Suppr超能文献

RNF4 和 USP7 在泛素调控的 DNA 复制步骤中相互协作。

RNF4 and USP7 cooperate in ubiquitin-regulated steps of DNA replication.

机构信息

Department of Biochemistry, Molecular Biology and Biophysics, University of Minnesota, Minneapolis, MN 55455, USA.

Department of Computer Science and Engineering, University of Minnesota, Minneapolis, MN 55455, USA.

出版信息

Open Biol. 2023 Aug;13(8):230068. doi: 10.1098/rsob.230068. Epub 2023 Aug 23.

Abstract

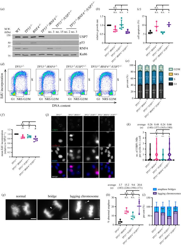
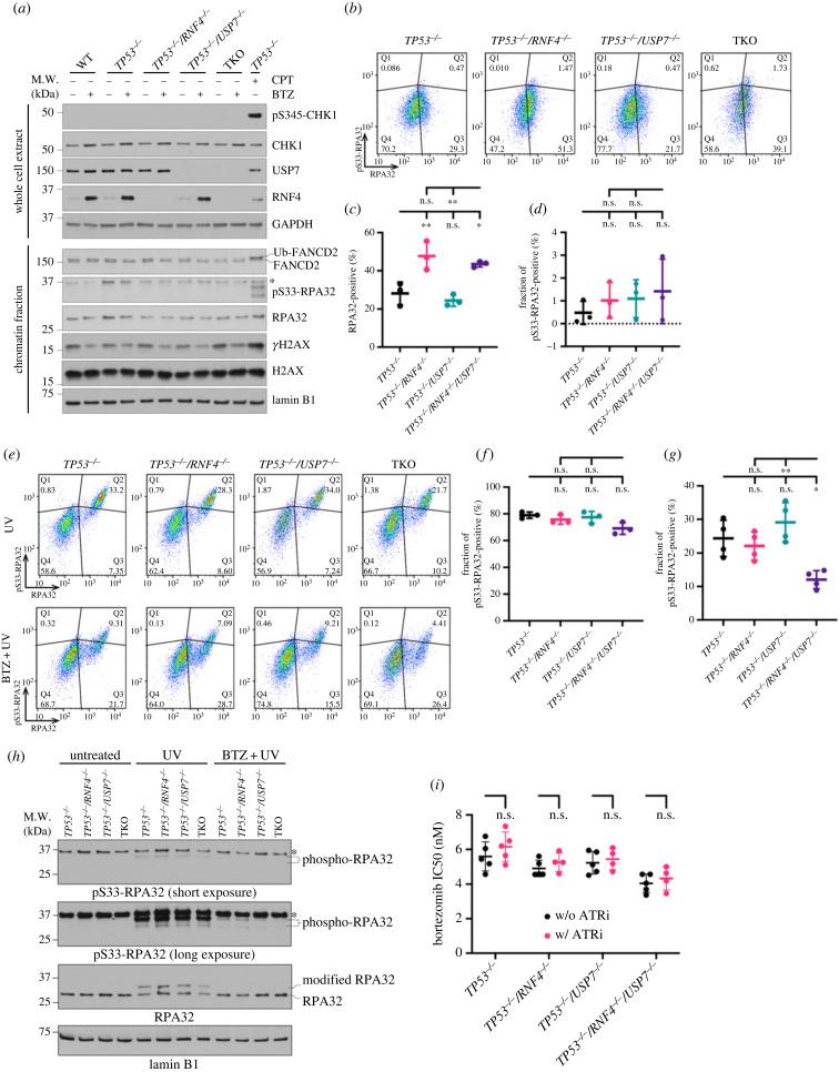
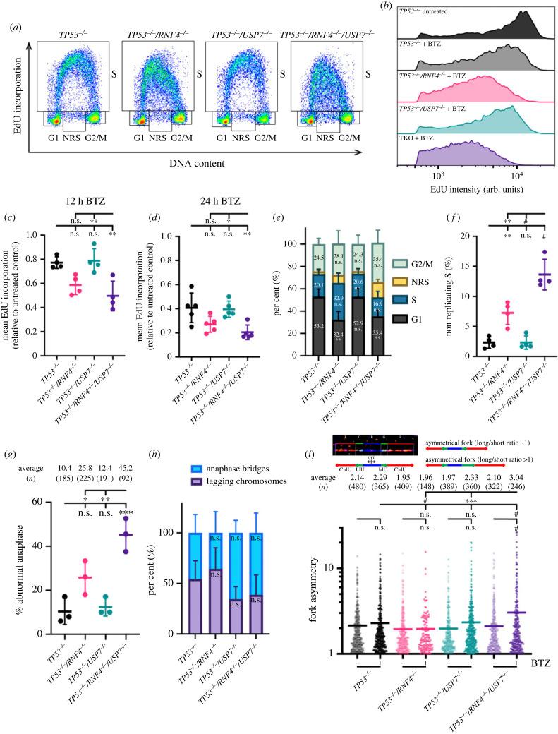
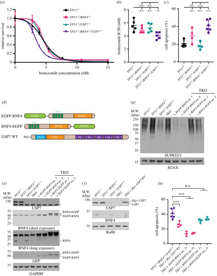
DNA replication requires precise regulation achieved through post-translational modifications, including ubiquitination and SUMOylation. These modifications are linked by the SUMO-targeted E3 ubiquitin ligases (STUbLs). Ring finger protein 4 (RNF4), one of only two mammalian STUbLs, participates in double-strand break repair and resolving DNA-protein cross-links. However, its role in DNA replication has been poorly understood. Using CRISPR/Cas9 genetic screens, we discovered an unexpected dependency of mutants on ( for survival in -null retinal pigment epithelial cells. triple knockout (TKO) cells displayed defects in DNA replication that cause genomic instability. These defects were exacerbated by the proteasome inhibitor bortezomib, which limited the nuclear ubiquitin pool. A shortage of free ubiquitin suppressed the ataxia telangiectasia and Rad3-related (ATR)-mediated checkpoint response, leading to increased cell death. In conclusion, RNF4 and USP7 work cooperatively to sustain a functional level of nuclear ubiquitin to maintain the integrity of the genome.

摘要

DNA 复制需要通过翻译后修饰(包括泛素化和 SUMO 化)来实现精确调控。这些修饰通过 SUMO 靶向 E3 泛素连接酶(STUbLs)联系在一起。作为仅有的两种哺乳动物 STUbLs 之一,环指蛋白 4(RNF4)参与双链断裂修复和解决 DNA-蛋白质交联。然而,其在 DNA 复制中的作用尚未得到充分理解。通过 CRISPR/Cas9 基因筛选,我们发现突变体对 USP7 的依赖性出乎意料(在 -null 视网膜色素上皮细胞中存活需要)。三重敲除(TKO)细胞在 DNA 复制中表现出缺陷,导致基因组不稳定。蛋白酶体抑制剂硼替佐米加剧了这些缺陷,限制了核泛素池。游离泛素的短缺抑制了共济失调毛细血管扩张症和 Rad3 相关(ATR)介导的检查点反应,导致细胞死亡增加。总之,RNF4 和 USP7 协同工作,维持核泛素的功能水平,以维持基因组的完整性。

https://cdn.ncbi.nlm.nih.gov/pmc/blobs/8c9d/10444366/480391b37c16/rsob230068f01.jpg

文献AI研究员

20分钟写一篇综述,助力文献阅读效率提升50倍。

立即体验

用中文搜PubMed

大模型驱动的PubMed中文搜索引擎

马上搜索

文档翻译

学术文献翻译模型,支持多种主流文档格式。

立即体验