Suppr超能文献

晚期骨髓增生异常综合征中结核诱导的再生障碍危象和非典型淋巴细胞扩增:一例报告并文献复习

Tuberculosis-induced aplastic crisis and atypical lymphocyte expansion in advanced myelodysplastic syndrome: A case report and review of literature.

作者信息

Sun Xiao-Yun, Yang Xiao-Dong, Xu Jia, Xiu Nuan-Nuan, Ju Bo, Zhao Xi-Chen

机构信息

Department of Hematology, The Central Hospital of Qingdao West Coast New Area, Qingdao 266555, Shandong Province, China.

出版信息

World J Clin Cases. 2023 Jul 6;11(19):4713-4722. doi: 10.12998/wjcc.v11.i19.4713.

Abstract

BACKGROUND

Myelodysplastic syndrome (MDS) is caused by malignant proliferation and ineffective hematopoiesis. Oncogenic somatic mutations and increased apoptosis, necroptosis and pyroptosis lead to the accumulation of earlier hematopoietic progenitors and impaired productivity of mature blood cells. An increased percentage of myeloblasts and the presence of unfavorable somatic mutations are signs of leukemic hematopoiesis and indicators of entrance into an advanced stage. Bone marrow cellularity and myeloblasts usually increase with disease progression. However, aplastic crisis occasionally occurs in advanced MDS.

CASE SUMMARY

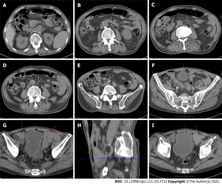
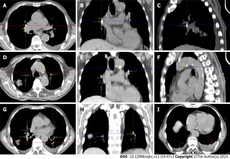
A 72-year-old male patient was definitively diagnosed with MDS with excess blasts-1 (MDS-EB-1) based on an increase in the percentages of myeloblasts and cluster of differentiation (CD)34+ hematopoietic progenitors and the identification of myeloid neoplasm-associated somatic mutations in bone marrow samples. The patient was treated with hypomethylation therapy and was able to maintain a steady disease state for 2 years. In the treatment process, the advanced MDS patient experienced an episode of progressive pancytopenia and bone marrow aplasia. During the aplastic crisis, the bone marrow was infiltrated with sparsely distributed atypical lymphocytes. Surprisingly, the leukemic cells disappeared. Immunological analysis revealed that the atypical lymphocytes expressed a high frequency of CD3, CD5, CD8, CD16, CD56 and CD57, suggesting the activation of autoimmune cytotoxic T-lymphocytes and natural killer (NK)/NKT cells that suppressed both normal and leukemic hematopoiesis. Elevated serum levels of inflammatory cytokines, including interleukin (IL)-6, interferon-gamma (IFN-γ) and tumor necrosis factor-alpha (TNF-α), confirmed the deranged type I immune responses. This morphological and immunological signature led to the diagnosis of severe aplastic anemia secondary to large granule lymphocyte leukemia. Disseminated tuberculosis was suspected upon radiological examinations in the search for an inflammatory niche. Antituberculosis treatment led to reversion of the aplastic crisis, disappearance of the atypical lymphocytes, increased marrow cellularity and 2 mo of hematological remission, providing strong evidence that disseminated tuberculosis was responsible for the development of the aplastic crisis, the regression of leukemic cells and the activation of CD56+ atypical lymphocytes. Reinstitution of hypomethylation therapy in the following 19 mo allowed the patient to maintain a steady disease state. However, the patient transformed the disease phenotype into acute myeloid leukemia and eventually died of disease progression and an overwhelming infectious episode.

CONCLUSION

Disseminated tuberculosis can induce CD56+ lymphocyte infiltration in the bone marrow and in turn suppress both normal and leukemic hematopoiesis, resulting in the development of aplastic crisis and leukemic cell regression.

摘要

背景

骨髓增生异常综合征(MDS)是由恶性增殖和无效造血引起的。致癌体细胞突变以及凋亡、坏死性凋亡和炎性小体介导的细胞死亡增加,导致早期造血祖细胞积累以及成熟血细胞生成受损。原始粒细胞百分比增加和存在不良体细胞突变是白血病造血的迹象以及进入晚期的指标。骨髓细胞数量和原始粒细胞通常随疾病进展而增加。然而,再生障碍危象偶尔会在晚期MDS中发生。

病例摘要

一名72岁男性患者,基于骨髓样本中原始粒细胞和分化簇(CD)34+造血祖细胞百分比增加以及髓系肿瘤相关体细胞突变的鉴定,被明确诊断为伴有过多原始细胞-1的骨髓增生异常综合征(MDS-EB-1)。该患者接受了低甲基化治疗,并能够维持稳定的疾病状态2年。在治疗过程中,这位晚期MDS患者经历了一次进行性全血细胞减少和骨髓再生障碍。在再生障碍危象期间,骨髓中浸润有散在分布的非典型淋巴细胞。令人惊讶的是,白血病细胞消失了。免疫分析显示,这些非典型淋巴细胞高表达CD3、CD5、CD8、CD16、CD56和CD57,提示自身免疫性细胞毒性T淋巴细胞和自然杀伤(NK)/自然杀伤T(NKT)细胞激活,抑制了正常和白血病造血。包括白细胞介素(IL)-6、干扰素-γ(IFN-γ)和肿瘤坏死因子-α(TNF-α)在内的血清炎性细胞因子水平升高,证实了紊乱的I型免疫反应。这种形态学和免疫学特征导致诊断为继发于大颗粒淋巴细胞白血病的严重再生障碍性贫血。在寻找炎症病灶的放射学检查中怀疑有播散性结核病。抗结核治疗导致再生障碍危象逆转、非典型淋巴细胞消失、骨髓细胞数量增加以及2个月的血液学缓解,有力地证明了播散性结核病是再生障碍危象发生、白血病细胞消退和CD56+非典型淋巴细胞激活的原因。在接下来的19个月中重新进行低甲基化治疗使患者能够维持稳定的疾病状态。然而,患者疾病表型转变为急性髓系白血病,最终死于疾病进展和严重感染发作。

结论

播散性结核病可诱导骨髓中CD56+淋巴细胞浸润,进而抑制正常和白血病造血,导致再生障碍危象的发生和白血病细胞消退。

https://cdn.ncbi.nlm.nih.gov/pmc/blobs/ee70/10353497/fa241c2a5c2f/WJCC-11-4713-g001.jpg

文献AI研究员

20分钟写一篇综述,助力文献阅读效率提升50倍。

立即体验

用中文搜PubMed

大模型驱动的PubMed中文搜索引擎

马上搜索

文档翻译

学术文献翻译模型,支持多种主流文档格式。

立即体验