克服 CAF 介导的免疫治疗耐药性提供了依据。

意义

ATM 信号支持 myoCAF 的分化,以抑制 T 细胞浸润和抗肿瘤免疫,支持在富含肌成纤维细胞、免疫冷肿瘤中联合使用 ATM 抑制剂与检查点抑制的潜在临床应用。

https://cdn.ncbi.nlm.nih.gov/pmc/blobs/fdd4/9755965/cc790e73faaa/overview_graphic_can-22-0435.jpg

文献AI研究员

20分钟写一篇综述,助力文献阅读效率提升50倍。

立即体验

用中文搜PubMed

大模型驱动的PubMed中文搜索引擎

马上搜索

文档翻译

学术文献翻译模型,支持多种主流文档格式。

立即体验