Suppr超能文献

ACE2-EGFR-MAPK 信号通路参与 SARS-CoV-2 感染。

ACE2-EGFR-MAPK signaling contributes to SARS-CoV-2 infection.

机构信息

Institute of Comparative Molecular Endocrinology, Ulm University, Ulm, Germany.

Institute of Molecular Virology, Ulm University Medical Center, Ulm, Germany.

出版信息

Life Sci Alliance. 2023 Jul 4;6(9). doi: 10.26508/lsa.202201880. Print 2023 Sep.

Abstract

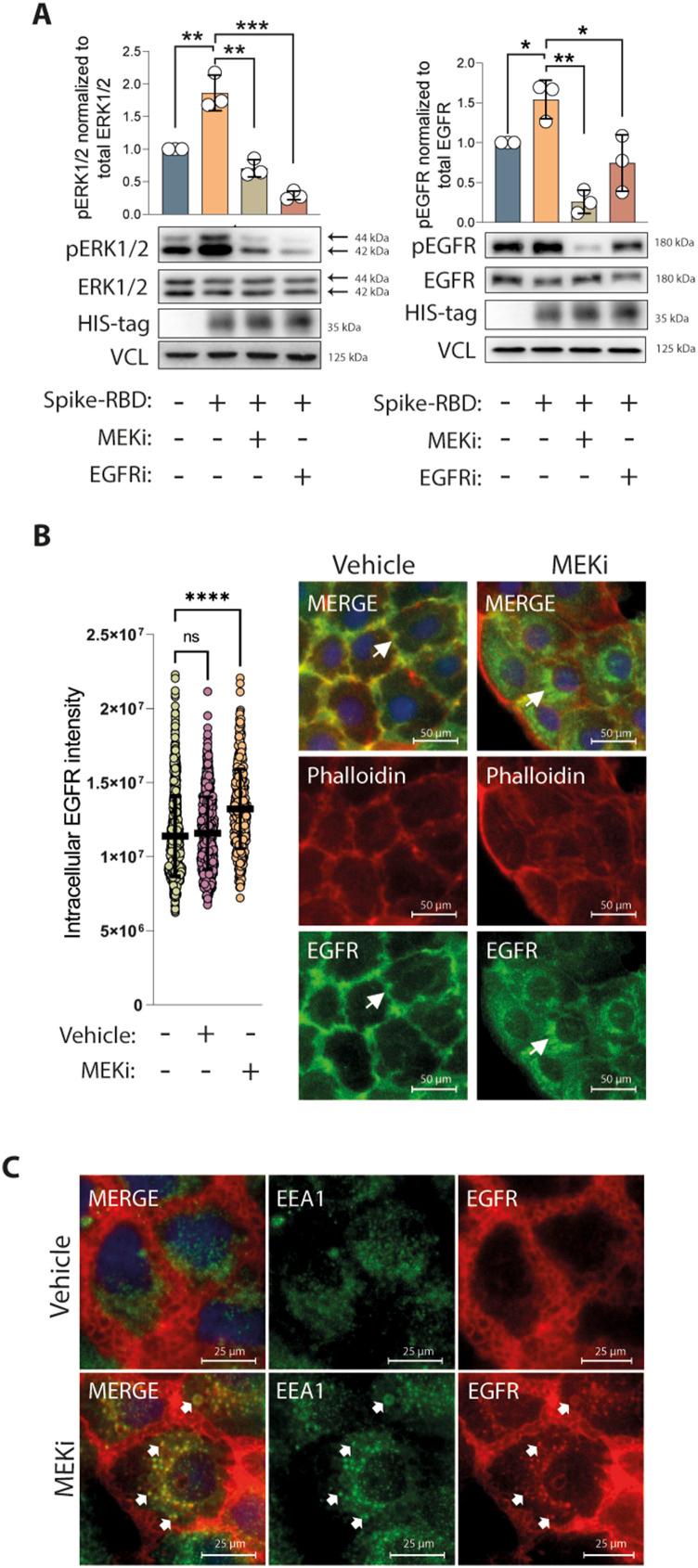
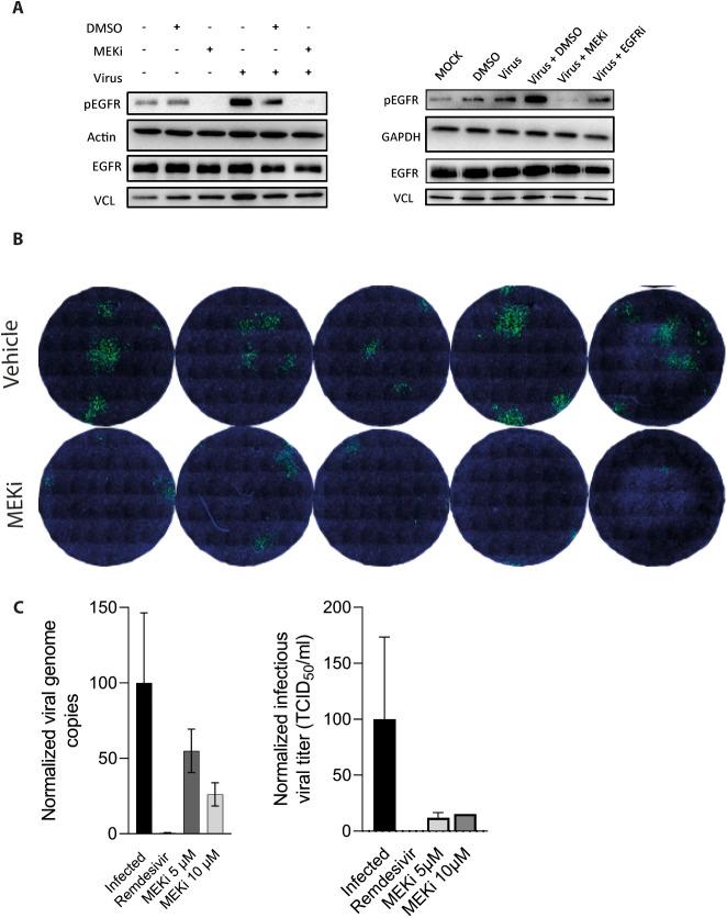
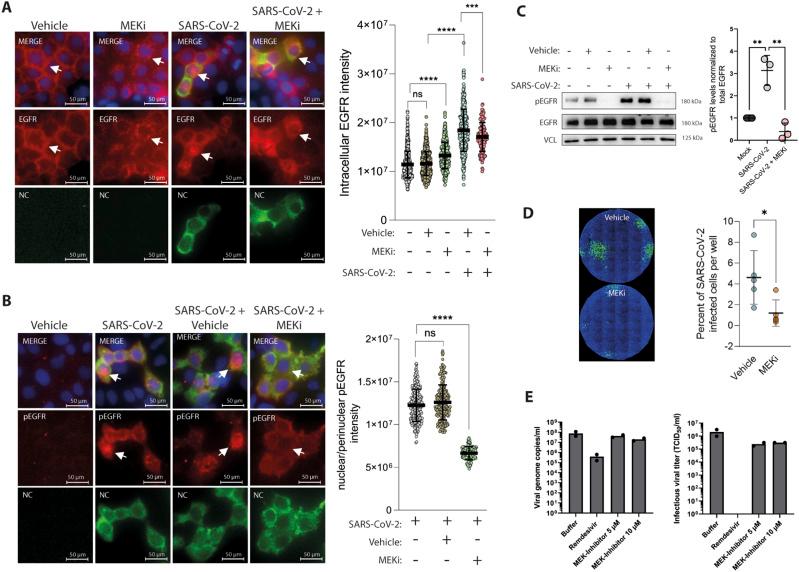
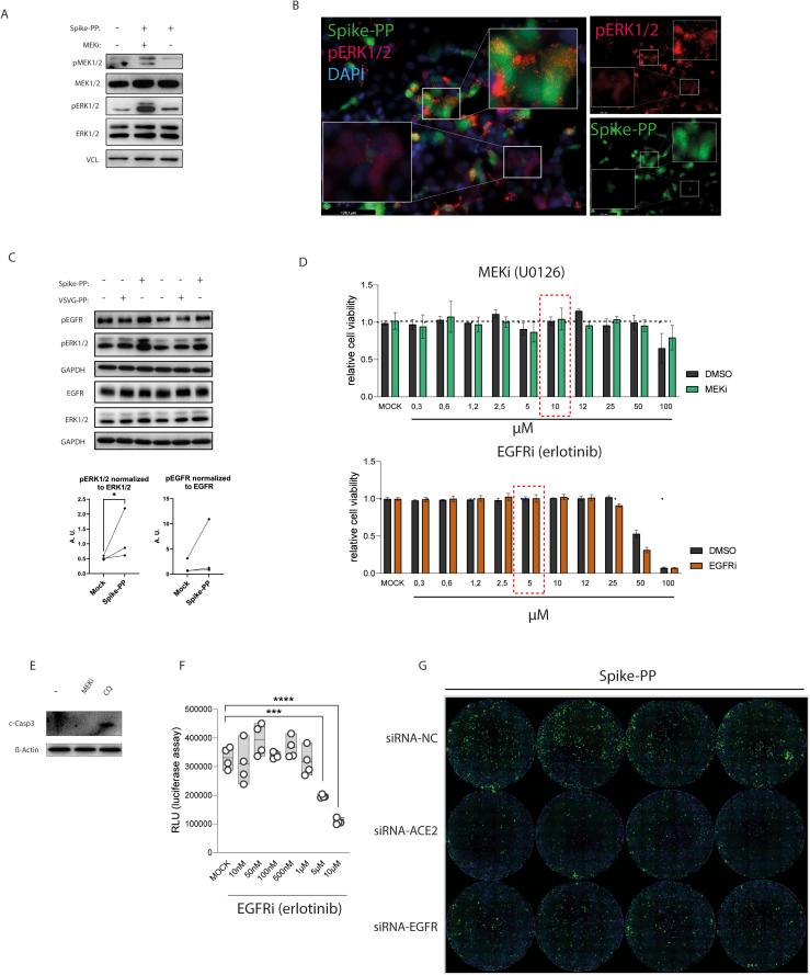
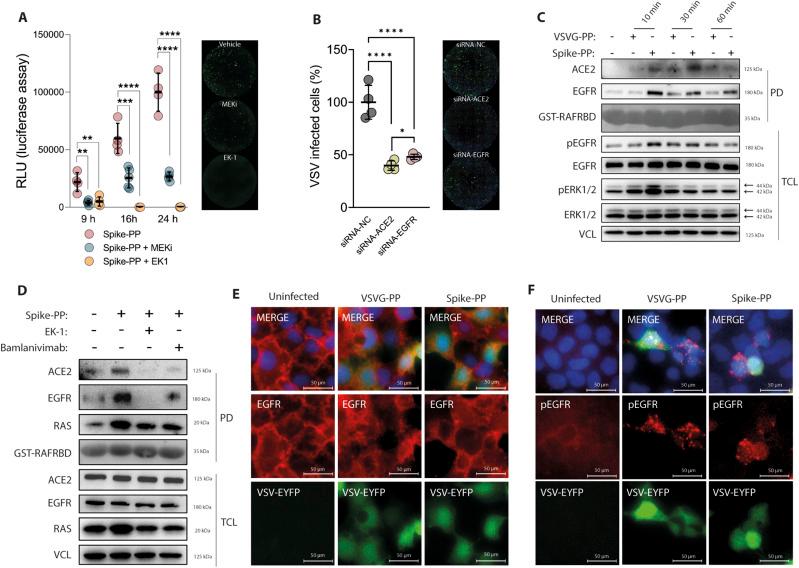
SARS-CoV-2 triggered the most severe pandemic of recent times. To enter into a host cell, SARS-CoV-2 binds to the angiotensin-converting enzyme 2 (ACE2). However, subsequent studies indicated that other cell membrane receptors may act as virus-binding partners. Among these receptors, the epidermal growth factor receptor (EGFR) was hypothesized not only as a spike protein binder, but also to be activated in response to SARS-CoV-2. In our study, we aim at dissecting EGFR activation and its major downstream signaling pathway, the mitogen-activated signaling pathway (MAPK), in SARS-CoV-2 infection. Here, we demonstrate the activation of EGFR-MAPK signaling axis by the SARS-CoV-2 spike protein and we identify a yet unknown cross talk between ACE2 and EGFR that regulated ACE2 abundance and EGFR activation and subcellular localization, respectively. By inhibiting the EGFR-MAPK activation, we observe a reduced infection with either spike-pseudotyped particles or authentic SARS-CoV-2, thus indicating that EGFR serves as a cofactor and the activation of EGFR-MAPK contributes to SARS-CoV-2 infection.

摘要

SARS-CoV-2 引发了最近最严重的大流行。为了进入宿主细胞,SARS-CoV-2 结合血管紧张素转换酶 2(ACE2)。然而,随后的研究表明,其他细胞膜受体可能作为病毒结合伴侣发挥作用。在这些受体中,表皮生长因子受体(EGFR)不仅被假设为刺突蛋白结合物,而且还被认为可以响应 SARS-CoV-2 而被激活。在我们的研究中,我们旨在剖析 SARS-CoV-2 感染中 EGFR 的激活及其主要下游信号通路,即有丝分裂原激活的信号通路(MAPK)。在这里,我们证明了 SARS-CoV-2 刺突蛋白激活 EGFR-MAPK 信号轴,并且我们鉴定了 ACE2 和 EGFR 之间的一种未知的串扰,分别调节 ACE2 丰度和 EGFR 的激活和亚细胞定位。通过抑制 EGFR-MAPK 的激活,我们观察到用刺突假型颗粒或真正的 SARS-CoV-2 进行的感染减少,因此表明 EGFR 作为辅助因子,EGFR-MAPK 的激活有助于 SARS-CoV-2 的感染。

https://cdn.ncbi.nlm.nih.gov/pmc/blobs/8fc7/10320016/de13a754222d/LSA-2022-01880_GA.jpg

文献AI研究员

20分钟写一篇综述,助力文献阅读效率提升50倍。

立即体验

用中文搜PubMed

大模型驱动的PubMed中文搜索引擎

马上搜索

文档翻译

学术文献翻译模型,支持多种主流文档格式。

立即体验