Suppr超能文献

癌症免疫排斥的共识定义。

Towards a consensus definition of immune exclusion in cancer.

机构信息

Department of Surgery, University of Texas Health Science Center San Antonio, San Antonio, TX, United States.

Parthenon Therapeutics, Boston, MA, United States.

出版信息

Front Immunol. 2023 Mar 22;14:1084887. doi: 10.3389/fimmu.2023.1084887. eCollection 2023.

Abstract

BACKGROUND

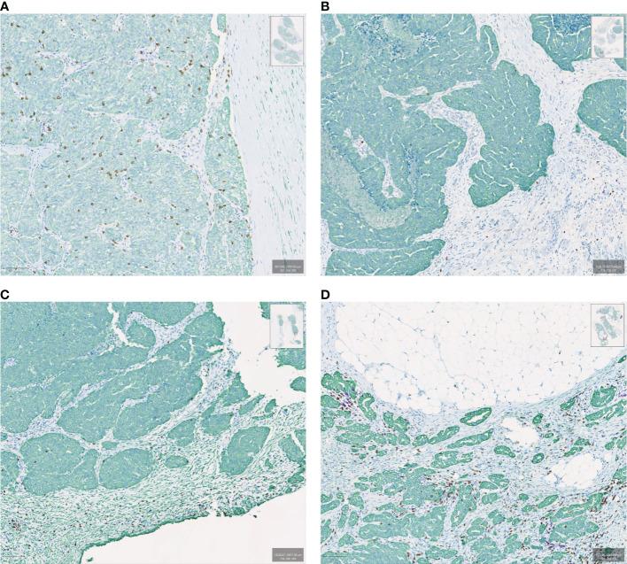
The immune cell topography of solid tumors has been increasingly recognized as an important predictive factor for progression of disease and response to immunotherapy. The distribution pattern of immune cells in solid tumors is commonly classified into three categories - namely, "", " and which, to some degree, connect immune cell presence and positioning within the tumor microenvironment to anti-tumor activity.

MATERIALS AND METHODS

In this review, we look at the ways immune exclusion has been defined in published literature and identify opportunities to develop consistent, quantifiable definitions, which in turn, will allow better determination of the underlying mechanisms that span cancer types and, ultimately, aid in the development of treatments to target these mechanisms.

RESULTS

The definitions of tumor immune phenotypes, especially immune exclusion, have largely been conceptual. The existing literature lacks in consistency when it comes to practically defining immune exclusion, and there is no consensus on a definition. Majority of the definitions use somewhat arbitrary cut-offs in an attempt to place each tumor into a distinct phenotypic category. Tumor heterogeneity is often not accounted for, which limits the practical application of a definition.

CONCLUSIONS

We have identified two key issues in existing definitions of immune exclusion, establishing clinically relevant cut-offs within the spectrum of immune cell infiltration as well as tumor heterogeneity. We propose an approach to overcome these limitations, by reporting the degree of immune cell infiltration, tying cut-offs to clinically meaningful outcome measures, maximizing the number of regions of a tumor that are analyzed and reporting the degree of heterogeneity. This will allow for a consensus practical definition for operationalizing this categorization into clinical trial and signal-seeking endpoints.

摘要

背景

实体瘤中的免疫细胞分布图谱越来越被认为是疾病进展和免疫治疗反应的重要预测因素。实体瘤中免疫细胞的分布模式通常分为三类,即“免疫浸润”、“免疫排斥”和“免疫冷区”,这些分类在一定程度上将免疫细胞在肿瘤微环境中的存在和定位与抗肿瘤活性联系起来。

材料与方法

在这篇综述中,我们研究了免疫排斥在已发表文献中的定义方式,并确定了开发一致、可量化定义的机会,这反过来将有助于更好地确定跨越癌症类型的潜在机制,并最终有助于开发针对这些机制的治疗方法。

结果

肿瘤免疫表型的定义,特别是免疫排斥,在很大程度上是概念性的。现有的文献在实际定义免疫排斥时缺乏一致性,也没有共识的定义。大多数定义都使用了一些任意的截止值,试图将每个肿瘤归入一个独特的表型类别。肿瘤异质性通常没有被考虑在内,这限制了定义的实际应用。

结论

我们在免疫排斥的现有定义中确定了两个关键问题,即在免疫细胞浸润的范围内建立临床相关的截止值以及肿瘤异质性。我们提出了一种方法来克服这些限制,通过报告免疫细胞浸润的程度,将截止值与有临床意义的结果测量联系起来,最大限度地分析肿瘤的多个区域,并报告异质性的程度。这将允许为将这种分类转化为临床试验和信号寻求终点制定一个共识的实用定义。

https://cdn.ncbi.nlm.nih.gov/pmc/blobs/38c3/10073666/46aa3316b5dc/fimmu-14-1084887-g001.jpg

文献AI研究员

20分钟写一篇综述,助力文献阅读效率提升50倍。

立即体验

用中文搜PubMed

大模型驱动的PubMed中文搜索引擎

马上搜索

文档翻译

学术文献翻译模型,支持多种主流文档格式。

立即体验