Suppr超能文献

二甲双胍通过激活新型超级增强子的 PTGR1 转录程序逃避前列腺癌。

Metformin escape in prostate cancer by activating the PTGR1 transcriptional program through a novel super-enhancer.

机构信息

Department of Urology, Guangzhou First People's Hospital, South China University of Technology, 510180, Guangzhou, Guangdong, China.

Urology Key Laboratory of Guangdong Province, The First Affiliated Hospital of Guangzhou Medical University, Guangzhou Medical University, 510230, Guangzhou, Guangdong, China.

出版信息

Signal Transduct Target Ther. 2023 Aug 16;8(1):303. doi: 10.1038/s41392-023-01516-2.

Abstract

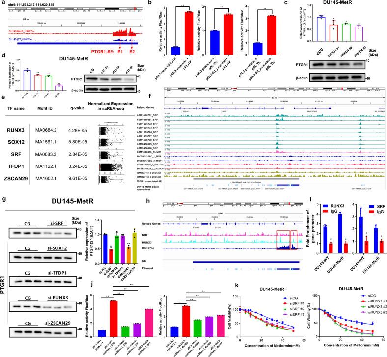
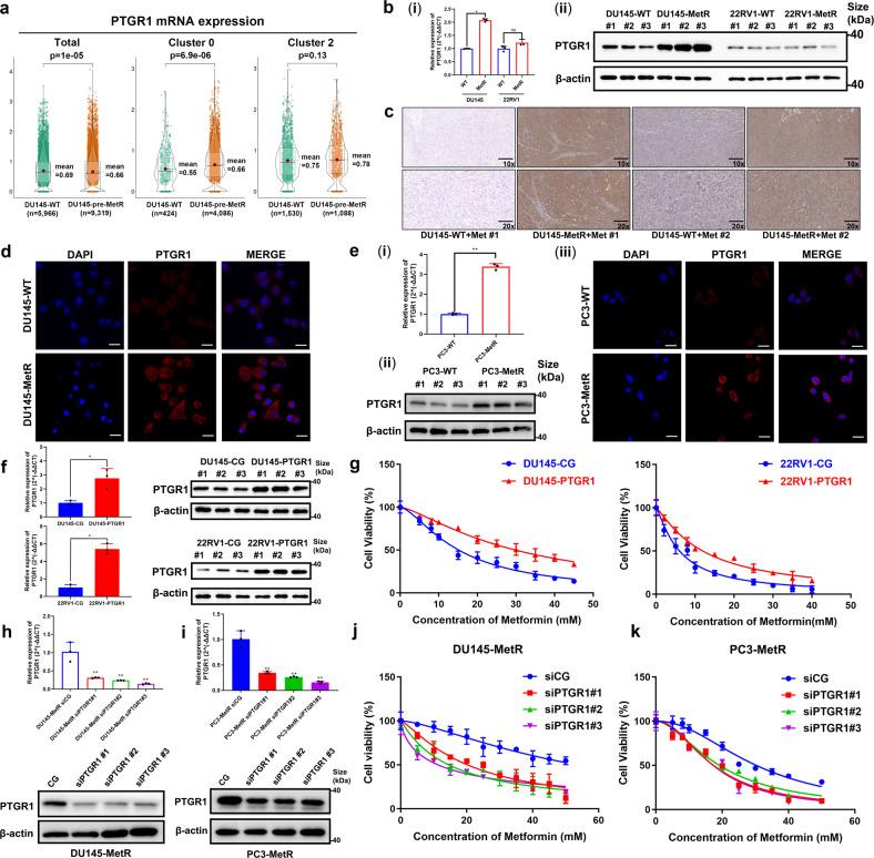
The therapeutic efficacy of metformin in prostate cancer (PCa) appears uncertain based on various clinical trials. Metformin treatment failure may be attributed to the high frequency of transcriptional dysregulation, which leads to drug resistance. However, the underlying mechanism is still unclear. In this study, we found evidences that metformin resistance in PCa cells may be linked to cell cycle reactivation. Super-enhancers (SEs), crucial regulatory elements, have been shown to be associated with drug resistance in various cancers. Our analysis of SEs in metformin-resistant (MetR) PCa cells revealed a correlation with Prostaglandin Reductase 1 (PTGR1) expression, which was identified as significantly increased in a cluster of cells with metformin resistance through single-cell transcriptome sequencing. Our functional experiments showed that PTGR1 overexpression accelerated cell cycle progression by promoting progression from the G0/G1 to the S and G2/M phases, resulting in reduced sensitivity to metformin. Additionally, we identified key transcription factors that significantly increase PTGR1 expression, such as SRF and RUNX3, providing potential new targets to address metformin resistance in PCa. In conclusion, our study sheds new light on the cellular mechanism underlying metformin resistance and the regulation of the SE-TFs-PTGR1 axis, offering potential avenues to enhance metformin's therapeutic efficacy in PCa.

摘要

基于各种临床试验,二甲双胍在前列腺癌(PCa)中的治疗效果似乎并不确定。二甲双胍治疗失败可能归因于转录失调频率高,导致耐药性。然而,其潜在机制仍不清楚。在这项研究中,我们发现证据表明,PCa 细胞中的二甲双胍耐药可能与细胞周期重新激活有关。超级增强子(SEs)是关键的调控元件,已被证明与各种癌症的耐药性有关。我们对二甲双胍耐药(MetR)PCa 细胞中的 SEs 进行分析,发现与前列腺素还原酶 1(PTGR1)的表达相关,通过单细胞转录组测序鉴定出在具有二甲双胍耐药性的细胞簇中,PTGR1 的表达显著增加。我们的功能实验表明,PTGR1 的过表达通过促进从 G0/G1 期到 S 和 G2/M 期的进展来加速细胞周期进程,导致对二甲双胍的敏感性降低。此外,我们鉴定出了显著增加 PTGR1 表达的关键转录因子,如 SRF 和 RUNX3,为解决 PCa 中的二甲双胍耐药性提供了潜在的新靶点。总之,我们的研究揭示了二甲双胍耐药的细胞机制以及 SE-TFs-PTGR1 轴的调控,为提高二甲双胍在 PCa 中的治疗效果提供了潜在途径。

https://cdn.ncbi.nlm.nih.gov/pmc/blobs/6f86/10427640/98440e5beb1b/41392_2023_1516_Fig1_HTML.jpg

文献AI研究员

20分钟写一篇综述,助力文献阅读效率提升50倍。

立即体验

用中文搜PubMed

大模型驱动的PubMed中文搜索引擎

马上搜索

文档翻译

学术文献翻译模型,支持多种主流文档格式。

立即体验